Mouse NOD/Shi and NSY/Hos strains infected with Plasmodium berghei ANKA are models for experimental cerebral malaria.

IF 1.2 4区 农林科学 Q1 VETERINARY SCIENCES
Experimental Animals Pub Date : 2025-01-10 Epub Date: 2024-07-26 DOI:10.1538/expanim.24-0023
Tamio Ohno, Nozomi Iwatake, Yuki Miyasaka
{"title":"Mouse NOD/Shi and NSY/Hos strains infected with Plasmodium berghei ANKA are models for experimental cerebral malaria.","authors":"Tamio Ohno, Nozomi Iwatake, Yuki Miyasaka","doi":"10.1538/expanim.24-0023","DOIUrl":null,"url":null,"abstract":"<p><p>In humans, cerebral malaria is the most common cause of malaria-related mortality. Mouse C57BL/6 (B6) sub-strains are the major model system for experimental cerebral malaria (ECM) as they show similar pathophysiology to human cerebral malaria after infection with the rodent malaria parasite Plasmodium berghei ANKA. This model system has been used to analyze the molecular mechanisms of cerebral malaria. To develop new mouse models, we analyzed the ECM susceptibility of NOD/Shi (NOD) and NSY/Hos (NSY) strains established from the non-inbred ICR strain. Both NOD and NSY strains exhibited clinical symptoms and pathologies similar to ECM in C57BL/6J (B6J) mice and died within 11 days of infection. Thus, the NOD and NSY strains are susceptible to ECM and may be useful as new ECM models. The ECM susceptibility of both strains is suggested to be due to homozygosity for the cerebral malaria susceptibility allele of the ECM susceptible ICR strain. Although analyses using B6 sub-strains have proposed that complement component 5 (C5) plays an important role in ECM pathogenesis, we found that C5 was not essential as the ECM susceptible NOD strain is C5 deficient. Thus, results obtained from B6 sub-strains may not reflect the full picture of ECM in mice. Comparative analyses of multiple ECM models will contribute to a more accurate identification of the factors essential for ECM.</p>","PeriodicalId":12102,"journal":{"name":"Experimental Animals","volume":" ","pages":"31-38"},"PeriodicalIF":1.2000,"publicationDate":"2025-01-10","publicationTypes":"Journal Article","fieldsOfStudy":null,"isOpenAccess":false,"openAccessPdf":"https://www.ncbi.nlm.nih.gov/pmc/articles/PMC11742482/pdf/","citationCount":"0","resultStr":null,"platform":"Semanticscholar","paperid":null,"PeriodicalName":"Experimental Animals","FirstCategoryId":"3","ListUrlMain":"https://doi.org/10.1538/expanim.24-0023","RegionNum":4,"RegionCategory":"农林科学","ArticlePicture":[],"TitleCN":null,"AbstractTextCN":null,"PMCID":null,"EPubDate":"2024/7/26 0:00:00","PubModel":"Epub","JCR":"Q1","JCRName":"VETERINARY SCIENCES","Score":null,"Total":0}
引用次数: 0

Abstract

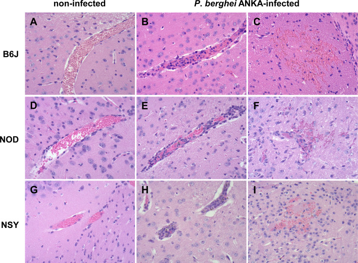
In humans, cerebral malaria is the most common cause of malaria-related mortality. Mouse C57BL/6 (B6) sub-strains are the major model system for experimental cerebral malaria (ECM) as they show similar pathophysiology to human cerebral malaria after infection with the rodent malaria parasite Plasmodium berghei ANKA. This model system has been used to analyze the molecular mechanisms of cerebral malaria. To develop new mouse models, we analyzed the ECM susceptibility of NOD/Shi (NOD) and NSY/Hos (NSY) strains established from the non-inbred ICR strain. Both NOD and NSY strains exhibited clinical symptoms and pathologies similar to ECM in C57BL/6J (B6J) mice and died within 11 days of infection. Thus, the NOD and NSY strains are susceptible to ECM and may be useful as new ECM models. The ECM susceptibility of both strains is suggested to be due to homozygosity for the cerebral malaria susceptibility allele of the ECM susceptible ICR strain. Although analyses using B6 sub-strains have proposed that complement component 5 (C5) plays an important role in ECM pathogenesis, we found that C5 was not essential as the ECM susceptible NOD strain is C5 deficient. Thus, results obtained from B6 sub-strains may not reflect the full picture of ECM in mice. Comparative analyses of multiple ECM models will contribute to a more accurate identification of the factors essential for ECM.

Abstract Image

Abstract Image

Abstract Image

小鼠 NOD/Shi 和 NSY/Hos 株感染了伯格氏疟原虫 ANKA,是实验性脑疟疾的模型。
在人类中,脑疟疾是与疟疾相关的最常见死亡原因。小鼠 C57BL/6(B6)亚株是实验性脑疟疾(ECM)的主要模型系统,因为它们在感染啮齿类动物疟原虫伯格希氏疟原虫 ANKA 后表现出与人类脑疟疾相似的病理生理学。这一模型系统已被用于分析脑疟疾的分子机制。为了开发新的小鼠模型,我们分析了由非近交ICR品系建立的NOD/Shi(NOD)和NSY/Hos(NSY)品系对ECM的易感性。NOD 和 NSY 品系均表现出与 C57BL/6J (B6J) 小鼠 ECM 相似的临床症状和病理变化,并在感染后 11 天内死亡。因此,NOD 和 NSY 株系对 ECM 易感,可作为新的 ECM 模型。这两个品系对 ECM 的易感性可能是由于对 ECM 易感的 ICR 品系的脑疟疾易感性等位基因的同源遗传所致。尽管使用 B6 亚菌株进行的分析表明,补体成分 5(C5)在 ECM 致病机制中发挥着重要作用,但我们发现 C5 并非必不可少,因为对 ECM 易感的 NOD 菌株缺乏 C5。因此,从 B6 亚品系获得的结果可能无法反映小鼠 ECM 的全貌。对多种 ECM 模型进行比较分析将有助于更准确地确定 ECM 的关键因素。
本文章由计算机程序翻译,如有差异,请以英文原文为准。
求助全文
约1分钟内获得全文 求助全文
来源期刊
Experimental Animals
Experimental Animals 生物-动物学
CiteScore
2.80
自引率
4.20%
发文量
2
审稿时长
3 months
期刊介绍: The aim of this international journal is to accelerate progress in laboratory animal experimentation and disseminate relevant information in related areas through publication of peer reviewed Original papers and Review articles. The journal covers basic to applied biomedical research centering around use of experimental animals and also covers topics related to experimental animals such as technology, management, and animal welfare.
×
引用
GB/T 7714-2015
复制
MLA
复制
APA
复制
导出至
BibTeX EndNote RefMan NoteFirst NoteExpress
×
提示
您的信息不完整,为了账户安全,请先补充。
现在去补充
×
提示
您因"违规操作"
具体请查看互助需知
我知道了
×
提示
确定
请完成安全验证×
copy
已复制链接
快去分享给好友吧!
我知道了
右上角分享
点击右上角分享
0
联系我们:info@booksci.cn Book学术提供免费学术资源搜索服务,方便国内外学者检索中英文文献。致力于提供最便捷和优质的服务体验。 Copyright © 2023 布克学术 All rights reserved.
京ICP备2023020795号-1
ghs 京公网安备 11010802042870号
Book学术文献互助
Book学术文献互助群
群 号:604180095
Book学术官方微信