Caseous Calcification of the Mitral Annulus Associated with Severe Mitral Regurgitation: A Multimodality Diagnostic Approach.

IF 1 Q4 CARDIAC & CARDIOVASCULAR SYSTEMS
Journal of Cardiovascular Echography Pub Date : 2024-04-01 Epub Date: 2024-06-28 DOI:10.4103/jcecho.jcecho_20_24
Dan Alexandru Cozac, Eleonora Lassandro, Raffaella Motta, Valeria Pergola
{"title":"Caseous Calcification of the Mitral Annulus Associated with Severe Mitral Regurgitation: A Multimodality Diagnostic Approach.","authors":"Dan Alexandru Cozac, Eleonora Lassandro, Raffaella Motta, Valeria Pergola","doi":"10.4103/jcecho.jcecho_20_24","DOIUrl":null,"url":null,"abstract":"<p><p>Caseous calcification of the mitral annulus (CCMA) is a rare variant of mitral annular calcification, and a multimodality approach is advised to ensure an accurate diagnosis. We report a case of a patient with CCMA, associated with severe mitral regurgitation. An 82-year-old woman was admitted due to worsening heart failure. Transthoracic echocardiography revealed a fixed, hyperechogenic mass, accompanied by restriction of the posterior mitral leaflet, and subsequent severe mitral regurgitation. Transesophageal echocardiography demonstrated a restricted motion of the posterior mitral leaflet, because of a large, echogenic mass (15 mm × 11 mm), attached to the mitral annulus, vacuolated with a central echolucent aspect, lacking acoustic shadowing. Contrast-enhanced cardiac computed tomography identified a distinct oval mass (18 mm × 11 mm × 19 mm) presenting a central hypodense content and peripheral calcification, strongly suggestive of CCMA. Considering the patient's profile, surgical valvular replacement was considered unsuitable. Therefore, a transcatheter edge-to-edge repair was performed, resulting in mild residual regurgitation.</p>","PeriodicalId":15191,"journal":{"name":"Journal of Cardiovascular Echography","volume":"34 2","pages":"82-84"},"PeriodicalIF":1.0000,"publicationDate":"2024-04-01","publicationTypes":"Journal Article","fieldsOfStudy":null,"isOpenAccess":false,"openAccessPdf":"https://www.ncbi.nlm.nih.gov/pmc/articles/PMC11288304/pdf/","citationCount":"0","resultStr":null,"platform":"Semanticscholar","paperid":null,"PeriodicalName":"Journal of Cardiovascular Echography","FirstCategoryId":"1085","ListUrlMain":"https://doi.org/10.4103/jcecho.jcecho_20_24","RegionNum":0,"RegionCategory":null,"ArticlePicture":[],"TitleCN":null,"AbstractTextCN":null,"PMCID":null,"EPubDate":"2024/6/28 0:00:00","PubModel":"Epub","JCR":"Q4","JCRName":"CARDIAC & CARDIOVASCULAR SYSTEMS","Score":null,"Total":0}
引用次数: 0

Abstract

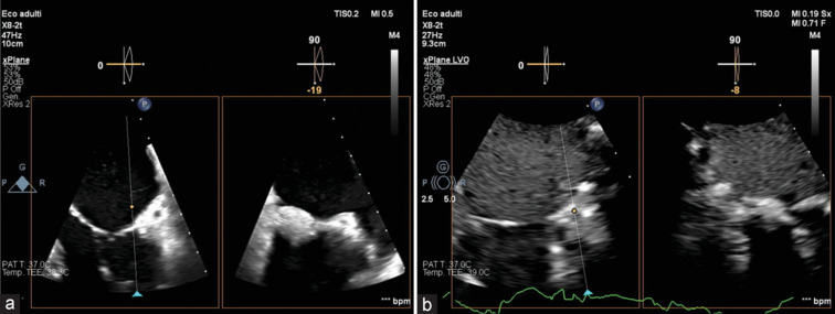
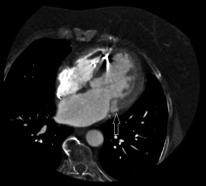
Caseous calcification of the mitral annulus (CCMA) is a rare variant of mitral annular calcification, and a multimodality approach is advised to ensure an accurate diagnosis. We report a case of a patient with CCMA, associated with severe mitral regurgitation. An 82-year-old woman was admitted due to worsening heart failure. Transthoracic echocardiography revealed a fixed, hyperechogenic mass, accompanied by restriction of the posterior mitral leaflet, and subsequent severe mitral regurgitation. Transesophageal echocardiography demonstrated a restricted motion of the posterior mitral leaflet, because of a large, echogenic mass (15 mm × 11 mm), attached to the mitral annulus, vacuolated with a central echolucent aspect, lacking acoustic shadowing. Contrast-enhanced cardiac computed tomography identified a distinct oval mass (18 mm × 11 mm × 19 mm) presenting a central hypodense content and peripheral calcification, strongly suggestive of CCMA. Considering the patient's profile, surgical valvular replacement was considered unsuitable. Therefore, a transcatheter edge-to-edge repair was performed, resulting in mild residual regurgitation.

Abstract Image

Abstract Image

Abstract Image

与严重二尖瓣反流相关的二尖瓣环溃疡性钙化:多模态诊断方法。
二尖瓣瓣环钙化(CCMA)是二尖瓣瓣环钙化的一种罕见变异,建议采用多模式方法确保准确诊断。我们报告了一例伴有严重二尖瓣反流的二尖瓣环钙化患者。一位 82 岁的妇女因心力衰竭恶化而入院。经胸超声心动图检查发现一个固定的高回声肿块,伴有二尖瓣后叶受限,随后出现严重的二尖瓣返流。经食管超声心动图显示,二尖瓣后叶运动受限,因为一个巨大的回声性肿块(15 毫米×11 毫米)附着在二尖瓣瓣环上,呈空泡状,中央有回声,没有声影。对比增强心脏计算机断层扫描发现了一个明显的椭圆形肿块(18 毫米 × 11 毫米 × 19 毫米),中央密度低,周围钙化,强烈提示为 CCMA。考虑到患者的情况,手术置换瓣膜被认为是不合适的。因此,患者接受了经导管边缘到边缘修补术,结果导致轻度残余反流。
本文章由计算机程序翻译,如有差异,请以英文原文为准。
求助全文
约1分钟内获得全文 求助全文
来源期刊
Journal of Cardiovascular Echography
Journal of Cardiovascular Echography CARDIAC & CARDIOVASCULAR SYSTEMS-
CiteScore
1.40
自引率
12.50%
发文量
27
×
引用
GB/T 7714-2015
复制
MLA
复制
APA
复制
导出至
BibTeX EndNote RefMan NoteFirst NoteExpress
×
提示
您的信息不完整,为了账户安全,请先补充。
现在去补充
×
提示
您因"违规操作"
具体请查看互助需知
我知道了
×
提示
确定
请完成安全验证×
copy
已复制链接
快去分享给好友吧!
我知道了
右上角分享
点击右上角分享
0
联系我们:info@booksci.cn Book学术提供免费学术资源搜索服务,方便国内外学者检索中英文文献。致力于提供最便捷和优质的服务体验。 Copyright © 2023 布克学术 All rights reserved.
京ICP备2023020795号-1
ghs 京公网安备 11010802042870号
Book学术文献互助
Book学术文献互助群
群 号:604180095
Book学术官方微信