Early High-Grade Transformation of IDH-Mutant Central Nervous System WHO Grade 2 Astrocytoma: A Case Report.

Byungjun Woo, Nayoung Han, Jeong Hoon Kim, Ho-Shin Gwak
{"title":"Early High-Grade Transformation of IDH-Mutant Central Nervous System WHO Grade 2 Astrocytoma: A Case Report.","authors":"Byungjun Woo, Nayoung Han, Jeong Hoon Kim, Ho-Shin Gwak","doi":"10.14791/btrt.2024.0022","DOIUrl":null,"url":null,"abstract":"<p><p>High-grade transformation of low-grade gliomas has long been a poor prognostic factor during therapy. In 2016, the World Health Organization (WHO) Classification of Tumors of the Central Nervous System (CNS) adopted isocitrate dehydrogenase (IDH) mutation status in the classification of diffuse astrocytomas. The 2021 classification denoted glioblastomas as IDH-wildtype and graded IDH-mutant astrocytomas as 2, 3, or 4. Gemistocytic morphology, a large proportion of residual tumor, the patient's age, and recurrence after radiotherapy were previously mentioned as risk factors for high-grade transformation of low-grade gliomas. We report a 34-year-old male patient initially diagnosed with IDH-mutant grade 2 astrocytoma according to the 2021 WHO classification of CNS tumors. As the first surgical resection achieved gross total resection on postoperative MRI, no adjuvant therapy was given and regular follow-up was planned. On 1-year follow-up MRI, two new enhancing nodular lesions appeared at the ipsilateral brain parenchyma abutting the surgical resection cavity. Salvage craniotomy achieved gross total resection, and the pathologic diagnosis was IDH-mutant WHO grade 4 astrocytoma. We describe this tumor in terms of the previous WHO classification to evaluate the risk of high-grade transformation and discuss possible risk factors leading to high-grade transformation of low-grade astrocytoma.</p>","PeriodicalId":72453,"journal":{"name":"Brain tumor research and treatment","volume":"12 3","pages":"186-191"},"PeriodicalIF":0.0000,"publicationDate":"2024-07-01","publicationTypes":"Journal Article","fieldsOfStudy":null,"isOpenAccess":false,"openAccessPdf":"https://www.ncbi.nlm.nih.gov/pmc/articles/PMC11306837/pdf/","citationCount":"0","resultStr":null,"platform":"Semanticscholar","paperid":null,"PeriodicalName":"Brain tumor research and treatment","FirstCategoryId":"1085","ListUrlMain":"https://doi.org/10.14791/btrt.2024.0022","RegionNum":0,"RegionCategory":null,"ArticlePicture":[],"TitleCN":null,"AbstractTextCN":null,"PMCID":null,"EPubDate":"","PubModel":"","JCR":"","JCRName":"","Score":null,"Total":0}
引用次数: 0

