Diagnosis and Treatment Challenges of Candida guilliermondii in Immunocompromised Patients: A Case Study in a Neutropenic AML Patient.

IF 0.8 Q4 INFECTIOUS DISEASES
Case Reports in Infectious Diseases Pub Date : 2024-07-22 eCollection Date: 2024-01-01 DOI:10.1155/2024/7806235
Dhruvi Modi, Sophie Dessureault, John Greene
{"title":"Diagnosis and Treatment Challenges of <i>Candida guilliermondii</i> in Immunocompromised Patients: A Case Study in a Neutropenic AML Patient.","authors":"Dhruvi Modi, Sophie Dessureault, John Greene","doi":"10.1155/2024/7806235","DOIUrl":null,"url":null,"abstract":"<p><p>Although fungal infections causing intestinal perforation and necrosis are rare, they can be particularly dangerous in immunosuppressed patients, often leading to increased mortality rates and poor prognoses. Candida species are typically surface fungi, but in patients with compromised immune systems, they can invade the small intestine and cause angioinvasive infections. A case study involving a 30-year-old female with acute myeloid leukemia (AML) illustrates this phenomenon. The patient was presented with symptoms of abdominal pain, fever, diarrhea, recurrent episodes of intestinal necrosis, hematomas due to thrombocytopenia, and subsequent postoperative enterocutaneous fistulas. Extensive testing ruled out other possible causes of intestinal necrosis and enteritis, including Crohn's and CMV diseases. <i>Candida guilliermondi</i> was ultimately identified in blood cultures from the periphery, peritoneal fluid, and intestinal biopsy of respected sections, indicating that it was responsible for intestinal invasion and necrosis. The patient was then treated with amphotericin B, cefepime, and metronidazole. This case highlights the potential severity of fungal infections in immunosuppressed patients, particularly Candida species, and the importance of prompt diagnosis and appropriate treatment.</p>","PeriodicalId":9608,"journal":{"name":"Case Reports in Infectious Diseases","volume":"2024 ","pages":"7806235"},"PeriodicalIF":0.8000,"publicationDate":"2024-07-22","publicationTypes":"Journal Article","fieldsOfStudy":null,"isOpenAccess":false,"openAccessPdf":"https://www.ncbi.nlm.nih.gov/pmc/articles/PMC11286315/pdf/","citationCount":"0","resultStr":null,"platform":"Semanticscholar","paperid":null,"PeriodicalName":"Case Reports in Infectious Diseases","FirstCategoryId":"1085","ListUrlMain":"https://doi.org/10.1155/2024/7806235","RegionNum":0,"RegionCategory":null,"ArticlePicture":[],"TitleCN":null,"AbstractTextCN":null,"PMCID":null,"EPubDate":"2024/1/1 0:00:00","PubModel":"eCollection","JCR":"Q4","JCRName":"INFECTIOUS DISEASES","Score":null,"Total":0}
引用次数: 0

Abstract

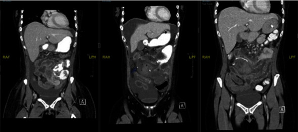
Although fungal infections causing intestinal perforation and necrosis are rare, they can be particularly dangerous in immunosuppressed patients, often leading to increased mortality rates and poor prognoses. Candida species are typically surface fungi, but in patients with compromised immune systems, they can invade the small intestine and cause angioinvasive infections. A case study involving a 30-year-old female with acute myeloid leukemia (AML) illustrates this phenomenon. The patient was presented with symptoms of abdominal pain, fever, diarrhea, recurrent episodes of intestinal necrosis, hematomas due to thrombocytopenia, and subsequent postoperative enterocutaneous fistulas. Extensive testing ruled out other possible causes of intestinal necrosis and enteritis, including Crohn's and CMV diseases. Candida guilliermondi was ultimately identified in blood cultures from the periphery, peritoneal fluid, and intestinal biopsy of respected sections, indicating that it was responsible for intestinal invasion and necrosis. The patient was then treated with amphotericin B, cefepime, and metronidazole. This case highlights the potential severity of fungal infections in immunosuppressed patients, particularly Candida species, and the importance of prompt diagnosis and appropriate treatment.

Abstract Image

Abstract Image

Abstract Image

免疫力低下患者中吉利蒙地念珠菌的诊断和治疗难题:中性粒细胞减少性急性髓细胞白血病患者的病例研究。
虽然真菌感染导致肠穿孔和坏死的情况很少见,但对于免疫抑制患者来说,真菌感染尤其危险,往往会导致死亡率升高和预后不良。念珠菌通常是表面真菌,但在免疫系统受损的患者中,它们可以侵入小肠并引起血管侵袭性感染。一例 30 岁女性急性髓性白血病(AML)患者的病例研究就说明了这一现象。患者出现腹痛、发热、腹泻、反复发作的肠坏死、血小板减少导致的血肿以及术后肠瘘等症状。广泛的检查排除了其他可能导致肠坏死和肠炎的病因,包括克罗恩病和巨细胞病毒病。最终在外周血培养物、腹腔液和肠道活检受尊重切片中发现了 Guilliermondi 念珠菌,表明它是造成肠道入侵和坏死的罪魁祸首。患者随后接受了两性霉素 B、头孢吡肟和甲硝唑治疗。本病例强调了免疫抑制患者真菌感染的潜在严重性,尤其是念珠菌感染,以及及时诊断和适当治疗的重要性。
本文章由计算机程序翻译,如有差异,请以英文原文为准。
求助全文
约1分钟内获得全文 求助全文
来源期刊
自引率
0.00%
发文量
64
审稿时长
13 weeks
×
引用
GB/T 7714-2015
复制
MLA
复制
APA
复制
导出至
BibTeX EndNote RefMan NoteFirst NoteExpress
×
提示
您的信息不完整,为了账户安全,请先补充。
现在去补充
×
提示
您因"违规操作"
具体请查看互助需知
我知道了
×
提示
确定
请完成安全验证×
copy
已复制链接
快去分享给好友吧!
我知道了
右上角分享
点击右上角分享
0
联系我们:info@booksci.cn Book学术提供免费学术资源搜索服务,方便国内外学者检索中英文文献。致力于提供最便捷和优质的服务体验。 Copyright © 2023 布克学术 All rights reserved.
京ICP备2023020795号-1
ghs 京公网安备 11010802042870号
Book学术文献互助
Book学术文献互助群
群 号:604180095
Book学术官方微信