Ionised hypercalcaemia in a cat with extrahepatic biliary tract obstruction secondary to a bile duct vegetal foreign body.

IF 0.7 Q3 VETERINARY SCIENCES
Journal of Feline Medicine and Surgery Open Reports Pub Date : 2024-07-25 eCollection Date: 2024-07-01 DOI:10.1177/20551169241258635
Diane Pichard, Pauline Bernard, Marion Fenet, Paul Garnier, Sarah Schoffit, Sarah Manzoni, Ghita Benchekroun, Mathieu Manassero, Valérie Freiche
{"title":"Ionised hypercalcaemia in a cat with extrahepatic biliary tract obstruction secondary to a bile duct vegetal foreign body.","authors":"Diane Pichard, Pauline Bernard, Marion Fenet, Paul Garnier, Sarah Schoffit, Sarah Manzoni, Ghita Benchekroun, Mathieu Manassero, Valérie Freiche","doi":"10.1177/20551169241258635","DOIUrl":null,"url":null,"abstract":"<p><strong>Case summary: </strong>A 10-year-old neutered female domestic shorthair cat was presented to our hospital with a 2-day history of anorexia, vomiting and lethargy. The biochemistry panel revealed increased hepatic enzyme activity and serum amyloid A concentration. Haematological values were within reference intervals. An abdominal ultrasound identified a hyperechoic spindle-shaped structure within the common bile duct and a suspected secondary subobstruction, associated with signs of intra- and extrahepatic biliary tract inflammation. During hospitalisation, the cat developed severe and sustained ionised hypercalcaemia. Exploratory surgery was elected as a result of the lack of clinical improvement, despite supportive treatment and suspected retrograde migration of the spindle-shaped structure. Two grass awns were extracted at the junction of an extrahepatic duct and the common bile duct via choledochotomy using intraoperative ultrasound guidance. A stent was then placed in the bile duct to prevent subsequent bile leakage. Histopathology of the liver revealed a moderate neutrophilic and lymphoplasmacytic inflammation with rare bacterial colonies. <i>Escherichia coli</i> was cultured from a bile sample. No specific cause of hypercalcaemia was identified. The cat recovered uneventfully from surgery. Hepatic enzyme activities and hypercalcaemia progressively decreased within a few weeks after surgery and remained within the reference intervals without treatment. Therefore, hypercalcaemia was suspected to be secondary to a foreign body-related granulomatous reaction.</p><p><strong>Relevance and novel information: </strong>To our knowledge, only one other feline case report of biliary tract obstruction secondary to a biliary foreign body has been described in the literature. This is also the first case reporting the use of intraoperative ultrasound to localise a vegetal foreign body within the biliary tract of a cat. This case is also unique because of the onset of hypercalcaemia suspected to be secondary to a foreign body-related granulomatous reaction.</p>","PeriodicalId":36588,"journal":{"name":"Journal of Feline Medicine and Surgery Open Reports","volume":"10 2","pages":"20551169241258635"},"PeriodicalIF":0.7000,"publicationDate":"2024-07-25","publicationTypes":"Journal Article","fieldsOfStudy":null,"isOpenAccess":false,"openAccessPdf":"https://www.ncbi.nlm.nih.gov/pmc/articles/PMC11273566/pdf/","citationCount":"0","resultStr":null,"platform":"Semanticscholar","paperid":null,"PeriodicalName":"Journal of Feline Medicine and Surgery Open Reports","FirstCategoryId":"1085","ListUrlMain":"https://doi.org/10.1177/20551169241258635","RegionNum":0,"RegionCategory":null,"ArticlePicture":[],"TitleCN":null,"AbstractTextCN":null,"PMCID":null,"EPubDate":"2024/7/1 0:00:00","PubModel":"eCollection","JCR":"Q3","JCRName":"VETERINARY SCIENCES","Score":null,"Total":0}
引用次数: 0

