Liver transplantation for organ failure following multiple locoregional treatments for breast cancer metastasis.

IF 1.7 Q4 GASTROENTEROLOGY & HEPATOLOGY
Annals of hepato-biliary-pancreatic surgery Pub Date : 2024-11-30 Epub Date: 2024-08-05 DOI:10.14701/ahbps.24-101
Giammauro Berardi, Valerio Giannelli, Marco Colasanti, Roberto Cianni, Roberto Meniconi, Nicola Guglielmo, Stefano Ferretti, Ludovica Di Cesare, Adriano Pellicelli, Guido Ventroni, Enrico Cortesi, Giuseppe Maria Ettorre
{"title":"Liver transplantation for organ failure following multiple locoregional treatments for breast cancer metastasis.","authors":"Giammauro Berardi, Valerio Giannelli, Marco Colasanti, Roberto Cianni, Roberto Meniconi, Nicola Guglielmo, Stefano Ferretti, Ludovica Di Cesare, Adriano Pellicelli, Guido Ventroni, Enrico Cortesi, Giuseppe Maria Ettorre","doi":"10.14701/ahbps.24-101","DOIUrl":null,"url":null,"abstract":"<p><p>Patients with nonresectable breast cancer liver metastasis (BCLM) face a dismal prognosis. Despite liver transplantation (LT) for metastatic liver tumors having recently shown good results, BCLM represents an absolute contraindication. This study aimed to investigate the potential for long-term survival after LT for BCLMs in a patient experiencing end-stage liver disease, following multiple oncologic treatments. In July 2019, we performed a deceased donor LT on a 41-year-old female with BCLM controlled with human epidermal growth factor receptor 2 targeted therapy, who developed liver failure following multiple locoregional liver-directed treatments. The primary tumor was treated with surgical resection and adjuvant chemoradiation in 2000. The procedure was performed under a protocol approved by the local ethical committee, and by the Italian National Transplant Center. A 12-month treatment with trastuzumab was performed immediately after LT. Immunosuppression following transplantation was undertaken without steroids, and with everolimus. The patient completed 12 months of follow-up without recurrence. Trastuzumab was then withdrawn. Fifteen months after LT, a liver recurrence occurred that was treated with chemotherapy. In October 2021, she developed 2 brain lesions that were treated with stereotactic radiation. The patient is still alive, with a positron emission tomography/computed tomography performed in January 2024 showing no disease. LT for this patient with BCLM of extreme selectivity showed a good clinical outcome. Perioperative systemic treatment and tumor control are necessary. A specific protocol should be discussed within a multidisciplinary team, and with local and national authorities. Even if tumor recurrence occurs, multimodal therapy can control the disease.</p>","PeriodicalId":72220,"journal":{"name":"Annals of hepato-biliary-pancreatic surgery","volume":" ","pages":"516-521"},"PeriodicalIF":1.7000,"publicationDate":"2024-11-30","publicationTypes":"Journal Article","fieldsOfStudy":null,"isOpenAccess":false,"openAccessPdf":"https://www.ncbi.nlm.nih.gov/pmc/articles/PMC11599815/pdf/","citationCount":"0","resultStr":null,"platform":"Semanticscholar","paperid":null,"PeriodicalName":"Annals of hepato-biliary-pancreatic surgery","FirstCategoryId":"1085","ListUrlMain":"https://doi.org/10.14701/ahbps.24-101","RegionNum":0,"RegionCategory":null,"ArticlePicture":[],"TitleCN":null,"AbstractTextCN":null,"PMCID":null,"EPubDate":"2024/8/5 0:00:00","PubModel":"Epub","JCR":"Q4","JCRName":"GASTROENTEROLOGY & HEPATOLOGY","Score":null,"Total":0}
引用次数: 0

