An Unusual Cause of Lymphadenopathy: Rosai Dorfman Disease in a 7-Year-Old Female Zambian Child: Case Report and Literature Review.

IF 0.6 Q3 MEDICINE, GENERAL & INTERNAL
Clinical Medicine Insights. Case Reports Pub Date : 2024-07-30 eCollection Date: 2024-01-01 DOI:10.1177/11795476241265279
Hellen M'hango, Uzima Chirwa, Zoran Muhimba, Rose Chilufya, Juliet Mulopwe, Chibamba Mumba, Evans Mpabalwani
{"title":"An Unusual Cause of Lymphadenopathy: Rosai Dorfman Disease in a 7-Year-Old Female Zambian Child: Case Report and Literature Review.","authors":"Hellen M'hango, Uzima Chirwa, Zoran Muhimba, Rose Chilufya, Juliet Mulopwe, Chibamba Mumba, Evans Mpabalwani","doi":"10.1177/11795476241265279","DOIUrl":null,"url":null,"abstract":"<p><p>Rosai Dorfman disease (RDD) is a rare non-Langerhans histiocytic disorder, which belongs to the R group of the 2016 revised histiocytic classification. It's characterized by the accumulation of activated histiocytes in the sinusoids of lymph nodes and/or extranodal tissues. Herein, we report a 7-year-old female who was initially suspected to have a lymphoma but was later identified as having RDD. She presented with a history of fever, night sweats, and weight loss, and on physical examination had bilateral cervical lymphadenopathy. Histologic examination of the biopsied cervical lymph nodes showed distended sinuses with S100 and CD68 immunoreactive histiocytes demonstrating emperipolesis, confirming a diagnosis of RDD. The condition is known to be self-limiting. However, evidence from literature and our case management shows that medical therapy can hasten remission in pediatric cases.</p>","PeriodicalId":10357,"journal":{"name":"Clinical Medicine Insights. Case Reports","volume":"17 ","pages":"11795476241265279"},"PeriodicalIF":0.6000,"publicationDate":"2024-07-30","publicationTypes":"Journal Article","fieldsOfStudy":null,"isOpenAccess":false,"openAccessPdf":"https://www.ncbi.nlm.nih.gov/pmc/articles/PMC11289797/pdf/","citationCount":"0","resultStr":null,"platform":"Semanticscholar","paperid":null,"PeriodicalName":"Clinical Medicine Insights. Case Reports","FirstCategoryId":"1085","ListUrlMain":"https://doi.org/10.1177/11795476241265279","RegionNum":0,"RegionCategory":null,"ArticlePicture":[],"TitleCN":null,"AbstractTextCN":null,"PMCID":null,"EPubDate":"2024/1/1 0:00:00","PubModel":"eCollection","JCR":"Q3","JCRName":"MEDICINE, GENERAL & INTERNAL","Score":null,"Total":0}
引用次数: 0

