Major aortopulmonary collateral arteries: clinical, echocardiographic, and radiologic characteristics.

Polish journal of radiology Pub Date : 2024-06-17 eCollection Date: 2024-01-01 DOI:10.5114/pjr/188331
Alexander Suchodolski, Karol Wielgus, Mateusz Strojek, Mariola Szulik, Jan Głowacki
{"title":"Major aortopulmonary collateral arteries: clinical, echocardiographic, and radiologic characteristics.","authors":"Alexander Suchodolski, Karol Wielgus, Mateusz Strojek, Mariola Szulik, Jan Głowacki","doi":"10.5114/pjr/188331","DOIUrl":null,"url":null,"abstract":"<p><strong>Purpose: </strong>Major aortopulmonary collateral arteries (MAPCAs) are rare congenital anomalies with significant clinical implications, often associated with congenital heart diseases like tetralogy of Fallot (TOF) and pulmonary atresia (PA). This study aimed to investigate the clinical, echocardiographic, and radiologic characteristics of MAPCAs in patients with congenital heart diseases admitted to our clinic between 2016 and 2023.</p><p><strong>Material and methods: </strong>A retrospective analysis of 46 cases was conducted using chest computed tomography exams performed on a dual-source 128-slice CT scanner. Clinical data and radiologic characteristics were collected and analysed.</p><p><strong>Results: </strong>The study revealed a strong correlation between congenital heart diseases and the presence of MAPCAs, with TOF, PA, and ventricular septal defect (VSD) being the most common, and it indicated that these collaterals may exist with non-diagnosed congenital heart disease. Tricuspid regurgitation and aortic insufficiency were the predominant echocardiographic findings. Radiologically, MAPCAs primarily originated from the descending aorta (type II) in 85% of cases, and their sizes ranged from ≤ 3 mm to > 10 mm, with an average of 5 mm.</p><p><strong>Conclusions: </strong>This study provides comprehensive insights into the clinical and radiologic aspects of MAPCAs in patients with congenital heart diseases. The findings emphasise the importance of early detection and intervention for better managing of these complex conditions and the need for further research.</p>","PeriodicalId":94174,"journal":{"name":"Polish journal of radiology","volume":"89 ","pages":"e302-e307"},"PeriodicalIF":0.0000,"publicationDate":"2024-06-17","publicationTypes":"Journal Article","fieldsOfStudy":null,"isOpenAccess":false,"openAccessPdf":"https://www.ncbi.nlm.nih.gov/pmc/articles/PMC11262015/pdf/","citationCount":"0","resultStr":null,"platform":"Semanticscholar","paperid":null,"PeriodicalName":"Polish journal of radiology","FirstCategoryId":"1085","ListUrlMain":"https://doi.org/10.5114/pjr/188331","RegionNum":0,"RegionCategory":null,"ArticlePicture":[],"TitleCN":null,"AbstractTextCN":null,"PMCID":null,"EPubDate":"2024/1/1 0:00:00","PubModel":"eCollection","JCR":"","JCRName":"","Score":null,"Total":0}
引用次数: 0

Abstract

Purpose: Major aortopulmonary collateral arteries (MAPCAs) are rare congenital anomalies with significant clinical implications, often associated with congenital heart diseases like tetralogy of Fallot (TOF) and pulmonary atresia (PA). This study aimed to investigate the clinical, echocardiographic, and radiologic characteristics of MAPCAs in patients with congenital heart diseases admitted to our clinic between 2016 and 2023.

Material and methods: A retrospective analysis of 46 cases was conducted using chest computed tomography exams performed on a dual-source 128-slice CT scanner. Clinical data and radiologic characteristics were collected and analysed.

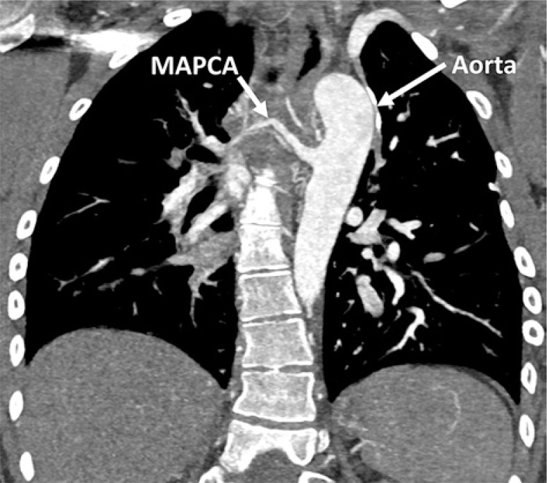
Results: The study revealed a strong correlation between congenital heart diseases and the presence of MAPCAs, with TOF, PA, and ventricular septal defect (VSD) being the most common, and it indicated that these collaterals may exist with non-diagnosed congenital heart disease. Tricuspid regurgitation and aortic insufficiency were the predominant echocardiographic findings. Radiologically, MAPCAs primarily originated from the descending aorta (type II) in 85% of cases, and their sizes ranged from ≤ 3 mm to > 10 mm, with an average of 5 mm.

Conclusions: This study provides comprehensive insights into the clinical and radiologic aspects of MAPCAs in patients with congenital heart diseases. The findings emphasise the importance of early detection and intervention for better managing of these complex conditions and the need for further research.

Abstract Image

Abstract Image

Abstract Image

主要主动脉肺侧动脉:临床、超声心动图和放射学特征。
目的:大动脉肺动脉侧支(MAPCAs)是一种罕见的先天性畸形,具有重要的临床意义,通常与法洛四联症(TOF)和肺动脉闭锁(PA)等先天性心脏病相关。本研究旨在探讨2016年至2023年间我院收治的先天性心脏病患者中MAPCA的临床、超声心动图和放射学特征:使用双源 128 层 CT 扫描仪进行胸部计算机断层扫描检查,对 46 例病例进行回顾性分析。收集并分析了临床数据和放射学特征:研究显示,先天性心脏病与 MAPCAs 的存在密切相关,其中以 TOF、PA 和室间隔缺损 (VSD) 最为常见。三尖瓣反流和主动脉瓣关闭不全是主要的超声心动图检查结果。从放射学角度看,85%的病例中的MAPCA主要源自降主动脉(II型),其大小从≤3毫米到>10毫米不等,平均为5毫米:本研究对先天性心脏病患者 MAPCA 的临床和放射学方面提供了全面的见解。研究结果强调了早期发现和干预对更好地治疗这些复杂疾病的重要性以及进一步研究的必要性。
本文章由计算机程序翻译,如有差异,请以英文原文为准。
求助全文
约1分钟内获得全文 求助全文
来源期刊
CiteScore
2.10
自引率
0.00%
发文量
0
×
引用
GB/T 7714-2015
复制
MLA
复制
APA
复制
导出至
BibTeX EndNote RefMan NoteFirst NoteExpress
×
提示
您的信息不完整,为了账户安全,请先补充。
现在去补充
×
提示
您因"违规操作"
具体请查看互助需知
我知道了
×
提示
确定
请完成安全验证×
copy
已复制链接
快去分享给好友吧!
我知道了
右上角分享
点击右上角分享
0
联系我们:info@booksci.cn Book学术提供免费学术资源搜索服务,方便国内外学者检索中英文文献。致力于提供最便捷和优质的服务体验。 Copyright © 2023 布克学术 All rights reserved.
京ICP备2023020795号-1
ghs 京公网安备 11010802042870号
Book学术文献互助
Book学术文献互助群
群 号:604180095
Book学术官方微信