Novel Intraoperative and Pathological Findings Related to Computed Tomography Angiography Spot Signs in Intracerebral Hemorrhage Patients: A Case Report.

IF 0.6 Q3 MEDICINE, GENERAL & INTERNAL
Clinical Medicine Insights. Case Reports Pub Date : 2024-07-27 eCollection Date: 2024-01-01 DOI:10.1177/11795476241265275
Qiang Zhang, Zhi Chen, Yujie Chen, Zhouyang Jiang, Wenyan Li, Yingpei Li, Zhuo Yao, Wenchao Fu, Yanyu Fang, Mo Li, Yin Niu
{"title":"Novel Intraoperative and Pathological Findings Related to Computed Tomography Angiography Spot Signs in Intracerebral Hemorrhage Patients: A Case Report.","authors":"Qiang Zhang, Zhi Chen, Yujie Chen, Zhouyang Jiang, Wenyan Li, Yingpei Li, Zhuo Yao, Wenchao Fu, Yanyu Fang, Mo Li, Yin Niu","doi":"10.1177/11795476241265275","DOIUrl":null,"url":null,"abstract":"<p><strong>Introduction: </strong>A spot sign on computed tomography angiography (CTA) scan is a widely recognized radiographic indicator of primary intracerebral hemorrhage (ICH) used to predict early hematoma expansion. Nonetheless, recent multicenter studies have indicated that its predictive value for hematoma expansion is not as significant as previously stated. Therefore, identifying the reasons for the poor performance of these studies is imperative.</p><p><strong>Case presentation: </strong>A 48-year-old man presented with a 9-hour history of alalia and right limb hemiplegia. Noncontrast computed tomography (CT) revealed a hematoma in the left frontal lobe, while CTA showed a spot sign within the hematoma, leading to a diagnosis of frontal lobe hemorrhage. During the surgical procedure, a blood clot was removed, revealing the presence of 3 mm of saccular tissue resembling an aneurysm. The process of exposing its complete form resulted in its rupture and bleeding. The location of this tissue at the top of the hematoma cavity corresponded to the CTA spot sign. Pathological examination confirmed that the characteristics of the tissue wall were consistent with those of a pseudoaneurysm.</p><p><strong>Conclusion: </strong>This case suggests that more stringent identification criteria should be established in studies predicting ICH expansion using the spot sign on CTA to differentiate and exclude pseudoaneurysms, thereby improving the accuracy of predicting early hematoma expansion using the CTA spot sign.</p>","PeriodicalId":10357,"journal":{"name":"Clinical Medicine Insights. Case Reports","volume":"17 ","pages":"11795476241265275"},"PeriodicalIF":0.6000,"publicationDate":"2024-07-27","publicationTypes":"Journal Article","fieldsOfStudy":null,"isOpenAccess":false,"openAccessPdf":"https://www.ncbi.nlm.nih.gov/pmc/articles/PMC11283649/pdf/","citationCount":"0","resultStr":null,"platform":"Semanticscholar","paperid":null,"PeriodicalName":"Clinical Medicine Insights. Case Reports","FirstCategoryId":"1085","ListUrlMain":"https://doi.org/10.1177/11795476241265275","RegionNum":0,"RegionCategory":null,"ArticlePicture":[],"TitleCN":null,"AbstractTextCN":null,"PMCID":null,"EPubDate":"2024/1/1 0:00:00","PubModel":"eCollection","JCR":"Q3","JCRName":"MEDICINE, GENERAL & INTERNAL","Score":null,"Total":0}
引用次数: 0

