Potentiality of Beneficial Microbe Bacillus siamensis GP-P8 for the Suppression of Anthracnose Pathogens and Pepper Plant Growth Promotion.

IF 2.5 3区 农林科学 Q2 PLANT SCIENCES
Ji Min Woo, Hyun Seung Kim, In Kyu Lee, Eun Jeong Byeon, Won Jun Chang, Youn Su Lee
{"title":"Potentiality of Beneficial Microbe Bacillus siamensis GP-P8 for the Suppression of Anthracnose Pathogens and Pepper Plant Growth Promotion.","authors":"Ji Min Woo, Hyun Seung Kim, In Kyu Lee, Eun Jeong Byeon, Won Jun Chang, Youn Su Lee","doi":"10.5423/PPJ.OA.01.2024.0022","DOIUrl":null,"url":null,"abstract":"<p><p>This study was carried out to screen the antifungal activity against Colletotrichum acutatum, Colletotrichum dematium, and Colletotrichum coccodes. Bacterial isolate GP-P8 from pepper soil was found to be effective against the tested pathogens with an average inhibition rate of 70.7% in in vitro dual culture assays. 16S rRNA gene sequencing analysis result showed that the effective bacterial isolate as Bacillus siamensis. Biochemical characterization of GP-P8 was also performed. According to the results, protease and cellulose, siderophore production, phosphate solubilization, starch hydrolysis, and indole-3-acetic acid production were shown by the GP-P8. Using specific primers, genes involved in the production of antibiotics, such as iturin, fengycin, difficidin, bacilysin, bacillibactin, surfactin, macrolactin, and bacillaene were also detected in B. siamensis GP-P8. Identification and analysis of volatile organic compounds through solid phase microextraction/gas chromatography-mass spectrometry (SPME/GC-MS) revealed that acetoin and 2,3-butanediol were produced by isolate GP-P8. In vivo tests showed that GP-P8 significantly reduced the anthracnose disease caused by C. acutatum, and enhanced the growth of pepper plant. Reverse transcription polymerase chain reaction analysis of pepper fruits revealed that GP-P8 treated pepper plants showed increased expression of immune genes such as CaPR1, CaPR4, CaNPR1, CaMAPK4, CaJA2, and CaERF53. These results strongly suggest that GP-P8 could be a promising biocontrol agent against pepper anthracnose disease and possibly a pepper plant growth-promoting agent.</p>","PeriodicalId":20173,"journal":{"name":"Plant Pathology Journal","volume":"40 4","pages":"346-357"},"PeriodicalIF":2.5000,"publicationDate":"2024-08-01","publicationTypes":"Journal Article","fieldsOfStudy":null,"isOpenAccess":false,"openAccessPdf":"https://www.ncbi.nlm.nih.gov/pmc/articles/PMC11309841/pdf/","citationCount":"0","resultStr":null,"platform":"Semanticscholar","paperid":null,"PeriodicalName":"Plant Pathology Journal","FirstCategoryId":"97","ListUrlMain":"https://doi.org/10.5423/PPJ.OA.01.2024.0022","RegionNum":3,"RegionCategory":"农林科学","ArticlePicture":[],"TitleCN":null,"AbstractTextCN":null,"PMCID":null,"EPubDate":"","PubModel":"","JCR":"Q2","JCRName":"PLANT SCIENCES","Score":null,"Total":0}
引用次数: 0

