Posterior Reversible Encephalopathy Syndrome (PRES) following blood transfusion in a polytrauma victim, an atypical occurrence.

IF 2.3 Q3 EMERGENCY MEDICINE
Erum Shariff, Nehad Mahmoud Soltan
{"title":"Posterior Reversible Encephalopathy Syndrome (PRES) following blood transfusion in a polytrauma victim, an atypical occurrence.","authors":"Erum Shariff, Nehad Mahmoud Soltan","doi":"10.4103/tjem.tjem_30_24","DOIUrl":null,"url":null,"abstract":"<p><p>Posterior reversible encephalopathy syndrome (PRES) is a neuroradiological syndrome, clinically present by impaired consciousness, headache, visual disturbances, and seizures, and radiologically brain edema. Cases of PRES induced by blood transfusion are rarely documented. We report this case to increase the awareness of treating physicians for the possible complications of rapid blood transfusion. A 29-year-old man presented with polytrauma and was in hemorrhagic shock. He was transfused with multiple transfusions. Later, he was found to have quadriplegia with minimal movement of fingers in the left hand. His computed tomography showed cerebral edema in multiple cerebral regions. We propose that the etiology in this case is that rapid blood transfusion induced acute rise in hemoglobin which led to PRES. The influences of blood transfusion on blood flow, blood viscosity, and endothelial dysfunction lead to blood-brain barrier dysfunction, which can result in PRES.</p>","PeriodicalId":46536,"journal":{"name":"Turkish Journal of Emergency Medicine","volume":"24 3","pages":"180-184"},"PeriodicalIF":2.3000,"publicationDate":"2024-07-01","publicationTypes":"Journal Article","fieldsOfStudy":null,"isOpenAccess":false,"openAccessPdf":"https://www.ncbi.nlm.nih.gov/pmc/articles/PMC11299845/pdf/","citationCount":"0","resultStr":null,"platform":"Semanticscholar","paperid":null,"PeriodicalName":"Turkish Journal of Emergency Medicine","FirstCategoryId":"1085","ListUrlMain":"https://doi.org/10.4103/tjem.tjem_30_24","RegionNum":0,"RegionCategory":null,"ArticlePicture":[],"TitleCN":null,"AbstractTextCN":null,"PMCID":null,"EPubDate":"","PubModel":"","JCR":"Q3","JCRName":"EMERGENCY MEDICINE","Score":null,"Total":0}
引用次数: 0

Abstract

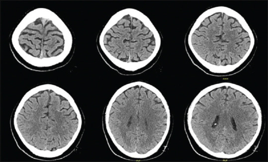
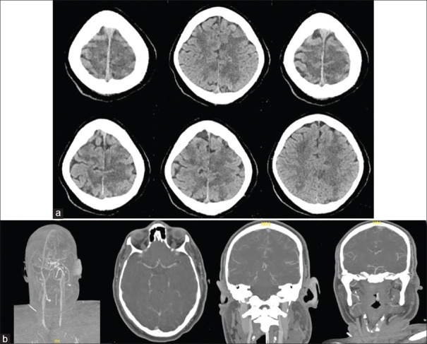
Posterior reversible encephalopathy syndrome (PRES) is a neuroradiological syndrome, clinically present by impaired consciousness, headache, visual disturbances, and seizures, and radiologically brain edema. Cases of PRES induced by blood transfusion are rarely documented. We report this case to increase the awareness of treating physicians for the possible complications of rapid blood transfusion. A 29-year-old man presented with polytrauma and was in hemorrhagic shock. He was transfused with multiple transfusions. Later, he was found to have quadriplegia with minimal movement of fingers in the left hand. His computed tomography showed cerebral edema in multiple cerebral regions. We propose that the etiology in this case is that rapid blood transfusion induced acute rise in hemoglobin which led to PRES. The influences of blood transfusion on blood flow, blood viscosity, and endothelial dysfunction lead to blood-brain barrier dysfunction, which can result in PRES.

Abstract Image

Abstract Image

Abstract Image

一名多发性创伤患者输血后出现的非典型后遗可逆性脑病综合征(PRES)。
后可逆性脑病综合征(PRES)是一种神经放射综合征,临床表现为意识障碍、头痛、视力障碍和癫痫发作,影像学表现为脑水肿。输血诱发 PRES 的病例很少见。我们报告此病例是为了提高主治医生对快速输血可能引起的并发症的认识。一名 29 岁的男子因多发性创伤而出现失血性休克。他接受了多次输血。后来,他被发现四肢瘫痪,左手手指活动微弱。他的计算机断层扫描显示多个脑区出现脑水肿。我们认为本病例的病因是快速输血引起血红蛋白急剧升高,从而导致 PRES。输血对血流量、血液粘度和内皮功能障碍的影响导致血脑屏障功能障碍,从而引发 PRES。
本文章由计算机程序翻译,如有差异,请以英文原文为准。
求助全文
约1分钟内获得全文 求助全文
来源期刊
CiteScore
1.70
自引率
0.00%
发文量
30
审稿时长
22 weeks
期刊介绍: The Turkish Journal of Emergency Medicine (Turk J Emerg Med) is an International, peer-reviewed, open-access journal that publishes clinical and experimental trials, case reports, invited reviews, case images, letters to the Editor, and interesting research conducted in all fields of Emergency Medicine. The Journal is the official scientific publication of the Emergency Medicine Association of Turkey (EMAT) and is printed four times a year, in January, April, July and October. The language of the journal is English. The Journal is based on independent and unbiased double-blinded peer-reviewed principles. Only unpublished papers that are not under review for publication elsewhere can be submitted. The authors are responsible for the scientific content of the material to be published. The Turkish Journal of Emergency Medicine reserves the right to request any research materials on which the paper is based. The Editorial Board of the Turkish Journal of Emergency Medicine and the Publisher adheres to the principles of the International Council of Medical Journal Editors, the World Association of Medical Editors, the Council of Science Editors, the Committee on Publication Ethics, the US National Library of Medicine, the US Office of Research Integrity, the European Association of Science Editors, and the International Society of Managing and Technical Editors.
×
引用
GB/T 7714-2015
复制
MLA
复制
APA
复制
导出至
BibTeX EndNote RefMan NoteFirst NoteExpress
×
提示
您的信息不完整,为了账户安全,请先补充。
现在去补充
×
提示
您因"违规操作"
具体请查看互助需知
我知道了
×
提示
确定
请完成安全验证×
copy
已复制链接
快去分享给好友吧!
我知道了
右上角分享
点击右上角分享
0
联系我们:info@booksci.cn Book学术提供免费学术资源搜索服务,方便国内外学者检索中英文文献。致力于提供最便捷和优质的服务体验。 Copyright © 2023 布克学术 All rights reserved.
京ICP备2023020795号-1
ghs 京公网安备 11010802042870号
Book学术文献互助
Book学术文献互助群
群 号:604180095
Book学术官方微信