Abstract

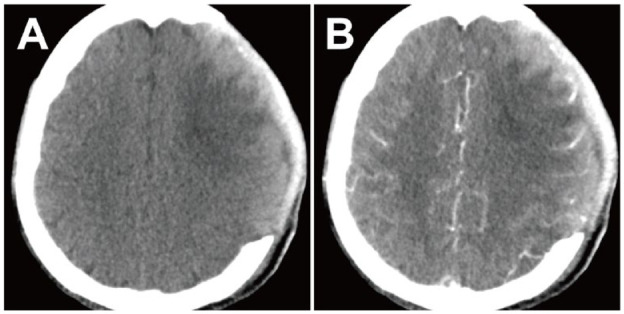
Introduction: A spot sign on computed tomography angiography (CTA) scan is a widely recognized radiographic indicator of primary intracerebral hemorrhage (ICH) used to predict early hematoma expansion. Nonetheless, recent multicenter studies have indicated that its predictive value for hematoma expansion is not as significant as previously stated. Therefore, identifying the reasons for the poor performance of these studies is imperative.

Case presentation: A 48-year-old man presented with a 9-hour history of alalia and right limb hemiplegia. Noncontrast computed tomography (CT) revealed a hematoma in the left frontal lobe, while CTA showed a spot sign within the hematoma, leading to a diagnosis of frontal lobe hemorrhage. During the surgical procedure, a blood clot was removed, revealing the presence of 3 mm of saccular tissue resembling an aneurysm. The process of exposing its complete form resulted in its rupture and bleeding. The location of this tissue at the top of the hematoma cavity corresponded to the CTA spot sign. Pathological examination confirmed that the characteristics of the tissue wall were consistent with those of a pseudoaneurysm.

Conclusion: This case suggests that more stringent identification criteria should be established in studies predicting ICH expansion using the spot sign on CTA to differentiate and exclude pseudoaneurysms, thereby improving the accuracy of predicting early hematoma expansion using the CTA spot sign.

Abstract Image

Abstract Image

Abstract Image

与脑出血患者计算机断层扫描血管造影斑点征相关的术中和病理新发现:病例报告。
简介:计算机断层扫描血管造影(CTA)扫描上的斑点征是公认的原发性脑内出血(ICH)的影像学指标,用于预测早期血肿扩大。然而,最近的多中心研究表明,其对血肿扩大的预测价值并不像之前所说的那样显著。因此,找出这些研究效果不佳的原因势在必行:病例介绍:一名 48 岁的男性,因 9 小时前出现腹痛和右侧肢体偏瘫而就诊。非对比计算机断层扫描(CT)显示左侧额叶有血肿,而 CTA 显示血肿内有斑点征,因此诊断为额叶出血。在手术过程中,清除了血块,发现了 3 毫米的类似动脉瘤的囊状组织。暴露其完整形态的过程导致其破裂和出血。该组织在血肿腔顶部的位置与 CTA 点征相符。病理检查证实,组织壁的特征与假性动脉瘤一致:本病例提示,在利用 CTA 点征预测 ICH 扩大的研究中,应制定更严格的鉴别标准,以区分和排除假性动脉瘤,从而提高利用 CTA 点征预测早期血肿扩大的准确性。
本文章由计算机程序翻译,如有差异,请以英文原文为准。
求助全文
约1分钟内获得全文 求助全文
来源期刊
Clinical Medicine Insights. Case Reports
Clinical Medicine Insights. Case Reports MEDICINE, GENERAL & INTERNAL-
CiteScore
1.10
自引率
0.00%
发文量
57
审稿时长
8 weeks
×
引用
GB/T 7714-2015
复制
MLA
复制
APA
复制
导出至
BibTeX EndNote RefMan NoteFirst NoteExpress
×
提示
您的信息不完整,为了账户安全,请先补充。
现在去补充
×
提示
您因"违规操作"
具体请查看互助需知
我知道了
×
提示
确定
请完成安全验证×
copy
已复制链接
快去分享给好友吧!
我知道了
右上角分享
点击右上角分享
0
联系我们:info@booksci.cn Book学术提供免费学术资源搜索服务,方便国内外学者检索中英文文献。致力于提供最便捷和优质的服务体验。 Copyright © 2023 布克学术 All rights reserved.
京ICP备2023020795号-1
ghs 京公网安备 11010802042870号
Book学术文献互助
Book学术文献互助群
群 号:604180095
Book学术官方微信