Abstract

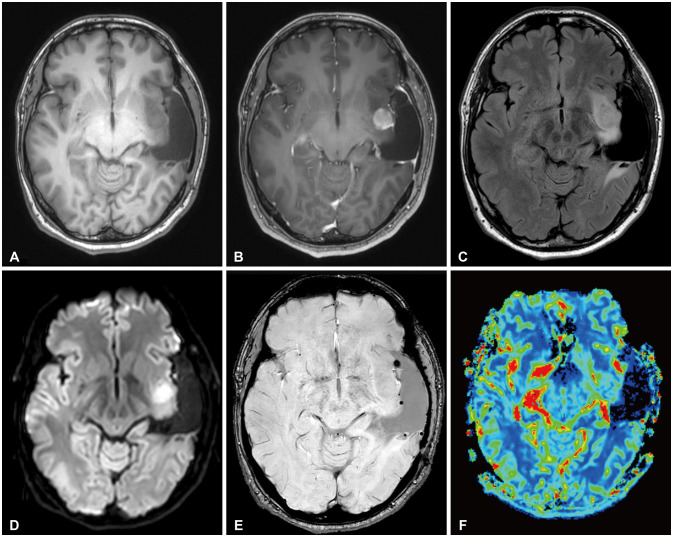
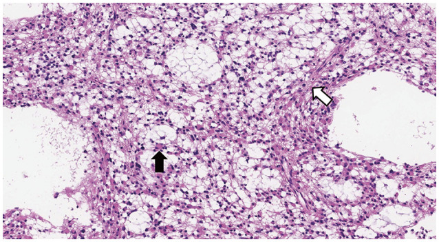
High-grade transformation of low-grade gliomas has long been a poor prognostic factor during therapy. In 2016, the World Health Organization (WHO) Classification of Tumors of the Central Nervous System (CNS) adopted isocitrate dehydrogenase (IDH) mutation status in the classification of diffuse astrocytomas. The 2021 classification denoted glioblastomas as IDH-wildtype and graded IDH-mutant astrocytomas as 2, 3, or 4. Gemistocytic morphology, a large proportion of residual tumor, the patient's age, and recurrence after radiotherapy were previously mentioned as risk factors for high-grade transformation of low-grade gliomas. We report a 34-year-old male patient initially diagnosed with IDH-mutant grade 2 astrocytoma according to the 2021 WHO classification of CNS tumors. As the first surgical resection achieved gross total resection on postoperative MRI, no adjuvant therapy was given and regular follow-up was planned. On 1-year follow-up MRI, two new enhancing nodular lesions appeared at the ipsilateral brain parenchyma abutting the surgical resection cavity. Salvage craniotomy achieved gross total resection, and the pathologic diagnosis was IDH-mutant WHO grade 4 astrocytoma. We describe this tumor in terms of the previous WHO classification to evaluate the risk of high-grade transformation and discuss possible risk factors leading to high-grade transformation of low-grade astrocytoma.

Abstract Image

Abstract Image

Abstract Image

IDH突变型中枢神经系统WHO 2级星形细胞瘤的早期高级别转化:一个病例报告。
长期以来,低级别胶质瘤的高级别转化一直是治疗过程中的不良预后因素。2016 年,世界卫生组织(WHO)中枢神经系统(CNS)肿瘤分类在弥漫性星形细胞瘤的分类中采用了异柠檬酸脱氢酶(IDH)突变状态。2021 年的分类将胶质母细胞瘤称为 IDH 野生型,将 IDH 突变星形细胞瘤分为 2、3 或 4 级。以前曾提到,成胶质细胞形态、残留肿瘤比例大、患者年龄和放疗后复发是低级别胶质瘤高级别转化的风险因素。我们报告了一名 34 岁的男性患者,根据 2021 年世界卫生组织中枢神经系统肿瘤分类,他最初被诊断为 IDH 突变的 2 级星形细胞瘤。由于首次手术切除在术后核磁共振成像中达到了全切,因此没有进行辅助治疗,并计划定期随访。在 1 年的随访磁共振成像中,同侧脑实质与手术切除腔相邻处出现了两个新的强化结节病灶。抢救性开颅手术实现了大体全切除,病理诊断为 IDH 突变型 WHO 4 级星形细胞瘤。我们根据之前的WHO分类对该肿瘤进行了描述,以评估高级别转化的风险,并讨论了导致低级别星形细胞瘤高级别转化的可能风险因素。
本文章由计算机程序翻译,如有差异,请以英文原文为准。
求助全文
约1分钟内获得全文 求助全文
来源期刊
自引率
0.00%
发文量
0
×
引用
GB/T 7714-2015
复制
MLA
复制
APA
复制
导出至
BibTeX EndNote RefMan NoteFirst NoteExpress
×
提示
您的信息不完整,为了账户安全,请先补充。
现在去补充
×
提示
您因"违规操作"
具体请查看互助需知
我知道了
×
提示
确定
请完成安全验证×
copy
已复制链接
快去分享给好友吧!
我知道了
右上角分享
点击右上角分享
0
联系我们:info@booksci.cn Book学术提供免费学术资源搜索服务,方便国内外学者检索中英文文献。致力于提供最便捷和优质的服务体验。 Copyright © 2023 布克学术 All rights reserved.
京ICP备2023020795号-1
ghs 京公网安备 11010802042870号
Book学术文献互助
Book学术文献互助群
群 号:604180095
Book学术官方微信