The effect of chlorpyrifos oral exposure on the histomorphometric and kidney function in Wistar rat.

IF 1.5 4区 医学 Q4 PHARMACOLOGY & PHARMACY
Indian Journal of Pharmacology Pub Date : 2024-05-01 Epub Date: 2024-07-05 DOI:10.4103/ijp.ijp_820_23
Elly Nurus Sakinah, Desie Dwi Wisudanti, Cholis Abrori, Supangat Supangat, Laily Rahmah Ramadhani, Indis Suyanto Putri, Galang Cahyo Pamungkas, Muhammad Hanif Arrobani, Risa Rahmadina, Pandego Wahyu Dirgantara
{"title":"The effect of chlorpyrifos oral exposure on the histomorphometric and kidney function in Wistar rat.","authors":"Elly Nurus Sakinah, Desie Dwi Wisudanti, Cholis Abrori, Supangat Supangat, Laily Rahmah Ramadhani, Indis Suyanto Putri, Galang Cahyo Pamungkas, Muhammad Hanif Arrobani, Risa Rahmadina, Pandego Wahyu Dirgantara","doi":"10.4103/ijp.ijp_820_23","DOIUrl":null,"url":null,"abstract":"<p><strong>Background: </strong>Chlorpyrifos belongs to a broad-spectrum organophosphate insecticide that has high toxicity, is metabolized in the liver by the oxidation reaction, and can inhibit acetylcholinesterase activity. Acetylcholinesterase inhibition generates the reactive oxygen species and induces oxidative stress, which ultimately results in cellular damage like in the kidney. Examining blood urea nitrogen (BUN) levels, creatinine, and kidney histopathology is an appropriate indicator to assess the toxicity of chlorpyrifos to the degree of damage to cells and kidney tissue.</p><p><strong>Materials and methods: </strong>This research used to determine the effect of duration of exposure to chlorpyrifos and dose-response relationships is important for early detection of the effects of chlorpyrifos toxicity on health. The research study was a true experimental (completely randomized design) consisting of 30 subjects divided into 5 groups. Controlled Group (K1) given 1 mg/kg BW Tween 20 and NaCl 0, 9% until the 56th day. The chlorpyrifos exposed group (P1, P2, P3, and P4) was given chlorpyrifos 5 mg/kg BW for 7, 14, 28, and 56 days. After the treatment, BUN and creatinine levels were measured, and microscopic changes in the kidney were analyzed. The results of BUN, creatinine, and kidney histopathologic were analyzed using the analysis of variance statistical test.</p><p><strong>Results: </strong>The data result showed that compared to the control group, there were significant increases of BUN and creatinine (P = 0.013 and P = 0.003). Histopathological examinations of kidney glomerulus diameter were also smaller compared to the control group (P = 0.00). All the data measurement indicates significant differences compared to the control group.</p><p><strong>Conclusions: </strong>We concluded that sub-chronic oral exposure to chlorpyrifos at low doses can damage the kidneys and cause kidney failure.</p>","PeriodicalId":13490,"journal":{"name":"Indian Journal of Pharmacology","volume":"56 3","pages":"186-190"},"PeriodicalIF":1.5000,"publicationDate":"2024-05-01","publicationTypes":"Journal Article","fieldsOfStudy":null,"isOpenAccess":false,"openAccessPdf":"https://www.ncbi.nlm.nih.gov/pmc/articles/PMC11286096/pdf/","citationCount":"0","resultStr":null,"platform":"Semanticscholar","paperid":null,"PeriodicalName":"Indian Journal of Pharmacology","FirstCategoryId":"3","ListUrlMain":"https://doi.org/10.4103/ijp.ijp_820_23","RegionNum":4,"RegionCategory":"医学","ArticlePicture":[],"TitleCN":null,"AbstractTextCN":null,"PMCID":null,"EPubDate":"2024/7/5 0:00:00","PubModel":"Epub","JCR":"Q4","JCRName":"PHARMACOLOGY & PHARMACY","Score":null,"Total":0}
引用次数: 0

Abstract

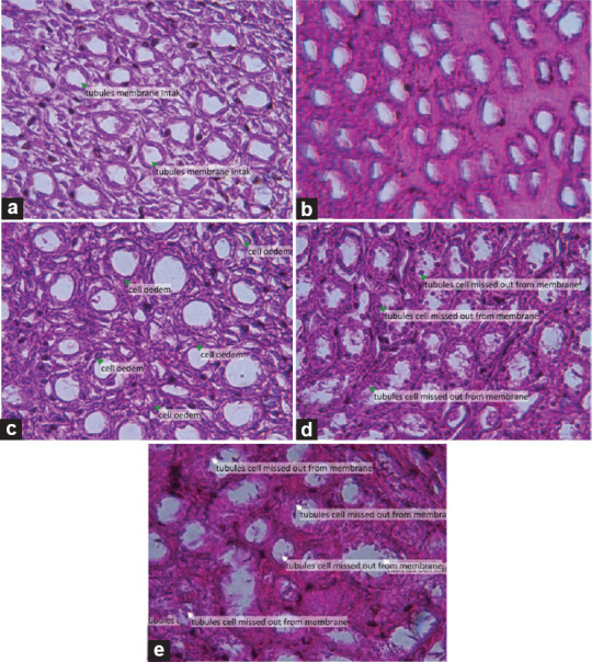
Background: Chlorpyrifos belongs to a broad-spectrum organophosphate insecticide that has high toxicity, is metabolized in the liver by the oxidation reaction, and can inhibit acetylcholinesterase activity. Acetylcholinesterase inhibition generates the reactive oxygen species and induces oxidative stress, which ultimately results in cellular damage like in the kidney. Examining blood urea nitrogen (BUN) levels, creatinine, and kidney histopathology is an appropriate indicator to assess the toxicity of chlorpyrifos to the degree of damage to cells and kidney tissue.

