Interruption during drug-eluting beads transarterial chemoembolization procedure by presumed allergic shock requires careful follow-up on the development of vascular lake phenomenon.

IF 1.3 Q3 RADIOLOGY, NUCLEAR MEDICINE & MEDICAL IMAGING
Journal of Clinical Imaging Science Pub Date : 2024-07-31 eCollection Date: 2024-01-01 DOI:10.25259/JCIS_47_2024
Akihiro Ogawa, Yuki Wada, Katsunori Iijima, Naoko Mori
{"title":"Interruption during drug-eluting beads transarterial chemoembolization procedure by presumed allergic shock requires careful follow-up on the development of vascular lake phenomenon.","authors":"Akihiro Ogawa, Yuki Wada, Katsunori Iijima, Naoko Mori","doi":"10.25259/JCIS_47_2024","DOIUrl":null,"url":null,"abstract":"<p><p>We present a case involving a 60-year-old male with multifocal hepatocellular carcinoma (HCC), emphasizing the critical need for vigilant post-procedural monitoring following the interruption of drug-eluting beads transarterial chemoembolization (DEB-TACE) due to an allergic reaction. The patient, who had a history of various treatments for HCC, underwent DEB-TACE. During the procedure, he experienced an anaphylactic shock, presumably due to an allergy to the treatment components (iodinated contrast agent), resulting in the procedure's discontinuation. Initially stable, the patient was later found to have intra-abdominal bleeding, a complication associated with the vascular lake phenomenon (VLP), detected on post-procedural imaging. Re-embolization using gelatin particles was performed to address the VLP. It remains unclear whether the shock experienced during the DEB-TACE procedure was due to the allergic reaction or the rupture of the VLP. This case underscores the complexities in managing DEB-TACE, the necessity of careful monitoring for VLP, and the challenges in diagnosing and managing allergic reactions during such procedures. In conclusion, it is crucial to consider that VLP can occur at any time during or after DEB-TACE. Assessing the presence of VLP using digital subtraction angiography before the termination of the procedure is essential. However, when an allergy to the iodinated contrast agent is suspected, as in this case, careful follow-up with abdominal ultrasound and computed tomography might be necessary to assess the presence of intra-abdominal hemorrhage associated with VLP.</p>","PeriodicalId":15512,"journal":{"name":"Journal of Clinical Imaging Science","volume":"14 ","pages":"27"},"PeriodicalIF":1.3000,"publicationDate":"2024-07-31","publicationTypes":"Journal Article","fieldsOfStudy":null,"isOpenAccess":false,"openAccessPdf":"https://www.ncbi.nlm.nih.gov/pmc/articles/PMC11301803/pdf/","citationCount":"0","resultStr":null,"platform":"Semanticscholar","paperid":null,"PeriodicalName":"Journal of Clinical Imaging Science","FirstCategoryId":"1085","ListUrlMain":"https://doi.org/10.25259/JCIS_47_2024","RegionNum":0,"RegionCategory":null,"ArticlePicture":[],"TitleCN":null,"AbstractTextCN":null,"PMCID":null,"EPubDate":"2024/1/1 0:00:00","PubModel":"eCollection","JCR":"Q3","JCRName":"RADIOLOGY, NUCLEAR MEDICINE & MEDICAL IMAGING","Score":null,"Total":0}
引用次数: 0

