Intrauterine device (IUD) migration to the fallopian tube: a rare location for a translocated IUD with no visceral injury.

IF 1.9 Q2 OBSTETRICS & GYNECOLOGY
Peter Joseph Wangwe, Najma Awadh, Magreth Angelus
{"title":"Intrauterine device (IUD) migration to the fallopian tube: a rare location for a translocated IUD with no visceral injury.","authors":"Peter Joseph Wangwe, Najma Awadh, Magreth Angelus","doi":"10.1186/s40834-024-00278-8","DOIUrl":null,"url":null,"abstract":"<p><strong>Background: </strong>Loss of Intra Uterine Device (IUD) following silent perforation of the uterus either during or after IUD insertion is an uncommon finding due to a lack of immediate follow-up. We report a rare case in which uterine perforation following the migration of IUD to the right fallopian tube without visceral injury. The patient presented with lower abdominal pain and pain during sex for one year since IUD insertion. On examination, we noted tenderness on the right suprapubic region and on speculum examination, no IUD thread was seen. A radiological pelvic examination showed an empty uterus without an IUD. Laparotomy and retrieval of migrated IUD was done followed by repair of perforated uterus.</p><p><strong>Conclusion: </strong>Migrated IUD with silent uterine perforation without visceral injury is a distressing clinical condition both to the patient and the clinician. This case is reported to increase awareness in doing immediate vaginal examination and pelvic ultrasound post-IUD insertion.</p>","PeriodicalId":93956,"journal":{"name":"Contraception and reproductive medicine","volume":"9 1","pages":"36"},"PeriodicalIF":1.9000,"publicationDate":"2024-07-25","publicationTypes":"Journal Article","fieldsOfStudy":null,"isOpenAccess":false,"openAccessPdf":"https://www.ncbi.nlm.nih.gov/pmc/articles/PMC11270885/pdf/","citationCount":"0","resultStr":null,"platform":"Semanticscholar","paperid":null,"PeriodicalName":"Contraception and reproductive medicine","FirstCategoryId":"1085","ListUrlMain":"https://doi.org/10.1186/s40834-024-00278-8","RegionNum":0,"RegionCategory":null,"ArticlePicture":[],"TitleCN":null,"AbstractTextCN":null,"PMCID":null,"EPubDate":"","PubModel":"","JCR":"Q2","JCRName":"OBSTETRICS & GYNECOLOGY","Score":null,"Total":0}
引用次数: 0

Abstract

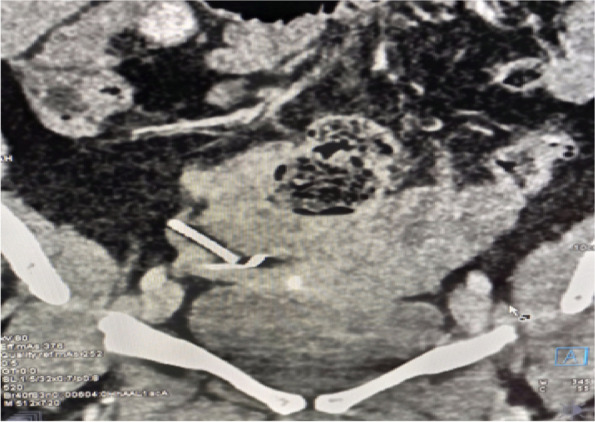
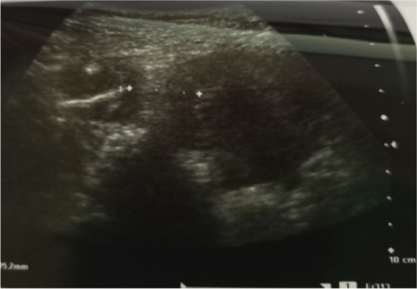
Background: Loss of Intra Uterine Device (IUD) following silent perforation of the uterus either during or after IUD insertion is an uncommon finding due to a lack of immediate follow-up. We report a rare case in which uterine perforation following the migration of IUD to the right fallopian tube without visceral injury. The patient presented with lower abdominal pain and pain during sex for one year since IUD insertion. On examination, we noted tenderness on the right suprapubic region and on speculum examination, no IUD thread was seen. A radiological pelvic examination showed an empty uterus without an IUD. Laparotomy and retrieval of migrated IUD was done followed by repair of perforated uterus.

Conclusion: Migrated IUD with silent uterine perforation without visceral injury is a distressing clinical condition both to the patient and the clinician. This case is reported to increase awareness in doing immediate vaginal examination and pelvic ultrasound post-IUD insertion.

Abstract Image

Abstract Image

Abstract Image

宫内节育器(IUD)移位至输卵管:宫内节育器移位且无内脏损伤的罕见部位。
背景:在放置宫内节育器期间或之后发生子宫无声穿孔,导致宫内节育器(IUD)脱落,这种情况并不常见,因为缺乏即时随访。我们报告了一例宫内节育器移位至右侧输卵管导致子宫穿孔且无内脏损伤的罕见病例。患者在放置宫内节育器一年后出现下腹痛和性生活疼痛。检查时,我们发现右侧耻骨上区有触痛,窥器检查未见宫内节育器线头。盆腔放射检查显示子宫空虚,未见宫内节育器。腹腔镜手术取出了移位的宫内节育器,随后对穿孔的子宫进行了修补:结论:宫内节育器移位伴无声子宫穿孔且无内脏损伤,对患者和临床医生来说都是一种令人痛苦的临床症状。本病例的报告旨在提高人们对放置宫内节育器后立即进行阴道检查和盆腔超声检查的认识。
本文章由计算机程序翻译,如有差异,请以英文原文为准。
求助全文
约1分钟内获得全文 求助全文
来源期刊
自引率
0.00%
发文量
0
审稿时长
12 weeks
×
引用
GB/T 7714-2015
复制
MLA
复制
APA
复制
导出至
BibTeX EndNote RefMan NoteFirst NoteExpress
×
提示
您的信息不完整,为了账户安全,请先补充。
现在去补充
×
提示
您因"违规操作"
具体请查看互助需知
我知道了
×
提示
确定
请完成安全验证×
copy
已复制链接
快去分享给好友吧!
我知道了
右上角分享
点击右上角分享
0
联系我们:info@booksci.cn Book学术提供免费学术资源搜索服务,方便国内外学者检索中英文文献。致力于提供最便捷和优质的服务体验。 Copyright © 2023 布克学术 All rights reserved.
京ICP备2023020795号-1
ghs 京公网安备 11010802042870号
Book学术文献互助
Book学术文献互助群
群 号:604180095
Book学术官方微信