Abstract

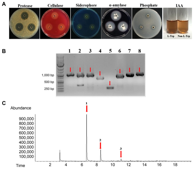
This study was carried out to screen the antifungal activity against Colletotrichum acutatum, Colletotrichum dematium, and Colletotrichum coccodes. Bacterial isolate GP-P8 from pepper soil was found to be effective against the tested pathogens with an average inhibition rate of 70.7% in in vitro dual culture assays. 16S rRNA gene sequencing analysis result showed that the effective bacterial isolate as Bacillus siamensis. Biochemical characterization of GP-P8 was also performed. According to the results, protease and cellulose, siderophore production, phosphate solubilization, starch hydrolysis, and indole-3-acetic acid production were shown by the GP-P8. Using specific primers, genes involved in the production of antibiotics, such as iturin, fengycin, difficidin, bacilysin, bacillibactin, surfactin, macrolactin, and bacillaene were also detected in B. siamensis GP-P8. Identification and analysis of volatile organic compounds through solid phase microextraction/gas chromatography-mass spectrometry (SPME/GC-MS) revealed that acetoin and 2,3-butanediol were produced by isolate GP-P8. In vivo tests showed that GP-P8 significantly reduced the anthracnose disease caused by C. acutatum, and enhanced the growth of pepper plant. Reverse transcription polymerase chain reaction analysis of pepper fruits revealed that GP-P8 treated pepper plants showed increased expression of immune genes such as CaPR1, CaPR4, CaNPR1, CaMAPK4, CaJA2, and CaERF53. These results strongly suggest that GP-P8 could be a promising biocontrol agent against pepper anthracnose disease and possibly a pepper plant growth-promoting agent.

Abstract Image

Abstract Image

Abstract Image

有益微生物暹罗芽孢杆菌 GP-P8 抑制炭疽病病原体和促进辣椒植株生长的潜力。
本研究旨在筛选出对尖孢褐斑病菌(Colletotrichum acutatum)、褐斑病菌(Colletotrichum dematium)和球孢褐斑病菌(Colletotrichum coccodes)的抗真菌活性。在体外双重培养试验中发现,从辣椒土壤中分离出的细菌 GP-P8 对测试病原体有效,平均抑制率为 70.7%。16S rRNA 基因测序分析结果显示,有效的细菌分离物为暹罗芽孢杆菌。此外,还对 GP-P8 进行了生化鉴定。结果显示,GP-P8 能产生蛋白酶和纤维素、嗜苷酸、磷酸盐溶解、淀粉水解和吲哚-3-乙酸。使用特定引物,还在暹罗芽孢杆菌 GP-P8 中检测到了参与生产抗生素的基因,如 iturin、fengycin、difficidin、bacilysin、bacillibactin、surfactin、macrolactin 和 bacillaene。通过固相微萃取/气相色谱-质谱(SPME/GC-MS)对挥发性有机化合物的鉴定和分析表明,GP-P8 分离物产生了乙酰丙酮和 2,3-丁二醇。体内试验表明,GP-P8 能显著减轻由 C. acutatum 引起的炭疽病,并促进辣椒植株的生长。对辣椒果实进行的逆转录聚合酶链反应分析表明,GP-P8 处理过的辣椒植株的免疫基因(如 CaPR1、CaPR4、CaNPR1、CaMAPK4、CaJA2 和 CaERF53)的表达量有所增加。这些结果有力地表明,GP-P8 可能是一种很有前景的防治辣椒炭疽病的生物防治剂,也可能是一种促进辣椒植株生长的药剂。
本文章由计算机程序翻译,如有差异,请以英文原文为准。
求助全文
约1分钟内获得全文 求助全文
来源期刊
Plant Pathology Journal
Plant Pathology Journal 生物-植物科学
CiteScore
4.90
自引率
4.30%
发文量
71
审稿时长
12 months
期刊介绍: Information not localized
×
引用
GB/T 7714-2015
复制
MLA
复制
APA
复制
导出至
BibTeX EndNote RefMan NoteFirst NoteExpress
×
提示
您的信息不完整,为了账户安全,请先补充。
现在去补充
×
提示
您因"违规操作"
具体请查看互助需知
我知道了
×
提示
确定
请完成安全验证×
copy
已复制链接
快去分享给好友吧!
我知道了
右上角分享
点击右上角分享
0
联系我们:info@booksci.cn Book学术提供免费学术资源搜索服务,方便国内外学者检索中英文文献。致力于提供最便捷和优质的服务体验。 Copyright © 2023 布克学术 All rights reserved.
京ICP备2023020795号-1
ghs 京公网安备 11010802042870号
Book学术文献互助
Book学术文献互助群
群 号:604180095
Book学术官方微信