Abstract

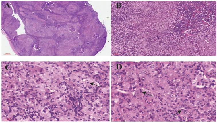
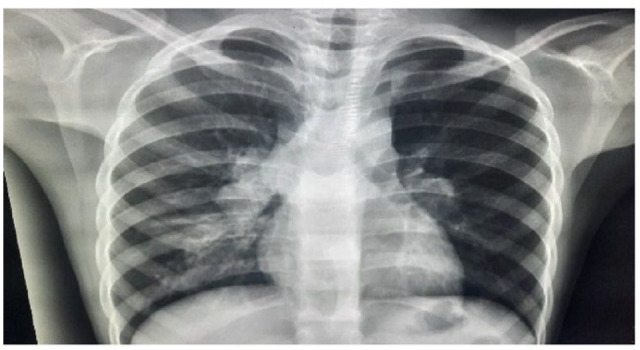
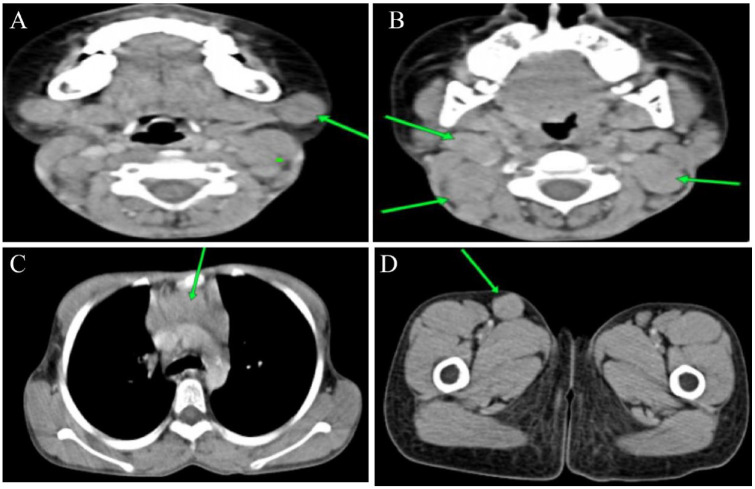
Rosai Dorfman disease (RDD) is a rare non-Langerhans histiocytic disorder, which belongs to the R group of the 2016 revised histiocytic classification. It's characterized by the accumulation of activated histiocytes in the sinusoids of lymph nodes and/or extranodal tissues. Herein, we report a 7-year-old female who was initially suspected to have a lymphoma but was later identified as having RDD. She presented with a history of fever, night sweats, and weight loss, and on physical examination had bilateral cervical lymphadenopathy. Histologic examination of the biopsied cervical lymph nodes showed distended sinuses with S100 and CD68 immunoreactive histiocytes demonstrating emperipolesis, confirming a diagnosis of RDD. The condition is known to be self-limiting. However, evidence from literature and our case management shows that medical therapy can hasten remission in pediatric cases.

Abstract Image

Abstract Image

Abstract Image

淋巴腺病的不寻常病因:一名 7 岁赞比亚女婴的罗赛-多夫曼病:病例报告和文献综述。
罗赛-多夫曼病(RDD)是一种罕见的非朗格汉斯组织细胞疾病,属于2016年修订的组织细胞分类中的R组。其特征是活化的组织细胞在淋巴结窦道和/或结外组织中聚集。在此,我们报告了一名最初被怀疑患有淋巴瘤,但后来被确定为患有 RDD 的 7 岁女性。她有发热、盗汗和体重减轻的病史,体格检查时发现双侧颈部淋巴结肿大。对活检的颈淋巴结进行组织学检查后发现,淋巴结窦膨胀,有S100和CD68免疫反应的组织细胞,表现为糜烂性淋巴结炎,确诊为RDD。众所周知,这种疾病具有自限性。然而,文献证据和我们的病例处理显示,药物治疗可加速儿童病例的缓解。
本文章由计算机程序翻译,如有差异,请以英文原文为准。
求助全文
约1分钟内获得全文 求助全文
来源期刊
Clinical Medicine Insights. Case Reports
Clinical Medicine Insights. Case Reports MEDICINE, GENERAL & INTERNAL-
CiteScore
1.10
自引率
0.00%
发文量
57
审稿时长
8 weeks
×
引用
GB/T 7714-2015
复制
MLA
复制
APA
复制
导出至
BibTeX EndNote RefMan NoteFirst NoteExpress
×
提示
您的信息不完整,为了账户安全,请先补充。
现在去补充
×
提示
您因"违规操作"
具体请查看互助需知
我知道了
×
提示
确定
请完成安全验证×
copy
已复制链接
快去分享给好友吧!
我知道了
右上角分享
点击右上角分享
0
联系我们:info@booksci.cn Book学术提供免费学术资源搜索服务,方便国内外学者检索中英文文献。致力于提供最便捷和优质的服务体验。 Copyright © 2023 布克学术 All rights reserved.
京ICP备2023020795号-1
ghs 京公网安备 11010802042870号
Book学术文献互助
Book学术文献互助群
群 号:604180095
Book学术官方微信