Cerebrospinal Fluid Seeding Versus Inflammation in Setting of Ventriculoperitoneal Shunt as a Potential Cause for Distant Recurrence of Glioblastoma.

Zachary C Gersey, Tritan Plute, Emade Jaman, Xiaoran Zhang, Rida Mitha, Pascal O Zinn, Thomas M Pearce, Nduka M Amankulor
{"title":"Cerebrospinal Fluid Seeding Versus Inflammation in Setting of Ventriculoperitoneal Shunt as a Potential Cause for Distant Recurrence of Glioblastoma.","authors":"Zachary C Gersey, Tritan Plute, Emade Jaman, Xiaoran Zhang, Rida Mitha, Pascal O Zinn, Thomas M Pearce, Nduka M Amankulor","doi":"10.14791/btrt.2024.0015","DOIUrl":null,"url":null,"abstract":"<p><p>Glioblastoma multiforme (GBM) is the most common primary brain tumor in adults with a median survival of approximately 15 months, despite treatment, with most patients experiencing recurrence within 9 months of resection. The propensity of recurrence in GBM exemplifies the fatal course of the disease and remains an underlying area of study as novel instances of recurrence are encountered. The authors present a unique case of a 31-year-old male patient with a history of cerebellomedullary junction astrocytoma who later developed a supratentorial GBM followed by recurrence centered around a preexisting ventriculoperitoneal catheter and located in the hemisphere contralateral to his first GBM. Each of these lesions was initially thought to represent <i>de novo</i> glial neoplasms because of the absence of intervening T2 fluid-attenuated inversion recovery signal change between each lesion. However, next-generation sequencing using the GlioSeq™ platform revealed similar mutational profiles in both GBMs, suggesting an alternative method of migration of tumor cells to the shunt catheter site, and a local inflammatory environment likely triggering recurrence. This study concludes that in rare instances, in the presence of dormant glioma cells, intracranial foreign bodies may promote an inflammatory microenvironment that may activate tumorigenesis.</p>","PeriodicalId":72453,"journal":{"name":"Brain tumor research and treatment","volume":"12 3","pages":"181-185"},"PeriodicalIF":0.0000,"publicationDate":"2024-07-01","publicationTypes":"Journal Article","fieldsOfStudy":null,"isOpenAccess":false,"openAccessPdf":"https://www.ncbi.nlm.nih.gov/pmc/articles/PMC11306840/pdf/","citationCount":"0","resultStr":null,"platform":"Semanticscholar","paperid":null,"PeriodicalName":"Brain tumor research and treatment","FirstCategoryId":"1085","ListUrlMain":"https://doi.org/10.14791/btrt.2024.0015","RegionNum":0,"RegionCategory":null,"ArticlePicture":[],"TitleCN":null,"AbstractTextCN":null,"PMCID":null,"EPubDate":"","PubModel":"","JCR":"","JCRName":"","Score":null,"Total":0}
引用次数: 0

Abstract

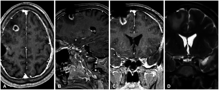
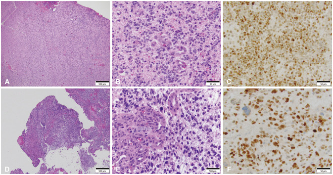
Glioblastoma multiforme (GBM) is the most common primary brain tumor in adults with a median survival of approximately 15 months, despite treatment, with most patients experiencing recurrence within 9 months of resection. The propensity of recurrence in GBM exemplifies the fatal course of the disease and remains an underlying area of study as novel instances of recurrence are encountered. The authors present a unique case of a 31-year-old male patient with a history of cerebellomedullary junction astrocytoma who later developed a supratentorial GBM followed by recurrence centered around a preexisting ventriculoperitoneal catheter and located in the hemisphere contralateral to his first GBM. Each of these lesions was initially thought to represent de novo glial neoplasms because of the absence of intervening T2 fluid-attenuated inversion recovery signal change between each lesion. However, next-generation sequencing using the GlioSeq™ platform revealed similar mutational profiles in both GBMs, suggesting an alternative method of migration of tumor cells to the shunt catheter site, and a local inflammatory environment likely triggering recurrence. This study concludes that in rare instances, in the presence of dormant glioma cells, intracranial foreign bodies may promote an inflammatory microenvironment that may activate tumorigenesis.

Abstract Image

Abstract Image

Abstract Image

脑脊液播散与脑室腹腔分流术中的炎症是胶质母细胞瘤远处复发的潜在原因。
多形性胶质母细胞瘤(GBM)是成人中最常见的原发性脑肿瘤,尽管经过治疗,但中位生存期约为 15 个月,大多数患者在切除后 9 个月内复发。GBM 的复发倾向体现了这种疾病的致命过程,而且随着新复发病例的出现,这种倾向仍是一个潜在的研究领域。作者介绍了一例独特的病例,患者是一名 31 岁的男性,曾患小脑髓质交界星形细胞瘤,后来又患上了幕上 GBM,随后复发,复发的中心是一个先前存在的脑室腹腔导管,位于第一个 GBM 的对侧半球。这些病变最初都被认为是新发胶质瘤,因为每个病变之间都没有T2液体衰减反转恢复信号变化。然而,使用 GlioSeq™ 平台进行的下一代测序显示,两个 GBM 中的突变特征相似,这表明肿瘤细胞是通过另一种方法迁移到分流导管部位的,而局部炎症环境很可能会引发复发。本研究的结论是,在极少数情况下,如果存在休眠的胶质瘤细胞,颅内异物可能会促进炎症微环境,从而激活肿瘤发生。
本文章由计算机程序翻译,如有差异,请以英文原文为准。
求助全文
约1分钟内获得全文 求助全文
来源期刊
自引率
0.00%
发文量
0
×
引用
GB/T 7714-2015
复制
MLA
复制
APA
复制
导出至
BibTeX EndNote RefMan NoteFirst NoteExpress
×
提示
您的信息不完整,为了账户安全,请先补充。
现在去补充
×
提示
您因"违规操作"
具体请查看互助需知
我知道了
×
提示
确定
请完成安全验证×
copy
已复制链接
快去分享给好友吧!
我知道了
右上角分享
点击右上角分享
0
联系我们:info@booksci.cn Book学术提供免费学术资源搜索服务,方便国内外学者检索中英文文献。致力于提供最便捷和优质的服务体验。 Copyright © 2023 布克学术 All rights reserved.
京ICP备2023020795号-1
ghs 京公网安备 11010802042870号
Book学术文献互助
Book学术文献互助群
群 号:604180095
Book学术官方微信