Improving Fertility in Non-obstructive Azoospermia: Results from an Autologous Bone Mar-row-Derived Mesenchymal Stromal/Stem Cell Phase I Clinical Trial.

IF 2.2 Q2 OBSTETRICS & GYNECOLOGY
Rano Zhankina, Ulanbek Zhanbyrbekuly, Manarbek Askarov, Afshin Zare, Nazanin Jafari, Dana Saipiyeva, Ravil Sherkhanov, Daniyar Akhmetov, Alireza Hashemi, Mojtaba Farjam, Nader Tanideh, Behrouz Aflatoonian, Nadiar Maratovich Mussin, Asset Askerovich Kaliyev, Yerlan Sultangereyev, Hanieh Baneshi, Reza Shirazi, Mahdi Mahdipour, Shabnam Bakhshalizadeh, Farhad Rahmanifar, Amin Tamadon
{"title":"Improving Fertility in Non-obstructive Azoospermia: Results from an Autologous Bone Mar-row-Derived Mesenchymal Stromal/Stem Cell Phase I Clinical Trial.","authors":"Rano Zhankina, Ulanbek Zhanbyrbekuly, Manarbek Askarov, Afshin Zare, Nazanin Jafari, Dana Saipiyeva, Ravil Sherkhanov, Daniyar Akhmetov, Alireza Hashemi, Mojtaba Farjam, Nader Tanideh, Behrouz Aflatoonian, Nadiar Maratovich Mussin, Asset Askerovich Kaliyev, Yerlan Sultangereyev, Hanieh Baneshi, Reza Shirazi, Mahdi Mahdipour, Shabnam Bakhshalizadeh, Farhad Rahmanifar, Amin Tamadon","doi":"10.22074/ijfs.2023.2005045.1480","DOIUrl":null,"url":null,"abstract":"<p><strong>Background: </strong>In this phase I clinical trial, our primary objective was to develop an innovative therapeutic approach utilizing autologous bone marrow-derived mesenchymal stromal/stem cells (BM-MSCs) for the treatment of nonobstructive azoospermia (NOA). Additionally, we aimed to assess the feasibility and safety of this approach.</p><p><strong>Materials and methods: </strong>We recruited 80 participants in this non-randomized, open-label clinical trial, including patients undergoing NOA treatment using autologous BM-MSCs (n=40) and those receiving hormone therapy as a control group (n=40). Detailed participant characteristics, such as age, baseline hormonal profiles, etiology of NOA, and medical history, were thoroughly documented. Autotransplantation of BM-MSCs into the testicular network was achieved using microsurgical testicular sperm extraction (microTESE). Semen analysis and hormonal assessments were performed both before and six months after treatment. Additionally, we conducted an <i>in-silico</i> analysis to explore potential protein-protein interactions between exosomes secreted from BM-MSCs and receptors present in human seminiferous tubule cells.</p><p><strong>Results: </strong>Our results revealed significant improvements following treatment, including increased testosterone and inhibin B levels, elevated sperm concentration, and reduced levels of follicle-stimulating hormone (FSH), luteinizing hormone (LH), and prolactin. Notably, in nine patients (22.5%) previously diagnosed with secondary infertility and exhibiting azoospermia before treatment, the proposed approach yielded successful outcomes, as indicated by hormonal profile changes over six months. Importantly, these improvements were achieved without complications. Additionally, our <i>in-silico</i> analysis identified potential binding interactions between the protein content of BM-MSC-derived exosomes and receptors integral to spermatogenesis.</p><p><strong>Conclusion: </strong>Autotransplantation of BM-MSCs into the testicular network using microTESE in NOA patients led to the regeneration of seminiferous tubules and the regulation of hormonal profiles governing spermatogenesis. Our findings support the safety and effectiveness of autologous BM-MSCs as a promising treatment modality for NOA, with a particular focus on the achieved outcomes in patients with secondary infertility (registration number: IRCT20190519043634N1).</p>","PeriodicalId":14080,"journal":{"name":"International Journal of Fertility & Sterility","volume":"18 Suppl 1","pages":"60-70"},"PeriodicalIF":2.2000,"publicationDate":"2024-07-13","publicationTypes":"Journal Article","fieldsOfStudy":null,"isOpenAccess":false,"openAccessPdf":"https://www.ncbi.nlm.nih.gov/pmc/articles/PMC11263852/pdf/","citationCount":"0","resultStr":null,"platform":"Semanticscholar","paperid":null,"PeriodicalName":"International Journal of Fertility & Sterility","FirstCategoryId":"1085","ListUrlMain":"https://doi.org/10.22074/ijfs.2023.2005045.1480","RegionNum":0,"RegionCategory":null,"ArticlePicture":[],"TitleCN":null,"AbstractTextCN":null,"PMCID":null,"EPubDate":"","PubModel":"","JCR":"Q2","JCRName":"OBSTETRICS & GYNECOLOGY","Score":null,"Total":0}
引用次数: 0

Abstract

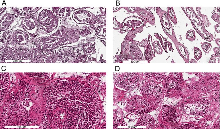
Background: In this phase I clinical trial, our primary objective was to develop an innovative therapeutic approach utilizing autologous bone marrow-derived mesenchymal stromal/stem cells (BM-MSCs) for the treatment of nonobstructive azoospermia (NOA). Additionally, we aimed to assess the feasibility and safety of this approach.

