Untreated pulmonary sequestration with recurrent superinfection -supporting COPD development in a 42 year old male patient.

IF 1.6 Q3 RESPIRATORY SYSTEM
Maximilian Leitner, Jeannine L Kühnle, Petra Ecker, Tetiana Khrystenko, Wolfgang Tränkenschuh, Robert Bals, Philipp M Lepper, Frank Langer
{"title":"Untreated pulmonary sequestration with recurrent superinfection -supporting COPD development in a 42 year old male patient.","authors":"Maximilian Leitner, Jeannine L Kühnle, Petra Ecker, Tetiana Khrystenko, Wolfgang Tränkenschuh, Robert Bals, Philipp M Lepper, Frank Langer","doi":"10.5826/mrm.2024.953","DOIUrl":null,"url":null,"abstract":"<p><strong>Background: </strong>Pulmonary sequestration is a congenital malformation in which nonfunctional lung tissue develops without connection to the bronchial system. The main complication is the occurrence of recurrent pneumonia.</p><p><strong>Case presentation: </strong>We describe the case of a patient who was incidentally diagnosed with PS as part of the diagnostic algorithm for community-acquired pneumonia. Due to the relatively late diagnosis, the recurrent bronchopulmonary was conducive to the development of COPD and pulmonary emphysema. For prognostic reasons, surgical resection was performed by posterolateral thoracotomy.</p><p><strong>Conclusions: </strong>Although cigarette smoking is the main risk factor for developing COPD, recurring lung infections may have a synergistic effect. Sometimes recurrent infections are caused by a congenital malformation. Especially in adults who have had recurrent pneumonia since childhood.</p>","PeriodicalId":51135,"journal":{"name":"Multidisciplinary Respiratory Medicine","volume":"19 ","pages":""},"PeriodicalIF":1.6000,"publicationDate":"2024-08-09","publicationTypes":"Journal Article","fieldsOfStudy":null,"isOpenAccess":false,"openAccessPdf":"https://www.ncbi.nlm.nih.gov/pmc/articles/PMC11318794/pdf/","citationCount":"0","resultStr":null,"platform":"Semanticscholar","paperid":null,"PeriodicalName":"Multidisciplinary Respiratory Medicine","FirstCategoryId":"1085","ListUrlMain":"https://doi.org/10.5826/mrm.2024.953","RegionNum":0,"RegionCategory":null,"ArticlePicture":[],"TitleCN":null,"AbstractTextCN":null,"PMCID":null,"EPubDate":"","PubModel":"","JCR":"Q3","JCRName":"RESPIRATORY SYSTEM","Score":null,"Total":0}
引用次数: 0

Abstract

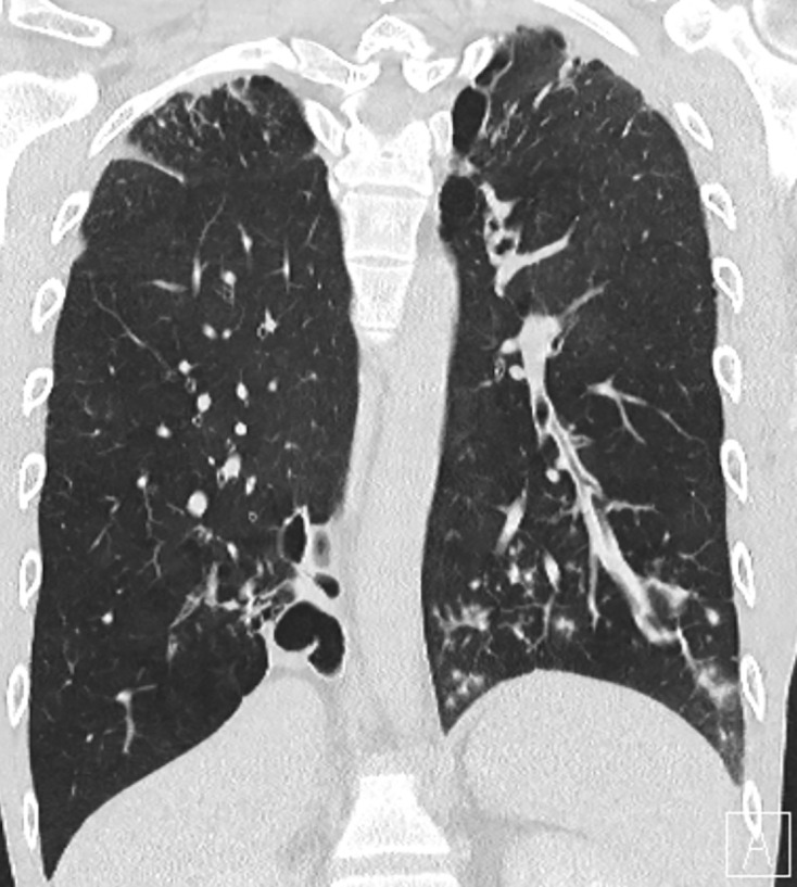
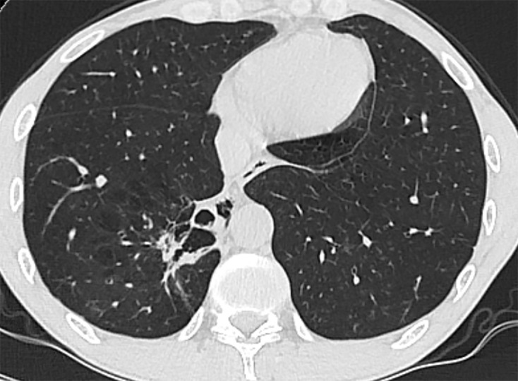
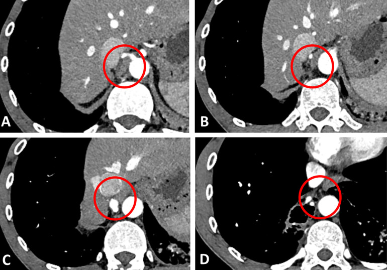
Background: Pulmonary sequestration is a congenital malformation in which nonfunctional lung tissue develops without connection to the bronchial system. The main complication is the occurrence of recurrent pneumonia.

