EBV Positive Diffuse Large B Cell Lymphoma with Negative Pan-B Cell Markers, Case Report, and Literature Review.

IF 0.7 Q4 HEMATOLOGY
Case Reports in Hematology Pub Date : 2024-07-18 eCollection Date: 2024-01-01 DOI:10.1155/2024/4803071
Janna Shold, Lea Jukic, Daniel Farrell, Wei Cui, Da Zhang
{"title":"EBV Positive Diffuse Large B Cell Lymphoma with Negative Pan-B Cell Markers, Case Report, and Literature Review.","authors":"Janna Shold, Lea Jukic, Daniel Farrell, Wei Cui, Da Zhang","doi":"10.1155/2024/4803071","DOIUrl":null,"url":null,"abstract":"<p><p>Most B cell lymphomas are positive for one or more B cell markers including CD19, CD20, CD79a, or PAX5. However, rare cases of mature B cell lymphoma not expressing any B cell markers have been characterized and recognized as distinct diagnostic entities by current classification guidelines, including plasmablastic lymphoma, primary effusion lymphoma, and ALK-positive large B cell lymphoma. We present a case of pan-B cell marker negative, EBV positive diffuse large B cell lymphoma that is positive for OCT2, BOB1, and clonal immunoglobulin gene rearrangement that does not meet diagnostic criteria for any B cell lymphoma by current 4<sup>th</sup> and 5<sup>th</sup> Ed beta version WHO Hematolymphoid Tumors classification. In challenging cases like the one presented, utilizing OCT2 and BOB1 immunohistochemical stains can assist in determining B cell lineage. The WHO tumor classification system should consider adding OCT2 and BOB1 as alternative B cell lineage markers into their corresponding categories.</p>","PeriodicalId":46307,"journal":{"name":"Case Reports in Hematology","volume":"2024 ","pages":"4803071"},"PeriodicalIF":0.7000,"publicationDate":"2024-07-18","publicationTypes":"Journal Article","fieldsOfStudy":null,"isOpenAccess":false,"openAccessPdf":"https://www.ncbi.nlm.nih.gov/pmc/articles/PMC11272396/pdf/","citationCount":"0","resultStr":null,"platform":"Semanticscholar","paperid":null,"PeriodicalName":"Case Reports in Hematology","FirstCategoryId":"1085","ListUrlMain":"https://doi.org/10.1155/2024/4803071","RegionNum":0,"RegionCategory":null,"ArticlePicture":[],"TitleCN":null,"AbstractTextCN":null,"PMCID":null,"EPubDate":"2024/1/1 0:00:00","PubModel":"eCollection","JCR":"Q4","JCRName":"HEMATOLOGY","Score":null,"Total":0}
引用次数: 0

Abstract

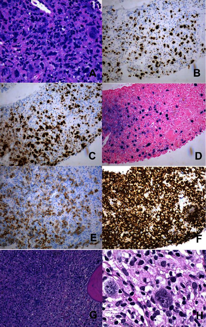
Most B cell lymphomas are positive for one or more B cell markers including CD19, CD20, CD79a, or PAX5. However, rare cases of mature B cell lymphoma not expressing any B cell markers have been characterized and recognized as distinct diagnostic entities by current classification guidelines, including plasmablastic lymphoma, primary effusion lymphoma, and ALK-positive large B cell lymphoma. We present a case of pan-B cell marker negative, EBV positive diffuse large B cell lymphoma that is positive for OCT2, BOB1, and clonal immunoglobulin gene rearrangement that does not meet diagnostic criteria for any B cell lymphoma by current 4th and 5th Ed beta version WHO Hematolymphoid Tumors classification. In challenging cases like the one presented, utilizing OCT2 and BOB1 immunohistochemical stains can assist in determining B cell lineage. The WHO tumor classification system should consider adding OCT2 and BOB1 as alternative B cell lineage markers into their corresponding categories.

Abstract Image

Abstract Image

EBV阳性弥漫大B细胞淋巴瘤,泛B细胞标志物阴性,病例报告和文献综述。
大多数 B 细胞淋巴瘤的一种或多种 B 细胞标志物呈阳性,包括 CD19、CD20、CD79a 或 PAX5。然而,罕见的不表达任何B细胞标志物的成熟B细胞淋巴瘤病例已被定性,并被目前的分类指南认定为不同的诊断实体,包括浆细胞淋巴瘤、原发性渗出淋巴瘤和ALK阳性大B细胞淋巴瘤。我们介绍了一例泛B细胞标志物阴性、EB病毒阳性的弥漫大B细胞淋巴瘤,该淋巴瘤的OCT2、BOB1和克隆免疫球蛋白基因重排均呈阳性,但不符合目前第4版和第5版测试版WHO血液淋巴肿瘤分类中任何B细胞淋巴瘤的诊断标准。对于像本病例这样具有挑战性的病例,利用 OCT2 和 BOB1 免疫组化染色可帮助确定 B 细胞系。世卫组织肿瘤分类系统应考虑将 OCT2 和 BOB1 作为替代 B 细胞系标志物加入其相应类别中。
本文章由计算机程序翻译,如有差异,请以英文原文为准。
求助全文
约1分钟内获得全文 求助全文
来源期刊
自引率
0.00%
发文量
51
审稿时长
13 weeks
×
引用
GB/T 7714-2015
复制
MLA
复制
APA
复制
导出至
BibTeX EndNote RefMan NoteFirst NoteExpress
×
提示
您的信息不完整,为了账户安全,请先补充。
现在去补充
×
提示
您因"违规操作"
具体请查看互助需知
我知道了
×
提示
确定
请完成安全验证×
copy
已复制链接
快去分享给好友吧!
我知道了
右上角分享
点击右上角分享
0
联系我们:info@booksci.cn Book学术提供免费学术资源搜索服务,方便国内外学者检索中英文文献。致力于提供最便捷和优质的服务体验。 Copyright © 2023 布克学术 All rights reserved.
京ICP备2023020795号-1
ghs 京公网安备 11010802042870号
Book学术文献互助
Book学术文献互助群
群 号:604180095
Book学术官方微信