Abstract

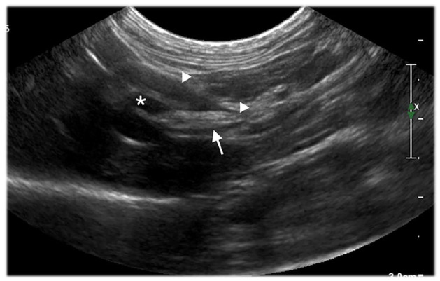
Case summary: A 10-year-old neutered female domestic shorthair cat was presented to our hospital with a 2-day history of anorexia, vomiting and lethargy. The biochemistry panel revealed increased hepatic enzyme activity and serum amyloid A concentration. Haematological values were within reference intervals. An abdominal ultrasound identified a hyperechoic spindle-shaped structure within the common bile duct and a suspected secondary subobstruction, associated with signs of intra- and extrahepatic biliary tract inflammation. During hospitalisation, the cat developed severe and sustained ionised hypercalcaemia. Exploratory surgery was elected as a result of the lack of clinical improvement, despite supportive treatment and suspected retrograde migration of the spindle-shaped structure. Two grass awns were extracted at the junction of an extrahepatic duct and the common bile duct via choledochotomy using intraoperative ultrasound guidance. A stent was then placed in the bile duct to prevent subsequent bile leakage. Histopathology of the liver revealed a moderate neutrophilic and lymphoplasmacytic inflammation with rare bacterial colonies. Escherichia coli was cultured from a bile sample. No specific cause of hypercalcaemia was identified. The cat recovered uneventfully from surgery. Hepatic enzyme activities and hypercalcaemia progressively decreased within a few weeks after surgery and remained within the reference intervals without treatment. Therefore, hypercalcaemia was suspected to be secondary to a foreign body-related granulomatous reaction.

Relevance and novel information: To our knowledge, only one other feline case report of biliary tract obstruction secondary to a biliary foreign body has been described in the literature. This is also the first case reporting the use of intraoperative ultrasound to localise a vegetal foreign body within the biliary tract of a cat. This case is also unique because of the onset of hypercalcaemia suspected to be secondary to a foreign body-related granulomatous reaction.

Abstract Image

Abstract Image

Abstract Image

一只猫因胆管植物性异物继发肝外胆道梗阻而出现电离性高钙血症。
病例摘要:一只 10 岁的绝育雌性短毛猫因厌食、呕吐和嗜睡 2 天前来我院就诊。生化检查显示肝酶活性和血清淀粉样蛋白 A 浓度升高。血液学值在参考范围内。腹部超声波检查发现胆总管内有一个高回声纺锤形结构,疑似继发性胆总管下梗阻,并伴有肝内和肝外胆道炎症症状。住院期间,猫咪出现了严重的持续离子化高钙血症。尽管进行了支持性治疗,但临床症状仍无改善,而且怀疑纺锤形结构逆行移位,因此决定进行探查性手术。在术中超声引导下,通过胆总管切开术在肝外胆管和胆总管交界处提取了两根草芒。然后在胆管中放置了支架,以防止随后的胆汁渗漏。肝脏的组织病理学检查显示有中度的中性粒细胞和淋巴浆细胞炎症,并伴有罕见的细菌菌落。从胆汁样本中培养出大肠杆菌。没有找到导致高钙血症的具体原因。猫咪术后恢复顺利。术后几周内,肝酶活性和高钙血症逐渐下降,并且在未接受治疗的情况下仍保持在参考值范围内。因此,高钙血症被怀疑是继发于异物相关肉芽肿反应:据我们所知,文献中仅有一例猫科动物胆道异物继发胆道梗阻的病例报告。这也是首例报告使用术中超声波定位猫胆道内植物性异物的病例。本病例的独特之处还在于其高钙血症的发生被怀疑是继发于异物相关的肉芽肿反应。
本文章由计算机程序翻译,如有差异,请以英文原文为准。
求助全文
约1分钟内获得全文 求助全文
来源期刊
CiteScore
1.30
自引率
14.30%
发文量
57
审稿时长
15 weeks
×
引用
GB/T 7714-2015
复制
MLA
复制
APA
复制
导出至
BibTeX EndNote RefMan NoteFirst NoteExpress
×
提示
您的信息不完整,为了账户安全,请先补充。
现在去补充
×
提示
您因"违规操作"
具体请查看互助需知
我知道了
×
提示
确定
请完成安全验证×
copy
已复制链接
快去分享给好友吧!
我知道了
右上角分享
点击右上角分享
0
联系我们:info@booksci.cn Book学术提供免费学术资源搜索服务,方便国内外学者检索中英文文献。致力于提供最便捷和优质的服务体验。 Copyright © 2023 布克学术 All rights reserved.
京ICP备2023020795号-1
ghs 京公网安备 11010802042870号
Book学术文献互助
Book学术文献互助群
群 号:604180095
Book学术官方微信