Nivolumab plus ipilimumab with chemotherapy in metastatic NSCLC: minireview and a case study of a patient negative for PD-L1.

IF 2.8 Q2 Pharmacology, Toxicology and Pharmaceutics
Drugs in Context Pub Date : 2024-07-19 eCollection Date: 2024-01-01 DOI:10.7573/dic.2024-5-3
Alessandro Morabito
{"title":"Nivolumab plus ipilimumab with chemotherapy in metastatic NSCLC: minireview and a case study of a patient negative for PD-L1.","authors":"Alessandro Morabito","doi":"10.7573/dic.2024-5-3","DOIUrl":null,"url":null,"abstract":"<p><p>The advent of immunotherapy, and in particular the use of immune-checkpoint inhibitors, has profoundly revolutionized the treatment of different cancers, including lung cancer. The use of immune-checkpoint inhibitors has prolonged survival in lung cancer with a strong benefit in a significant percentage of patients with non-small-cell lung cancer. Here, a clinical case of a patient who, despite testing negative for PD-L1, displayed a sustained complete response to immunotherapy treatment in advanced metastatic non-small-cell lung cancer is presented. Additionally, recent findings concerning the application of immunotherapy in this context are reviewed.</p>","PeriodicalId":11362,"journal":{"name":"Drugs in Context","volume":"13 ","pages":""},"PeriodicalIF":2.8000,"publicationDate":"2024-07-19","publicationTypes":"Journal Article","fieldsOfStudy":null,"isOpenAccess":false,"openAccessPdf":"https://www.ncbi.nlm.nih.gov/pmc/articles/PMC11281098/pdf/","citationCount":"0","resultStr":null,"platform":"Semanticscholar","paperid":null,"PeriodicalName":"Drugs in Context","FirstCategoryId":"1085","ListUrlMain":"https://doi.org/10.7573/dic.2024-5-3","RegionNum":0,"RegionCategory":null,"ArticlePicture":[],"TitleCN":null,"AbstractTextCN":null,"PMCID":null,"EPubDate":"2024/1/1 0:00:00","PubModel":"eCollection","JCR":"Q2","JCRName":"Pharmacology, Toxicology and Pharmaceutics","Score":null,"Total":0}
引用次数: 0

Abstract

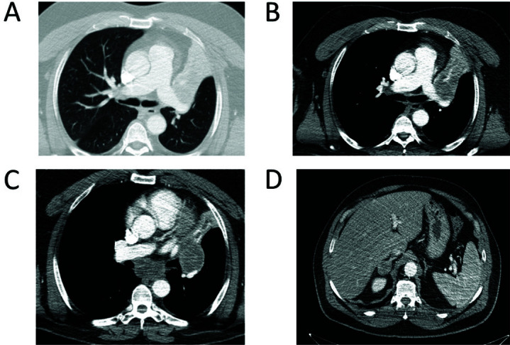
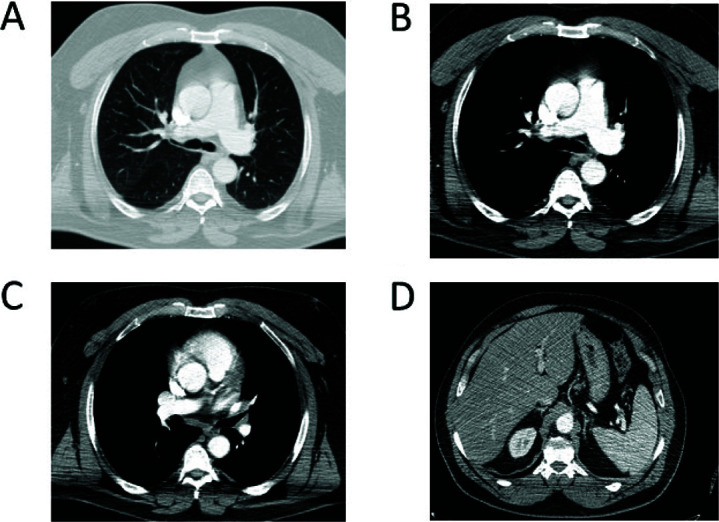
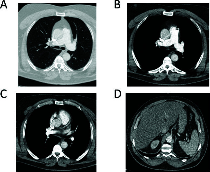
The advent of immunotherapy, and in particular the use of immune-checkpoint inhibitors, has profoundly revolutionized the treatment of different cancers, including lung cancer. The use of immune-checkpoint inhibitors has prolonged survival in lung cancer with a strong benefit in a significant percentage of patients with non-small-cell lung cancer. Here, a clinical case of a patient who, despite testing negative for PD-L1, displayed a sustained complete response to immunotherapy treatment in advanced metastatic non-small-cell lung cancer is presented. Additionally, recent findings concerning the application of immunotherapy in this context are reviewed.

Abstract Image

Abstract Image

Abstract Image

Nivolumab+ipilimumab 联合化疗治疗转移性 NSCLC:迷你视图和一例 PD-L1 阴性患者的病例研究。
免疫疗法的出现,尤其是免疫检查点抑制剂的使用,给包括肺癌在内的各种癌症的治疗带来了深刻的变革。免疫检查点抑制剂的使用延长了肺癌患者的生存期,使相当一部分非小细胞肺癌患者受益匪浅。本文介绍了一例晚期转移性非小细胞肺癌患者的临床病例,该患者尽管PD-L1检测结果为阴性,但却对免疫疗法治疗表现出了持续的完全应答。此外,还回顾了免疫疗法在这方面应用的最新研究成果。
本文章由计算机程序翻译,如有差异,请以英文原文为准。
求助全文
约1分钟内获得全文 求助全文
来源期刊
Drugs in Context
Drugs in Context Medicine-Medicine (all)
CiteScore
5.90
自引率
0.00%
发文量
63
审稿时长
9 weeks
期刊介绍: Covers all phases of original research: laboratory, animal and human/clinical studies, health economics and outcomes research, and postmarketing studies. Original research that shows positive or negative results are welcomed. Invited review articles may cover single-drug reviews, drug class reviews, latest advances in drug therapy, therapeutic-area reviews, place-in-therapy reviews, new pathways and classes of drugs. In addition, systematic reviews and meta-analyses are welcomed and may be published as original research if performed per accepted guidelines. Editorials of key topics and issues in drugs and therapeutics are welcomed. The Editor-in-Chief will also consider manuscripts of interest in areas such as technologies that support diagnosis, assessment and treatment. EQUATOR Network reporting guidelines should be followed for each article type. GPP3 Guidelines should be followed for any industry-sponsored manuscripts. Other Editorial sections may include Editorial, Case Report, Conference Report, Letter-to-the-Editor, Educational Section.
×
引用
GB/T 7714-2015
复制
MLA
复制
APA
复制
导出至
BibTeX EndNote RefMan NoteFirst NoteExpress
×
提示
您的信息不完整,为了账户安全,请先补充。
现在去补充
×
提示
您因"违规操作"
具体请查看互助需知
我知道了
×
提示
确定
请完成安全验证×
copy
已复制链接
快去分享给好友吧!
我知道了
右上角分享
点击右上角分享
0
联系我们:info@booksci.cn Book学术提供免费学术资源搜索服务,方便国内外学者检索中英文文献。致力于提供最便捷和优质的服务体验。 Copyright © 2023 布克学术 All rights reserved.
京ICP备2023020795号-1
ghs 京公网安备 11010802042870号
Book学术文献互助
Book学术文献互助群
群 号:604180095
Book学术官方微信