Supraorbital Approaches for Anterior Skull Base and Parasellar Lesions: Insights From a Single-Center Experience.

Han Gyul Lee, Sung Jin Cho, Hye Ran Park, Dongwook Seo
{"title":"Supraorbital Approaches for Anterior Skull Base and Parasellar Lesions: Insights From a Single-Center Experience.","authors":"Han Gyul Lee, Sung Jin Cho, Hye Ran Park, Dongwook Seo","doi":"10.14791/btrt.2024.0026","DOIUrl":null,"url":null,"abstract":"<p><strong>Background: </strong>Modern neurosurgery has undergone significant evolution to include minimally invasive procedures, with the supraorbital approach (SOA) being a prime example. In this study, we aim to explore the surgical techniques and outcomes of this approach in the surgical treatment of frontal lobe, anterior skull base, and parasellar lesions.</p><p><strong>Methods: </strong>This study included 33 patients aged 36-83 years who underwent surgery using the SOA for lesions in the inferior frontal lobe, anterior skull base, and parasellar area between 2015 and 2024. There were 25 cases of meningioma, 2 cases of brain abscess, 2 cases of glioma, and one case each of craniopharyngioma, hemangioma, metastasis, and Rathke's cleft cyst. The medical data and follow-up results were retrospectively analyzed.</p><p><strong>Results: </strong>The mean size of lesion was 3.38±3.05 cm. The mean follow-up period was 48.8 months. Gross total resection was achieved in 25 patients (75.8%). There were no perioperative deaths, cases of cerebrospinal fluid rhinorrhea, or infections. Two cases of morbidity were reported as complications: one case of delayed intracerebral hemorrhage and one case of infarction due to vascular injury. All patients exhibited satisfactory cosmetic results.</p><p><strong>Conclusion: </strong>In comparison to the conventional pterional approach, the SOA represents a safe and effective keyhole method for the removal of both extra-axial and intra-axial skull base tumors. This is particularly beneficial for lesions in the orbitofrontal region and parasellar area, as it allows for minimal disruption of normal brain parenchyma. Moreover, the SOA promotes a swift recovery and short hospital stay. Additionally, the SOA yields superior cosmetic results, including the prevention of temporalis muscle atrophy.</p>","PeriodicalId":72453,"journal":{"name":"Brain tumor research and treatment","volume":"12 3","pages":"172-180"},"PeriodicalIF":0.0000,"publicationDate":"2024-07-01","publicationTypes":"Journal Article","fieldsOfStudy":null,"isOpenAccess":false,"openAccessPdf":"https://www.ncbi.nlm.nih.gov/pmc/articles/PMC11306836/pdf/","citationCount":"0","resultStr":null,"platform":"Semanticscholar","paperid":null,"PeriodicalName":"Brain tumor research and treatment","FirstCategoryId":"1085","ListUrlMain":"https://doi.org/10.14791/btrt.2024.0026","RegionNum":0,"RegionCategory":null,"ArticlePicture":[],"TitleCN":null,"AbstractTextCN":null,"PMCID":null,"EPubDate":"","PubModel":"","JCR":"","JCRName":"","Score":null,"Total":0}
引用次数: 0

Abstract

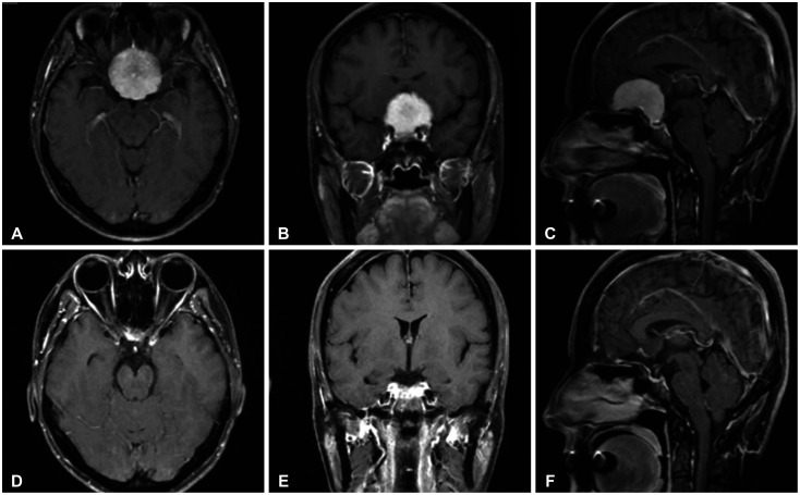
Background: Modern neurosurgery has undergone significant evolution to include minimally invasive procedures, with the supraorbital approach (SOA) being a prime example. In this study, we aim to explore the surgical techniques and outcomes of this approach in the surgical treatment of frontal lobe, anterior skull base, and parasellar lesions.