Abstract

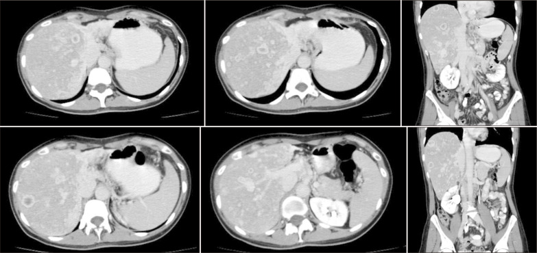
Patients with nonresectable breast cancer liver metastasis (BCLM) face a dismal prognosis. Despite liver transplantation (LT) for metastatic liver tumors having recently shown good results, BCLM represents an absolute contraindication. This study aimed to investigate the potential for long-term survival after LT for BCLMs in a patient experiencing end-stage liver disease, following multiple oncologic treatments. In July 2019, we performed a deceased donor LT on a 41-year-old female with BCLM controlled with human epidermal growth factor receptor 2 targeted therapy, who developed liver failure following multiple locoregional liver-directed treatments. The primary tumor was treated with surgical resection and adjuvant chemoradiation in 2000. The procedure was performed under a protocol approved by the local ethical committee, and by the Italian National Transplant Center. A 12-month treatment with trastuzumab was performed immediately after LT. Immunosuppression following transplantation was undertaken without steroids, and with everolimus. The patient completed 12 months of follow-up without recurrence. Trastuzumab was then withdrawn. Fifteen months after LT, a liver recurrence occurred that was treated with chemotherapy. In October 2021, she developed 2 brain lesions that were treated with stereotactic radiation. The patient is still alive, with a positron emission tomography/computed tomography performed in January 2024 showing no disease. LT for this patient with BCLM of extreme selectivity showed a good clinical outcome. Perioperative systemic treatment and tumor control are necessary. A specific protocol should be discussed within a multidisciplinary team, and with local and national authorities. Even if tumor recurrence occurs, multimodal therapy can control the disease.

Abstract Image

Abstract Image

Abstract Image

肝移植治疗乳腺癌转移多次局部治疗后的器官衰竭。
不可切除的乳腺癌肝转移(BCLM)患者预后很差。尽管最近针对转移性肝肿瘤的肝移植(LT)取得了良好的效果,但BCLM仍是绝对禁忌症。本研究旨在调查一名接受过多种肿瘤治疗的终末期肝病患者在接受LT治疗BCLM后的长期生存潜力。2019年7月,我们为一名41岁的女性BCLM患者实施了已故供体LT,该患者接受了人表皮生长因子受体2靶向治疗,并在多次局部肝脏定向治疗后出现肝功能衰竭。原发肿瘤于 2000 年接受了手术切除和辅助化疗。手术是根据当地伦理委员会和意大利国家移植中心批准的方案进行的。LT术后立即接受了为期12个月的曲妥珠单抗治疗。移植后的免疫抑制不使用类固醇,而是使用依维莫司。患者接受了 12 个月的随访,没有复发。随后撤销了曲妥珠单抗。LT 15 个月后,肝脏复发,接受了化疗。2021 年 10 月,她出现了 2 处脑部病变,接受了立体定向放射治疗。该患者目前仍然存活,2024年1月进行的正电子发射断层扫描/计算机断层扫描显示无病变。对这名患有极度选择性 BCLM 的患者进行的 LT 治疗取得了良好的临床效果。围手术期系统治疗和肿瘤控制是必要的。应在多学科团队内与当地和国家当局讨论具体方案。即使肿瘤复发,多模式疗法也能控制病情。
本文章由计算机程序翻译,如有差异,请以英文原文为准。
求助全文
约1分钟内获得全文 求助全文
来源期刊
CiteScore
0.80
自引率
0.00%
发文量
0
×
引用
GB/T 7714-2015
复制
MLA
复制
APA
复制
导出至
BibTeX EndNote RefMan NoteFirst NoteExpress
×
提示
您的信息不完整,为了账户安全,请先补充。
现在去补充
×
提示
您因"违规操作"
具体请查看互助需知
我知道了
×
提示
确定
请完成安全验证×
copy
已复制链接
快去分享给好友吧!
我知道了
右上角分享
点击右上角分享
0
联系我们:info@booksci.cn Book学术提供免费学术资源搜索服务,方便国内外学者检索中英文文献。致力于提供最便捷和优质的服务体验。 Copyright © 2023 布克学术 All rights reserved.
京ICP备2023020795号-1
ghs 京公网安备 11010802042870号
Book学术文献互助
Book学术文献互助群
群 号:604180095
Book学术官方微信