Abstract

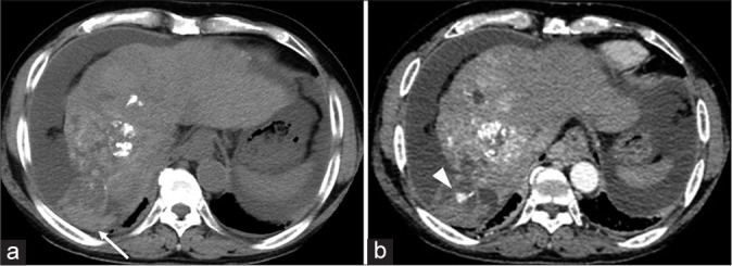
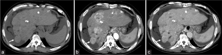
We present a case involving a 60-year-old male with multifocal hepatocellular carcinoma (HCC), emphasizing the critical need for vigilant post-procedural monitoring following the interruption of drug-eluting beads transarterial chemoembolization (DEB-TACE) due to an allergic reaction. The patient, who had a history of various treatments for HCC, underwent DEB-TACE. During the procedure, he experienced an anaphylactic shock, presumably due to an allergy to the treatment components (iodinated contrast agent), resulting in the procedure's discontinuation. Initially stable, the patient was later found to have intra-abdominal bleeding, a complication associated with the vascular lake phenomenon (VLP), detected on post-procedural imaging. Re-embolization using gelatin particles was performed to address the VLP. It remains unclear whether the shock experienced during the DEB-TACE procedure was due to the allergic reaction or the rupture of the VLP. This case underscores the complexities in managing DEB-TACE, the necessity of careful monitoring for VLP, and the challenges in diagnosing and managing allergic reactions during such procedures. In conclusion, it is crucial to consider that VLP can occur at any time during or after DEB-TACE. Assessing the presence of VLP using digital subtraction angiography before the termination of the procedure is essential. However, when an allergy to the iodinated contrast agent is suspected, as in this case, careful follow-up with abdominal ultrasound and computed tomography might be necessary to assess the presence of intra-abdominal hemorrhage associated with VLP.

Abstract Image

Abstract Image

Abstract Image

在药物洗脱珠经动脉化疗栓塞术过程中,因假定的过敏性休克而中断,需要仔细跟踪血管湖现象的发展。
我们介绍了一例 60 岁男性多灶性肝细胞癌(HCC)患者的病例,强调了因过敏反应而中断药物洗脱珠经动脉化疗栓塞术(DEB-TACE)后进行术后监测的重要性。患者曾接受过多种 HCC 治疗,接受了 DEB-TACE。在手术过程中,他出现了过敏性休克,可能是由于对治疗成分(碘造影剂)过敏,导致手术中止。患者最初病情稳定,但后来发现腹腔内出血,这是一种与血管湖现象(VLP)有关的并发症,在手术后的成像中被发现。为解决 VLP 问题,使用明胶颗粒进行了再次栓塞。目前还不清楚 DEB-TACE 过程中出现的休克是由于过敏反应还是 VLP 破裂所致。该病例突出说明了 DEB-TACE 管理的复杂性、仔细监测 VLP 的必要性以及在此类手术中诊断和管理过敏反应的挑战性。总之,必须考虑到在 DEB-TACE 期间或之后的任何时候都可能出现 VLP。在手术终止前使用数字减影血管造影术评估是否存在 VLP 至关重要。不过,如果怀疑患者对碘化造影剂过敏,就像本病例一样,可能需要通过腹部超声波和计算机断层扫描进行仔细随访,以评估是否存在与 VLP 相关的腹腔内出血。
本文章由计算机程序翻译,如有差异,请以英文原文为准。
求助全文
约1分钟内获得全文 求助全文
来源期刊
Journal of Clinical Imaging Science
Journal of Clinical Imaging Science RADIOLOGY, NUCLEAR MEDICINE & MEDICAL IMAGING-
CiteScore
2.00
自引率
0.00%
发文量
65
期刊介绍: The Journal of Clinical Imaging Science (JCIS) is an open access peer-reviewed journal committed to publishing high-quality articles in the field of Imaging Science. The journal aims to present Imaging Science and relevant clinical information in an understandable and useful format. The journal is owned and published by the Scientific Scholar. Audience Our audience includes Radiologists, Researchers, Clinicians, medical professionals and students. Review process JCIS has a highly rigorous peer-review process that makes sure that manuscripts are scientifically accurate, relevant, novel and important. Authors disclose all conflicts, affiliations and financial associations such that the published content is not biased.
×
引用
GB/T 7714-2015
复制
MLA
复制
APA
复制
导出至
BibTeX EndNote RefMan NoteFirst NoteExpress
×
提示
您的信息不完整,为了账户安全,请先补充。
现在去补充
×
提示
您因"违规操作"
具体请查看互助需知
我知道了
×
提示
确定
请完成安全验证×
copy
已复制链接
快去分享给好友吧!
我知道了
右上角分享
点击右上角分享
0
联系我们:info@booksci.cn Book学术提供免费学术资源搜索服务,方便国内外学者检索中英文文献。致力于提供最便捷和优质的服务体验。 Copyright © 2023 布克学术 All rights reserved.
京ICP备2023020795号-1
ghs 京公网安备 11010802042870号
Book学术文献互助
Book学术文献互助群
群 号:604180095
Book学术官方微信