Methods: This study included 33 patients aged 36-83 years who underwent surgery using the SOA for lesions in the inferior frontal lobe, anterior skull base, and parasellar area between 2015 and 2024. There were 25 cases of meningioma, 2 cases of brain abscess, 2 cases of glioma, and one case each of craniopharyngioma, hemangioma, metastasis, and Rathke's cleft cyst. The medical data and follow-up results were retrospectively analyzed.

Results: The mean size of lesion was 3.38±3.05 cm. The mean follow-up period was 48.8 months. Gross total resection was achieved in 25 patients (75.8%). There were no perioperative deaths, cases of cerebrospinal fluid rhinorrhea, or infections. Two cases of morbidity were reported as complications: one case of delayed intracerebral hemorrhage and one case of infarction due to vascular injury. All patients exhibited satisfactory cosmetic results.

Conclusion: In comparison to the conventional pterional approach, the SOA represents a safe and effective keyhole method for the removal of both extra-axial and intra-axial skull base tumors. This is particularly beneficial for lesions in the orbitofrontal region and parasellar area, as it allows for minimal disruption of normal brain parenchyma. Moreover, the SOA promotes a swift recovery and short hospital stay. Additionally, the SOA yields superior cosmetic results, including the prevention of temporalis muscle atrophy.

Abstract Image

Abstract Image

Abstract Image

眶上入路治疗颅底前部和髌旁病变:单中心经验的启示
背景:现代神经外科在微创手术方面经历了重大发展,眶上入路(SOA)就是一个很好的例子。在本研究中,我们旨在探讨这种方法在额叶、前颅底和髌旁病变手术治疗中的手术技巧和效果:本研究纳入了2015年至2024年期间使用SOA对额叶下部、前颅底和髌旁病变进行手术治疗的33例患者,年龄在36-83岁之间。其中脑膜瘤25例,脑脓肿2例,胶质瘤2例,颅咽管瘤、血管瘤、转移瘤和Rathke裂隙囊肿各1例。对医疗数据和随访结果进行了回顾性分析:病变平均大小为(3.38±3.05)厘米。平均随访时间为 48.8 个月。25例患者(75.8%)实现了全切除。无围手术期死亡、脑脊液鼻出血或感染病例。并发症有两例:一例为延迟性脑内出血,一例为血管损伤导致的脑梗塞。所有患者都取得了令人满意的美容效果:与传统的翼状切口相比,SOA是一种安全有效的颅底肿瘤轴外和轴内切除术。这对于眶额区和髌旁区的病变尤为有利,因为它可以最大限度地减少对正常脑实质的破坏。此外,SOA 还能促进快速康复,缩短住院时间。此外,SOA 还能产生卓越的美容效果,包括防止颞肌萎缩。
本文章由计算机程序翻译,如有差异,请以英文原文为准。
求助全文
约1分钟内获得全文 求助全文
来源期刊
自引率
0.00%
发文量
0
×
引用
GB/T 7714-2015
复制
MLA
复制
APA
复制
导出至
BibTeX EndNote RefMan NoteFirst NoteExpress
×
提示
您的信息不完整,为了账户安全,请先补充。
现在去补充
×
提示
您因"违规操作"
具体请查看互助需知
我知道了
×
提示
确定
请完成安全验证×
copy
已复制链接
快去分享给好友吧!
我知道了
右上角分享
点击右上角分享
0
联系我们:info@booksci.cn Book学术提供免费学术资源搜索服务,方便国内外学者检索中英文文献。致力于提供最便捷和优质的服务体验。 Copyright © 2023 布克学术 All rights reserved.
京ICP备2023020795号-1
ghs 京公网安备 11010802042870号
Book学术文献互助
Book学术文献互助群
群 号:604180095
Book学术官方微信