Management of Thrombosis in a Patient with Three Thrombophilic Disorders.

IF 2.7 Q3 HEMATOLOGY
Journal of Blood Medicine Pub Date : 2024-07-24 eCollection Date: 2024-01-01 DOI:10.2147/JBM.S466335
Ana Marco-Rico, Alix Juliette Mantilla Pinilla, Javier Corral, Pascual Marco-Vera
{"title":"Management of Thrombosis in a Patient with Three Thrombophilic Disorders.","authors":"Ana Marco-Rico, Alix Juliette Mantilla Pinilla, Javier Corral, Pascual Marco-Vera","doi":"10.2147/JBM.S466335","DOIUrl":null,"url":null,"abstract":"<p><p>Combined thrombophilia represents 7.8-8.3% of the patients with thrombophilia and confers a higher risk for thrombosis development and recurrence. Here, we present a 17-year-old boy carrier of three congenital thrombophilias, two severe (type I antithrombin deficiency and type I protein S deficiency) and one prothrombotic polymorphism (prothrombin G20210A), all in heterozygosis. He developed an extensive deep venous thrombosis in lower left limb, reaching proximal inferior vena cava and contralateral iliac vein, in the setting of prolonged rest. Endovascular therapy with local thrombolytic agent infusion followed by mechanical thrombectomy was performed, achieving a favorable clinical and radiological evolution. Antithrombin replacement to achieve levels between 80% and 120% with heparin administration was used during the endovascular procedure. The patient is currently asymptomatic and maintains indefinite anticoagulation with warfarin, keeping an appropriate anticoagulation range (international normalized range between 2.5 and 3.5).</p>","PeriodicalId":15166,"journal":{"name":"Journal of Blood Medicine","volume":"15 ","pages":"305-312"},"PeriodicalIF":2.7000,"publicationDate":"2024-07-24","publicationTypes":"Journal Article","fieldsOfStudy":null,"isOpenAccess":false,"openAccessPdf":"https://www.ncbi.nlm.nih.gov/pmc/articles/PMC11283792/pdf/","citationCount":"0","resultStr":null,"platform":"Semanticscholar","paperid":null,"PeriodicalName":"Journal of Blood Medicine","FirstCategoryId":"1085","ListUrlMain":"https://doi.org/10.2147/JBM.S466335","RegionNum":0,"RegionCategory":null,"ArticlePicture":[],"TitleCN":null,"AbstractTextCN":null,"PMCID":null,"EPubDate":"2024/1/1 0:00:00","PubModel":"eCollection","JCR":"Q3","JCRName":"HEMATOLOGY","Score":null,"Total":0}
引用次数: 0

Abstract

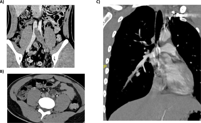
Combined thrombophilia represents 7.8-8.3% of the patients with thrombophilia and confers a higher risk for thrombosis development and recurrence. Here, we present a 17-year-old boy carrier of three congenital thrombophilias, two severe (type I antithrombin deficiency and type I protein S deficiency) and one prothrombotic polymorphism (prothrombin G20210A), all in heterozygosis. He developed an extensive deep venous thrombosis in lower left limb, reaching proximal inferior vena cava and contralateral iliac vein, in the setting of prolonged rest. Endovascular therapy with local thrombolytic agent infusion followed by mechanical thrombectomy was performed, achieving a favorable clinical and radiological evolution. Antithrombin replacement to achieve levels between 80% and 120% with heparin administration was used during the endovascular procedure. The patient is currently asymptomatic and maintains indefinite anticoagulation with warfarin, keeping an appropriate anticoagulation range (international normalized range between 2.5 and 3.5).

Abstract Image

Abstract Image

Abstract Image

一名患有三种嗜血栓性疾病患者的血栓形成管理。
合并血栓性疾病患者占血栓性疾病患者的 7.8%-8.3%,血栓形成和复发的风险较高。这里,我们要介绍的是一名 17 岁男孩,他患有三种先天性血栓性疾病,其中两种为重度(I 型抗凝血酶缺乏症和 I 型蛋白 S 缺乏症),一种为凝血酶原多态性(凝血酶原 G20210A),均为杂合型。在长时间休息的情况下,他的左下肢出现了广泛的深静脉血栓,血栓到达下腔静脉近端和对侧髂静脉。患者接受了局部溶栓的血管内治疗,随后进行了机械性血栓切除术,临床和影像学结果良好。在血管内治疗过程中,使用了抗凝血酶替代物,使肝素水平达到 80% 至 120%。患者目前没有任何症状,仍在使用华法林进行无限期抗凝,并保持适当的抗凝范围(国际正常化范围在 2.5 至 3.5 之间)。
本文章由计算机程序翻译,如有差异,请以英文原文为准。
求助全文
约1分钟内获得全文 求助全文
来源期刊
CiteScore
3.50
自引率
0.00%
发文量
94
审稿时长
16 weeks
期刊介绍: The Journal of Blood Medicine is an international, peer-reviewed, open access, online journal publishing laboratory, experimental and clinical aspects of all topics pertaining to blood based medicine including but not limited to: Transfusion Medicine (blood components, stem cell transplantation, apheresis, gene based therapeutics), Blood collection, Donor issues, Transmittable diseases, and Blood banking logistics, Immunohematology, Artificial and alternative blood based therapeutics, Hematology including disorders/pathology related to leukocytes/immunology, red cells, platelets and hemostasis, Biotechnology/nanotechnology of blood related medicine, Legal aspects of blood medicine, Historical perspectives. Original research, short reports, reviews, case reports and commentaries are invited.
×
引用
GB/T 7714-2015
复制
MLA
复制
APA
复制
导出至
BibTeX EndNote RefMan NoteFirst NoteExpress
×
提示
您的信息不完整,为了账户安全,请先补充。
现在去补充
×
提示
您因"违规操作"
具体请查看互助需知
我知道了
×
提示
确定
请完成安全验证×
copy
已复制链接
快去分享给好友吧!
我知道了
右上角分享
点击右上角分享
0
联系我们:info@booksci.cn Book学术提供免费学术资源搜索服务,方便国内外学者检索中英文文献。致力于提供最便捷和优质的服务体验。 Copyright © 2023 布克学术 All rights reserved.
京ICP备2023020795号-1
ghs 京公网安备 11010802042870号
Book学术文献互助
Book学术文献互助群
群 号:604180095
Book学术官方微信