Case presentation: We describe the case of a patient who was incidentally diagnosed with PS as part of the diagnostic algorithm for community-acquired pneumonia. Due to the relatively late diagnosis, the recurrent bronchopulmonary was conducive to the development of COPD and pulmonary emphysema. For prognostic reasons, surgical resection was performed by posterolateral thoracotomy.

Conclusions: Although cigarette smoking is the main risk factor for developing COPD, recurring lung infections may have a synergistic effect. Sometimes recurrent infections are caused by a congenital malformation. Especially in adults who have had recurrent pneumonia since childhood.

Abstract Image

Abstract Image

Abstract Image

一名 42 岁男性患者未经治疗的肺部栓塞和反复超级感染--支持慢性阻塞性肺病的发展。
背景:肺动脉栓塞是一种先天性畸形,在这种畸形中,无功能的肺组织在没有与支气管系统连接的情况下发育。主要并发症是反复肺炎:我们描述了一名在社区获得性肺炎诊断算法中偶然被诊断出患有 PS 的患者的病例。由于诊断相对较晚,复发性支气管肺炎有利于慢性阻塞性肺疾病和肺气肿的发展。出于预后考虑,手术切除是通过后外侧胸廓切开术进行的:结论:虽然吸烟是慢性阻塞性肺病的主要危险因素,但反复肺部感染可能会产生协同效应。有时,反复感染是由先天性畸形引起的。尤其是自孩提时代起就反复感染肺炎的成年人。
本文章由计算机程序翻译,如有差异,请以英文原文为准。
求助全文
约1分钟内获得全文 求助全文
来源期刊
CiteScore
4.40
自引率
0.00%
发文量
23
审稿时长
>12 weeks
期刊介绍: Multidisciplinary Respiratory Medicine is the official journal of the Italian Respiratory Society - Società Italiana di Pneumologia (IRS/SIP). The journal publishes on all aspects of respiratory medicine and related fields, with a particular focus on interdisciplinary and translational research. The interdisciplinary nature of the journal provides a unique opportunity for researchers, clinicians and healthcare professionals across specialties to collaborate and exchange information. The journal provides a high visibility platform for the publication and dissemination of top quality original scientific articles, reviews and important position papers documenting clinical and experimental advances.
×
引用
GB/T 7714-2015
复制
MLA
复制
APA
复制
导出至
BibTeX EndNote RefMan NoteFirst NoteExpress
×
提示
您的信息不完整,为了账户安全,请先补充。
现在去补充
×
提示
您因"违规操作"
具体请查看互助需知
我知道了
×
提示
确定
请完成安全验证×
copy
已复制链接
快去分享给好友吧!
我知道了
右上角分享
点击右上角分享
0
联系我们:info@booksci.cn Book学术提供免费学术资源搜索服务,方便国内外学者检索中英文文献。致力于提供最便捷和优质的服务体验。 Copyright © 2023 布克学术 All rights reserved.
京ICP备2023020795号-1
ghs 京公网安备 11010802042870号
Book学术文献互助
Book学术文献互助群
群 号:604180095
Book学术官方微信