Materials and methods: We recruited 80 participants in this non-randomized, open-label clinical trial, including patients undergoing NOA treatment using autologous BM-MSCs (n=40) and those receiving hormone therapy as a control group (n=40). Detailed participant characteristics, such as age, baseline hormonal profiles, etiology of NOA, and medical history, were thoroughly documented. Autotransplantation of BM-MSCs into the testicular network was achieved using microsurgical testicular sperm extraction (microTESE). Semen analysis and hormonal assessments were performed both before and six months after treatment. Additionally, we conducted an in-silico analysis to explore potential protein-protein interactions between exosomes secreted from BM-MSCs and receptors present in human seminiferous tubule cells.

Results: Our results revealed significant improvements following treatment, including increased testosterone and inhibin B levels, elevated sperm concentration, and reduced levels of follicle-stimulating hormone (FSH), luteinizing hormone (LH), and prolactin. Notably, in nine patients (22.5%) previously diagnosed with secondary infertility and exhibiting azoospermia before treatment, the proposed approach yielded successful outcomes, as indicated by hormonal profile changes over six months. Importantly, these improvements were achieved without complications. Additionally, our in-silico analysis identified potential binding interactions between the protein content of BM-MSC-derived exosomes and receptors integral to spermatogenesis.

Conclusion: Autotransplantation of BM-MSCs into the testicular network using microTESE in NOA patients led to the regeneration of seminiferous tubules and the regulation of hormonal profiles governing spermatogenesis. Our findings support the safety and effectiveness of autologous BM-MSCs as a promising treatment modality for NOA, with a particular focus on the achieved outcomes in patients with secondary infertility (registration number: IRCT20190519043634N1).

Abstract Image

Abstract Image

Abstract Image

改善非梗阻性无精子症患者的生育能力:自体骨髓间充质基质/干细胞 I 期临床试验结果。
研究背景在这项 I 期临床试验中,我们的主要目标是开发一种创新的治疗方法,利用自体骨髓间充质基质/干细胞(BM-MSCs)治疗非梗阻性无精子症(NOA)。此外,我们还旨在评估这种方法的可行性和安全性:在这项非随机、开放标签临床试验中,我们招募了80名参与者,包括使用自体BM-间充质干细胞治疗无精子症的患者(40人)和作为对照组接受激素治疗的患者(40人)。试验详细记录了参与者的特征,如年龄、基线激素水平、NOA 病因和病史。采用显微睾丸取精术(microTESE)将BM-间充质干细胞自体移植到睾丸网络中。治疗前和治疗后六个月都进行了精液分析和激素评估。此外,我们还进行了一项体内分析,以探索BM-间充质干细胞分泌的外泌体与人类曲细精管细胞中存在的受体之间潜在的蛋白质-蛋白质相互作用:结果:我们的研究结果显示,治疗后患者的病情明显好转,包括睾酮和抑制素 B 水平升高,精子浓度升高,卵泡刺激素 (FSH)、黄体生成素 (LH) 和催乳素水平降低。值得注意的是,在治疗前曾被诊断为继发性不育症和无精子症的九名患者(22.5%)中,建议的方法取得了成功的结果,这体现在六个月的激素谱变化上。重要的是,这些改善是在无并发症的情况下实现的。此外,我们的实验室分析还发现了骨髓间充质干细胞衍生外泌体的蛋白质含量与精子发生受体之间潜在的结合相互作用:结论:在NOA患者的睾丸网络中使用microTESE进行BM-间充质干细胞自体移植,可促进曲细精管的再生,并调节精子发生的激素水平。我们的研究结果支持自体BM-间充质干细胞作为治疗NOA的一种有前景的治疗方式的安全性和有效性,尤其关注继发性不育患者取得的疗效(注册号:IRCT20190519043634N1)。
本文章由计算机程序翻译,如有差异,请以英文原文为准。
求助全文
约1分钟内获得全文 求助全文
来源期刊
CiteScore
4.20
自引率
0.00%
发文量
68
审稿时长
>12 weeks
期刊介绍: International Journal of Fertility & Sterility is a quarterly English publication of Royan Institute . The aim of the journal is to disseminate information through publishing the most recent scientific research studies on Fertility and Sterility and other related topics. Int J Fertil Steril has been certified by Ministry of Culture and Islamic Guidance in 2007 and was accredited as a scientific and research journal by HBI (Health and Biomedical Information) Journal Accreditation Commission in 2008. Int J Fertil Steril is an Open Access journal.
×
引用
GB/T 7714-2015
复制
MLA
复制
APA
复制
导出至
BibTeX EndNote RefMan NoteFirst NoteExpress
×
提示
您的信息不完整,为了账户安全,请先补充。
现在去补充
×
提示
您因"违规操作"
具体请查看互助需知
我知道了
×
提示
确定
请完成安全验证×
copy
已复制链接
快去分享给好友吧!
我知道了
右上角分享
点击右上角分享
0
联系我们:info@booksci.cn Book学术提供免费学术资源搜索服务,方便国内外学者检索中英文文献。致力于提供最便捷和优质的服务体验。 Copyright © 2023 布克学术 All rights reserved.
京ICP备2023020795号-1
ghs 京公网安备 11010802042870号
Book学术文献互助
Book学术文献互助群
群 号:604180095
Book学术官方微信