Delivery-First Strategy Followed by Endovascular Repair to Treat Pregnant Woman With Acute Complicated Type B Aortic Dissection.

IF 0.6 Q3 MEDICINE, GENERAL & INTERNAL
Clinical Medicine Insights. Case Reports Pub Date : 2024-07-27 eCollection Date: 2024-01-01 DOI:10.1177/11795476241265270
Chen Ming Huang, Chen-Hua Wang, Hao-Chin Wang, Yi-Ting Chuang, Shu-Yi Sung, Chi-Yuan Liao
{"title":"Delivery-First Strategy Followed by Endovascular Repair to Treat Pregnant Woman With Acute Complicated Type B Aortic Dissection.","authors":"Chen Ming Huang, Chen-Hua Wang, Hao-Chin Wang, Yi-Ting Chuang, Shu-Yi Sung, Chi-Yuan Liao","doi":"10.1177/11795476241265270","DOIUrl":null,"url":null,"abstract":"<p><strong>Objective: </strong>Aortic dissection, a rare but serious condition, requires timely diagnosis and treatment.</p><p><strong>Case report: </strong>A case report involving a 33-year-old female with Stanford type B aortic dissection at 32 + 3 weeks gestational age highlights the importance of being alert to the symptoms and signs of this condition, particularly in patients with hypertension or a history of connective tissue disorders. The case report suggests a delivery first strategy followed by TEVAR procedure as the preferred approach for managing aortic dissection in pregnancy. This approach can alleviate pressure on the aorta, reduce the risk of rupture, and provide time for stabilization and preparation for the TEVAR procedure.</p><p><strong>Conclusion: </strong>The case report emphasizes the criticality of recognizing and treating aortic dissection in pregnant patients promptly, given its potential life-threatening impact on both mother and fetus.</p>","PeriodicalId":10357,"journal":{"name":"Clinical Medicine Insights. Case Reports","volume":"17 ","pages":"11795476241265270"},"PeriodicalIF":0.6000,"publicationDate":"2024-07-27","publicationTypes":"Journal Article","fieldsOfStudy":null,"isOpenAccess":false,"openAccessPdf":"https://www.ncbi.nlm.nih.gov/pmc/articles/PMC11283656/pdf/","citationCount":"0","resultStr":null,"platform":"Semanticscholar","paperid":null,"PeriodicalName":"Clinical Medicine Insights. Case Reports","FirstCategoryId":"1085","ListUrlMain":"https://doi.org/10.1177/11795476241265270","RegionNum":0,"RegionCategory":null,"ArticlePicture":[],"TitleCN":null,"AbstractTextCN":null,"PMCID":null,"EPubDate":"2024/1/1 0:00:00","PubModel":"eCollection","JCR":"Q3","JCRName":"MEDICINE, GENERAL & INTERNAL","Score":null,"Total":0}
引用次数: 0

Abstract

Objective: Aortic dissection, a rare but serious condition, requires timely diagnosis and treatment.

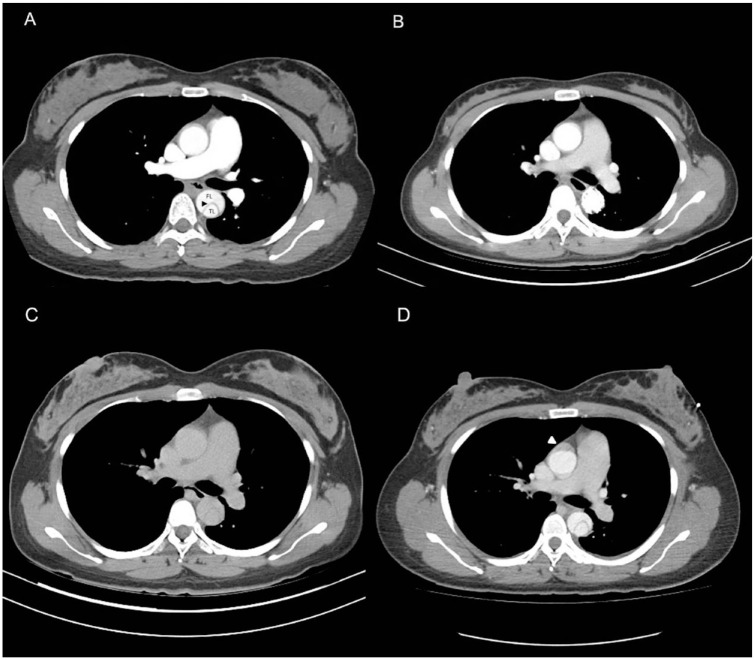
Case report: A case report involving a 33-year-old female with Stanford type B aortic dissection at 32 + 3 weeks gestational age highlights the importance of being alert to the symptoms and signs of this condition, particularly in patients with hypertension or a history of connective tissue disorders. The case report suggests a delivery first strategy followed by TEVAR procedure as the preferred approach for managing aortic dissection in pregnancy. This approach can alleviate pressure on the aorta, reduce the risk of rupture, and provide time for stabilization and preparation for the TEVAR procedure.

Conclusion: The case report emphasizes the criticality of recognizing and treating aortic dissection in pregnant patients promptly, given its potential life-threatening impact on both mother and fetus.

Abstract Image

Abstract Image

Abstract Image

采用先分娩后血管内修复的策略治疗急性并发 B 型主动脉夹层孕妇。
目的:主动脉夹层是一种罕见但严重的疾病,需要及时诊断和治疗:主动脉夹层是一种罕见但严重的疾病,需要及时诊断和治疗:一份涉及一名 33 岁女性的病例报告显示,她在孕 32+3 周时患有斯坦福 B 型主动脉夹层,该病例报告强调了警惕这种疾病症状和体征的重要性,尤其是对于患有高血压或结缔组织病史的患者。该病例报告建议,在处理妊娠期主动脉夹层时,首选先分娩后 TEVAR 的策略。这种方法可以减轻主动脉的压力,降低破裂的风险,并为稳定病情和准备 TEVAR 手术提供时间:本病例报告强调了及时识别和治疗妊娠期主动脉夹层的重要性,因为主动脉夹层可能会危及母亲和胎儿的生命。
本文章由计算机程序翻译,如有差异,请以英文原文为准。
求助全文
约1分钟内获得全文 求助全文
来源期刊
Clinical Medicine Insights. Case Reports
Clinical Medicine Insights. Case Reports MEDICINE, GENERAL & INTERNAL-
CiteScore
1.10
自引率
0.00%
发文量
57
审稿时长
8 weeks
×
引用
GB/T 7714-2015
复制
MLA
复制
APA
复制
导出至
BibTeX EndNote RefMan NoteFirst NoteExpress
×
提示
您的信息不完整,为了账户安全,请先补充。
现在去补充
×
提示
您因"违规操作"
具体请查看互助需知
我知道了
×
提示
确定
请完成安全验证×
copy
已复制链接
快去分享给好友吧!
我知道了
右上角分享
点击右上角分享
0
联系我们:info@booksci.cn Book学术提供免费学术资源搜索服务,方便国内外学者检索中英文文献。致力于提供最便捷和优质的服务体验。 Copyright © 2023 布克学术 All rights reserved.
京ICP备2023020795号-1
ghs 京公网安备 11010802042870号
Book学术文献互助
Book学术文献互助群
群 号:604180095
Book学术官方微信