Considerations for delayed-onset spinal arachnoid web after intracranial subarachnoid hemorrhage.

IF 4.8 4区 医学 Q3 CLINICAL NEUROLOGY
Brain Circulation Pub Date : 2024-06-26 eCollection Date: 2024-04-01 DOI:10.4103/bc.bc_99_23
Georgia Wong, Gnel Pivazyan, Jeffrey M Breton, Ehsan Dowlati, Daniel R Felbaum
{"title":"Considerations for delayed-onset spinal arachnoid web after intracranial subarachnoid hemorrhage.","authors":"Georgia Wong, Gnel Pivazyan, Jeffrey M Breton, Ehsan Dowlati, Daniel R Felbaum","doi":"10.4103/bc.bc_99_23","DOIUrl":null,"url":null,"abstract":"<p><p>Spinal arachnoid web (AW) is a rare condition causing spinal cord-related issues. Its cause is often idiopathic but can be linked to past trauma or spine surgery. We describe two cases of AWs that developed after subarachnoid hemorrhage (SAH). Case #1 is a 71-year-old male with nonaneurysmal SAH who developed myelopathy 1 year later. Magnetic resonance imaging revealed upper thoracic cord edema and an AW. Case #2 is a 57-year-old female who underwent coiling of a ruptured basilar artery aneurysm and ventriculoperitoneal shunting for hydrocephalus. Twenty months later, she developed mid-thoracic AW requiring surgical resection. Both patients showed symptom improvement postresection avoiding further reoperation. History of SAH is emerging as a risk factor for AW development, emphasizing the importance of monitoring delayed-onset myelopathy and back pain in recent SAH patients.</p>","PeriodicalId":9288,"journal":{"name":"Brain Circulation","volume":"10 2","pages":"89-93"},"PeriodicalIF":4.8000,"publicationDate":"2024-06-26","publicationTypes":"Journal Article","fieldsOfStudy":null,"isOpenAccess":false,"openAccessPdf":"https://www.ncbi.nlm.nih.gov/pmc/articles/PMC11259322/pdf/","citationCount":"0","resultStr":null,"platform":"Semanticscholar","paperid":null,"PeriodicalName":"Brain Circulation","FirstCategoryId":"3","ListUrlMain":"https://doi.org/10.4103/bc.bc_99_23","RegionNum":4,"RegionCategory":"医学","ArticlePicture":[],"TitleCN":null,"AbstractTextCN":null,"PMCID":null,"EPubDate":"2024/4/1 0:00:00","PubModel":"eCollection","JCR":"Q3","JCRName":"CLINICAL NEUROLOGY","Score":null,"Total":0}
引用次数: 0

Abstract

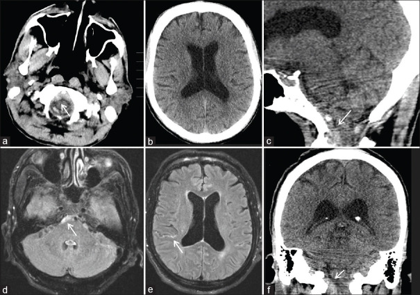
Spinal arachnoid web (AW) is a rare condition causing spinal cord-related issues. Its cause is often idiopathic but can be linked to past trauma or spine surgery. We describe two cases of AWs that developed after subarachnoid hemorrhage (SAH). Case #1 is a 71-year-old male with nonaneurysmal SAH who developed myelopathy 1 year later. Magnetic resonance imaging revealed upper thoracic cord edema and an AW. Case #2 is a 57-year-old female who underwent coiling of a ruptured basilar artery aneurysm and ventriculoperitoneal shunting for hydrocephalus. Twenty months later, she developed mid-thoracic AW requiring surgical resection. Both patients showed symptom improvement postresection avoiding further reoperation. History of SAH is emerging as a risk factor for AW development, emphasizing the importance of monitoring delayed-onset myelopathy and back pain in recent SAH patients.

Abstract Image

Abstract Image

Abstract Image

颅内蛛网膜下腔出血后迟发脊髓蛛网膜网的注意事项。
脊髓蛛网膜(AW)是一种罕见的疾病,会引起脊髓相关问题。其病因通常是特发性的,但也可能与过去的创伤或脊柱手术有关。我们描述了两例在蛛网膜下腔出血(SAH)后出现的蛛网膜瘤。病例1是一名71岁的男性,患有非动脉瘤性SAH,1年后出现脊髓病变。磁共振成像显示上胸段脊髓水肿和 AW。病例 2 是一名 57 岁的女性,因脑积水接受了基底动脉瘤破裂的盘绕手术和脑室腹腔分流术。20 个月后,她患上了中胸 AW,需要进行手术切除。两名患者在切除术后症状均有所改善,避免了再次手术。SAH史正在成为AW发病的一个危险因素,这强调了监测近期SAH患者迟发性脊髓病和背痛的重要性。
本文章由计算机程序翻译,如有差异,请以英文原文为准。
求助全文
约1分钟内获得全文 求助全文
来源期刊
Brain Circulation
Brain Circulation Multiple-
自引率
5.30%
发文量
31
审稿时长
16 weeks
×
引用
GB/T 7714-2015
复制
MLA
复制
APA
复制
导出至
BibTeX EndNote RefMan NoteFirst NoteExpress
×
提示
您的信息不完整,为了账户安全,请先补充。
现在去补充
×
提示
您因"违规操作"
具体请查看互助需知
我知道了
×
提示
确定
请完成安全验证×
copy
已复制链接
快去分享给好友吧!
我知道了
右上角分享
点击右上角分享
0
联系我们:info@booksci.cn Book学术提供免费学术资源搜索服务,方便国内外学者检索中英文文献。致力于提供最便捷和优质的服务体验。 Copyright © 2023 布克学术 All rights reserved.
京ICP备2023020795号-1
ghs 京公网安备 11010802042870号
Book学术文献互助
Book学术文献互助群
群 号:604180095
Book学术官方微信