Materials and methods: This research used to determine the effect of duration of exposure to chlorpyrifos and dose-response relationships is important for early detection of the effects of chlorpyrifos toxicity on health. The research study was a true experimental (completely randomized design) consisting of 30 subjects divided into 5 groups. Controlled Group (K1) given 1 mg/kg BW Tween 20 and NaCl 0, 9% until the 56th day. The chlorpyrifos exposed group (P1, P2, P3, and P4) was given chlorpyrifos 5 mg/kg BW for 7, 14, 28, and 56 days. After the treatment, BUN and creatinine levels were measured, and microscopic changes in the kidney were analyzed. The results of BUN, creatinine, and kidney histopathologic were analyzed using the analysis of variance statistical test.

Results: The data result showed that compared to the control group, there were significant increases of BUN and creatinine (P = 0.013 and P = 0.003). Histopathological examinations of kidney glomerulus diameter were also smaller compared to the control group (P = 0.00). All the data measurement indicates significant differences compared to the control group.

Conclusions: We concluded that sub-chronic oral exposure to chlorpyrifos at low doses can damage the kidneys and cause kidney failure.

Abstract Image

Abstract Image

毒死蜱口服暴露对 Wistar 大鼠组织形态计量学和肾功能的影响
背景:毒死蜱属于一种广谱有机磷杀虫剂,毒性较高,在肝脏中通过氧化反应进行代谢,可抑制乙酰胆碱酯酶的活性。乙酰胆碱酯酶受抑制后会产生活性氧,诱发氧化应激,最终导致细胞损伤,如肾脏损伤。检查血尿素氮(BUN)水平、肌酐和肾脏组织病理学是评估毒死蜱毒性对细胞和肾脏组织损伤程度的适当指标:本研究用于确定毒死蜱暴露时间的影响和剂量-反应关系,这对于早期发现毒死蜱毒性对健康的影响非常重要。该研究是一项真正的实验(完全随机设计),由 30 名受试者组成,分为 5 组。对照组(K1)服用 1 毫克/千克体重的吐温 20 和 0.9% 的氯化钠,直至第 56 天。毒死蜱暴露组(P1、P2、P3 和 P4)服用毒死蜱 5 毫克/千克体重,疗程分别为 7、14、28 和 56 天。治疗后,测定了 BUN 和肌酐水平,并分析了肾脏的显微变化。采用方差分析统计检验法对 BUN、肌酐和肾脏组织病理学结果进行分析:数据结果显示,与对照组相比,BUN 和肌酐明显升高(P = 0.013 和 P = 0.003)。肾小球直径的组织病理学检查结果也比对照组小(P = 0.00)。所有数据测量结果表明,与对照组相比存在显著差异:我们得出结论,亚慢性口服低剂量毒死蜱会损害肾脏并导致肾衰竭。
本文章由计算机程序翻译,如有差异,请以英文原文为准。
求助全文
约1分钟内获得全文 求助全文
来源期刊
CiteScore
4.00
自引率
4.20%
发文量
53
审稿时长
4-8 weeks
期刊介绍: Indian Journal of Pharmacology accepts, in English, review articles, articles for educational forum, original research articles (full length and short communications), letter to editor, case reports and interesting fillers. Articles concerning all aspects of pharmacology will be considered. Articles of general interest (e.g. methods, therapeutics, medical education, interesting websites, new drug information and commentary on a recent topic) are also welcome.
×
引用
GB/T 7714-2015
复制
MLA
复制
APA
复制
导出至
BibTeX EndNote RefMan NoteFirst NoteExpress
×
提示
您的信息不完整,为了账户安全,请先补充。
现在去补充
×
提示
您因"违规操作"
具体请查看互助需知
我知道了
×
提示
确定
请完成安全验证×
copy
已复制链接
快去分享给好友吧!
我知道了
右上角分享
点击右上角分享
0
联系我们:info@booksci.cn Book学术提供免费学术资源搜索服务,方便国内外学者检索中英文文献。致力于提供最便捷和优质的服务体验。 Copyright © 2023 布克学术 All rights reserved.
京ICP备2023020795号-1
ghs 京公网安备 11010802042870号
Book学术文献互助
Book学术文献互助群
群 号:604180095
Book学术官方微信