T-PLL Presenting with an Indolent Course.

IF 0.7 Q4 HEMATOLOGY
Case Reports in Hematology Pub Date : 2024-07-24 eCollection Date: 2024-01-01 DOI:10.1155/2024/7310135
Arsa Thammahong, Narittee Sukswai, Chantana Polprasert
{"title":"T-PLL Presenting with an Indolent Course.","authors":"Arsa Thammahong, Narittee Sukswai, Chantana Polprasert","doi":"10.1155/2024/7310135","DOIUrl":null,"url":null,"abstract":"<p><p>T-cell prolymphocytic leukemia (T-PLL) is a rare, mature T-cell leukemia which usually presents with aggressive behavior. We report an asymptomatic T-PLL patient diagnosed by clinical features, lymphocyte morphology, and flow cytometry. Incidentally, she was found to have lymphocytosis and lymphadenopathy. Flow cytometry from blood revealed an abnormally increased CD4+ T-cell population. T-cell receptor clonality assessment by next-generation sequencing revealed a dominant clone in the ß-chain constant region. No pathogenic mutations in 25 lymphoma-related genes were found. Due to her asymptomatic T-PLL disease, we observed her clinical situation and blood count every three months for at least one year.</p>","PeriodicalId":46307,"journal":{"name":"Case Reports in Hematology","volume":"2024 ","pages":"7310135"},"PeriodicalIF":0.7000,"publicationDate":"2024-07-24","publicationTypes":"Journal Article","fieldsOfStudy":null,"isOpenAccess":false,"openAccessPdf":"https://www.ncbi.nlm.nih.gov/pmc/articles/PMC11300063/pdf/","citationCount":"0","resultStr":null,"platform":"Semanticscholar","paperid":null,"PeriodicalName":"Case Reports in Hematology","FirstCategoryId":"1085","ListUrlMain":"https://doi.org/10.1155/2024/7310135","RegionNum":0,"RegionCategory":null,"ArticlePicture":[],"TitleCN":null,"AbstractTextCN":null,"PMCID":null,"EPubDate":"2024/1/1 0:00:00","PubModel":"eCollection","JCR":"Q4","JCRName":"HEMATOLOGY","Score":null,"Total":0}
引用次数: 0

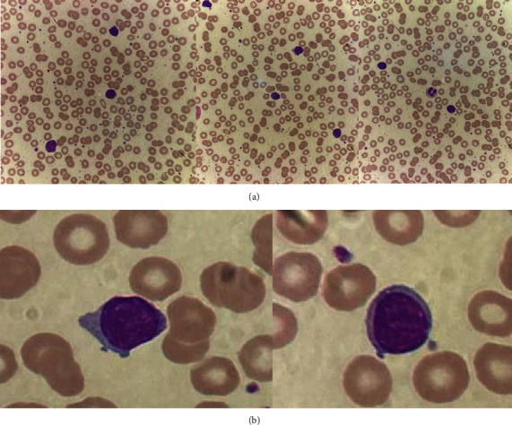
Abstract

T-cell prolymphocytic leukemia (T-PLL) is a rare, mature T-cell leukemia which usually presents with aggressive behavior. We report an asymptomatic T-PLL patient diagnosed by clinical features, lymphocyte morphology, and flow cytometry. Incidentally, she was found to have lymphocytosis and lymphadenopathy. Flow cytometry from blood revealed an abnormally increased CD4+ T-cell population. T-cell receptor clonality assessment by next-generation sequencing revealed a dominant clone in the ß-chain constant region. No pathogenic mutations in 25 lymphoma-related genes were found. Due to her asymptomatic T-PLL disease, we observed her clinical situation and blood count every three months for at least one year.

Abstract Image

Abstract Image

Abstract Image

T-PLL 表现为惰性病程。
T细胞前淋巴细胞白血病(T-PLL)是一种罕见的成熟T细胞白血病,通常具有侵袭性。我们报告了一名通过临床特征、淋巴细胞形态学和流式细胞术确诊的无症状 T-PLL 患者。偶然发现她有淋巴细胞增多和淋巴结病。血液流式细胞术显示 CD4+ T 细胞群异常增多。通过新一代测序对T细胞受体克隆进行评估,发现ß-链恒定区有一个显性克隆。在25个淋巴瘤相关基因中未发现致病突变。由于她患有无症状的T-PLL疾病,我们每三个月对她的临床情况和血细胞计数进行一次观察,至少持续了一年。
本文章由计算机程序翻译,如有差异,请以英文原文为准。
求助全文
约1分钟内获得全文 求助全文
来源期刊
自引率
0.00%
发文量
51
审稿时长
13 weeks
×
引用
GB/T 7714-2015
复制
MLA
复制
APA
复制
导出至
BibTeX EndNote RefMan NoteFirst NoteExpress
×
提示
您的信息不完整,为了账户安全,请先补充。
现在去补充
×
提示
您因"违规操作"
具体请查看互助需知
我知道了
×
提示
确定
请完成安全验证×
copy
已复制链接
快去分享给好友吧!
我知道了
右上角分享
点击右上角分享
0
联系我们:info@booksci.cn Book学术提供免费学术资源搜索服务,方便国内外学者检索中英文文献。致力于提供最便捷和优质的服务体验。 Copyright © 2023 布克学术 All rights reserved.
京ICP备2023020795号-1
ghs 京公网安备 11010802042870号
Book学术文献互助
Book学术文献互助群
群 号:604180095
Book学术官方微信