Surgical management of a lumbar far lateral intervertebral disc extrusion in a cat.

IF 0.7 Q3 VETERINARY SCIENCES
Journal of Feline Medicine and Surgery Open Reports Pub Date : 2024-08-02 eCollection Date: 2024-07-01 DOI:10.1177/20551169241261577
Gilad Fefer, Lauren Bynum, Peter Early
{"title":"Surgical management of a lumbar far lateral intervertebral disc extrusion in a cat.","authors":"Gilad Fefer, Lauren Bynum, Peter Early","doi":"10.1177/20551169241261577","DOIUrl":null,"url":null,"abstract":"<p><strong>Case summary: </strong>A 9-year-old male castrated domestic shorthair cat was presented with a 2-week history of acute, progressive left pelvic limb lameness. Gait evaluation revealed a grade 3/5 left pelvic limb lameness with no apparent orthopedic cause for the lameness based on orthopedic examination or radiographs. The neurological examination was otherwise normal. MRI revealed a left-sided L6-7 far lateral intervertebral disc extrusion with possible secondary neuritis of the L6 spinal nerve. A left-sided L6-7 foraminotomy was performed to remove the extruded disc material and provide additional space for the significantly enlarged nerve root. An L6-7 fenestration was also performed. The patient made an excellent recovery with near-complete resolution of lameness at 26 days postoperatively.</p><p><strong>Relevance and novel information: </strong>This case report contributes to the growing body of literature on lateral intervertebral disc extrusion as an etiological factor in pelvic limb lameness in cats, particularly when neurological deficits are absent. Furthermore, the case report highlights the diagnostic utility of cross-sectional advanced imaging for cats with lameness for which an orthopedic or radiographic cause cannot be identified. Finally, this case underscores the efficacy of surgical intervention as a treatment option for cats with lumbar far lateral intervertebral disc extrusions that do not improve with medical management alone. This finding could have implications for future surgical approaches in cats with similar findings.</p>","PeriodicalId":36588,"journal":{"name":"Journal of Feline Medicine and Surgery Open Reports","volume":"10 2","pages":"20551169241261577"},"PeriodicalIF":0.7000,"publicationDate":"2024-08-02","publicationTypes":"Journal Article","fieldsOfStudy":null,"isOpenAccess":false,"openAccessPdf":"https://www.ncbi.nlm.nih.gov/pmc/articles/PMC11297504/pdf/","citationCount":"0","resultStr":null,"platform":"Semanticscholar","paperid":null,"PeriodicalName":"Journal of Feline Medicine and Surgery Open Reports","FirstCategoryId":"1085","ListUrlMain":"https://doi.org/10.1177/20551169241261577","RegionNum":0,"RegionCategory":null,"ArticlePicture":[],"TitleCN":null,"AbstractTextCN":null,"PMCID":null,"EPubDate":"2024/7/1 0:00:00","PubModel":"eCollection","JCR":"Q3","JCRName":"VETERINARY SCIENCES","Score":null,"Total":0}
引用次数: 0

Abstract

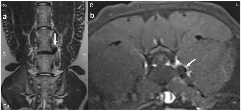
Case summary: A 9-year-old male castrated domestic shorthair cat was presented with a 2-week history of acute, progressive left pelvic limb lameness. Gait evaluation revealed a grade 3/5 left pelvic limb lameness with no apparent orthopedic cause for the lameness based on orthopedic examination or radiographs. The neurological examination was otherwise normal. MRI revealed a left-sided L6-7 far lateral intervertebral disc extrusion with possible secondary neuritis of the L6 spinal nerve. A left-sided L6-7 foraminotomy was performed to remove the extruded disc material and provide additional space for the significantly enlarged nerve root. An L6-7 fenestration was also performed. The patient made an excellent recovery with near-complete resolution of lameness at 26 days postoperatively.

Relevance and novel information: This case report contributes to the growing body of literature on lateral intervertebral disc extrusion as an etiological factor in pelvic limb lameness in cats, particularly when neurological deficits are absent. Furthermore, the case report highlights the diagnostic utility of cross-sectional advanced imaging for cats with lameness for which an orthopedic or radiographic cause cannot be identified. Finally, this case underscores the efficacy of surgical intervention as a treatment option for cats with lumbar far lateral intervertebral disc extrusions that do not improve with medical management alone. This finding could have implications for future surgical approaches in cats with similar findings.

Abstract Image

Abstract Image

Abstract Image

猫腰椎间盘远外侧突出的手术治疗。
病例摘要:一只 9 岁的雄性阉割短毛猫因急性、进行性左侧骨盆肢体跛行 2 周前来就诊。步态评估显示其左侧骨盆肢体跛行为 3/5 级,骨科检查或 X 光片均未发现导致跛行的明显矫形原因。其他神经系统检查正常。核磁共振成像显示左侧L6-7远外侧椎间盘突出,L6脊神经可能继发神经炎。患者接受了左侧L6-7椎间孔切开术,以移除挤出的椎间盘材料,并为明显增大的神经根提供更多空间。同时还进行了 L6-7 椎间孔切开术。患者恢复良好,术后 26 天跛行症状几乎完全消失:本病例报告为越来越多的关于椎间盘外侧挤压是猫骨盆肢体跛行的病因之一的文献做出了贡献,尤其是在没有神经障碍的情况下。此外,该病例报告还强调了横断面高级成像对无法确定骨科或放射学原因的跛行猫的诊断作用。最后,本病例强调了手术干预作为一种治疗选择的有效性,适用于腰椎间盘挤压远外侧但仅靠药物治疗无法改善的猫咪。这一发现可能会对今后对有类似发现的猫采取手术治疗方法产生影响。
本文章由计算机程序翻译,如有差异,请以英文原文为准。
求助全文
约1分钟内获得全文 求助全文
来源期刊
CiteScore
1.30
自引率
14.30%
发文量
57
审稿时长
15 weeks
×
引用
GB/T 7714-2015
复制
MLA
复制
APA
复制
导出至
BibTeX EndNote RefMan NoteFirst NoteExpress
×
提示
您的信息不完整,为了账户安全,请先补充。
现在去补充
×
提示
您因"违规操作"
具体请查看互助需知
我知道了
×
提示
确定
请完成安全验证×
copy
已复制链接
快去分享给好友吧!
我知道了
右上角分享
点击右上角分享
0
联系我们:info@booksci.cn Book学术提供免费学术资源搜索服务,方便国内外学者检索中英文文献。致力于提供最便捷和优质的服务体验。 Copyright © 2023 布克学术 All rights reserved.
京ICP备2023020795号-1
ghs 京公网安备 11010802042870号
Book学术文献互助
Book学术文献互助群
群 号:604180095
Book学术官方微信