Deploying artificial intelligence in the detection of adult appendicular and pelvic fractures in the Singapore emergency department after hours: efficacy, cost savings and non-monetary benefits.

IF 1.9
Singapore medical journal Pub Date : 2025-04-01 Epub Date: 2024-07-19 DOI:10.4103/singaporemedj.SMJ-2023-170
John Jian Xian Quek, Oliver James Nickalls, Bak Siew Steven Wong, Min On Tan
{"title":"Deploying artificial intelligence in the detection of adult appendicular and pelvic fractures in the Singapore emergency department after hours: efficacy, cost savings and non-monetary benefits.","authors":"John Jian Xian Quek, Oliver James Nickalls, Bak Siew Steven Wong, Min On Tan","doi":"10.4103/singaporemedj.SMJ-2023-170","DOIUrl":null,"url":null,"abstract":"<p><strong>Introduction: </strong>Radiology plays an integral role in fracture detection in the emergency department (ED). After hours, when there are fewer reporting radiologists, most radiographs are interpreted by ED physicians. A minority of these interpretations may miss diagnoses, which later require the callback of patients for further management. Artificial intelligence (AI) has been viewed as a potential solution to augment the shortage of radiologists after hours. We explored the efficacy of an AI solution in the detection of appendicular and pelvic fractures for adult radiographs performed after hours at a general hospital ED in Singapore, and estimated the potential monetary and non-monetary benefits.</p><p><strong>Methods: </strong>One hundred and fifty anonymised abnormal radiographs were retrospectively collected and fed through an AI fracture detection solution. The radiographs were re-read by two radiologist reviewers and their consensus was established as the reference standard. Cases were stratified based on the concordance between the AI solution and the reviewers' findings. Discordant cases were further analysed based on the nature of the discrepancy into overcall and undercall subgroups. Statistical analysis was performed to evaluate the accuracy, sensitivity and inter-rater reliability of the AI solution.</p><p><strong>Results: </strong>Ninety-two examinations were included in the final study radiograph set. The AI solution had a sensitivity of 98.9%, an accuracy of 85.9% and an almost perfect agreement with the reference standard.</p><p><strong>Conclusion: </strong>An AI fracture detection solution has similar sensitivity to human radiologists in the detection of fractures on ED appendicular and pelvic radiographs. Its implementation offers significant potential measurable cost, manpower and time savings.</p>","PeriodicalId":94289,"journal":{"name":"Singapore medical journal","volume":" ","pages":"202-207"},"PeriodicalIF":1.9000,"publicationDate":"2025-04-01","publicationTypes":"Journal Article","fieldsOfStudy":null,"isOpenAccess":false,"openAccessPdf":"https://www.ncbi.nlm.nih.gov/pmc/articles/PMC12063936/pdf/","citationCount":"0","resultStr":null,"platform":"Semanticscholar","paperid":null,"PeriodicalName":"Singapore medical journal","FirstCategoryId":"1085","ListUrlMain":"https://doi.org/10.4103/singaporemedj.SMJ-2023-170","RegionNum":0,"RegionCategory":null,"ArticlePicture":[],"TitleCN":null,"AbstractTextCN":null,"PMCID":null,"EPubDate":"2024/7/19 0:00:00","PubModel":"Epub","JCR":"","JCRName":"","Score":null,"Total":0}
引用次数: 0

Abstract

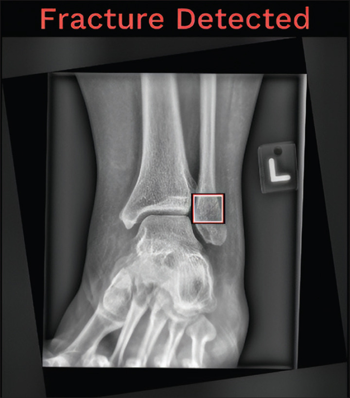
Introduction: Radiology plays an integral role in fracture detection in the emergency department (ED). After hours, when there are fewer reporting radiologists, most radiographs are interpreted by ED physicians. A minority of these interpretations may miss diagnoses, which later require the callback of patients for further management. Artificial intelligence (AI) has been viewed as a potential solution to augment the shortage of radiologists after hours. We explored the efficacy of an AI solution in the detection of appendicular and pelvic fractures for adult radiographs performed after hours at a general hospital ED in Singapore, and estimated the potential monetary and non-monetary benefits.

Methods: One hundred and fifty anonymised abnormal radiographs were retrospectively collected and fed through an AI fracture detection solution. The radiographs were re-read by two radiologist reviewers and their consensus was established as the reference standard. Cases were stratified based on the concordance between the AI solution and the reviewers' findings. Discordant cases were further analysed based on the nature of the discrepancy into overcall and undercall subgroups. Statistical analysis was performed to evaluate the accuracy, sensitivity and inter-rater reliability of the AI solution.

Results: Ninety-two examinations were included in the final study radiograph set. The AI solution had a sensitivity of 98.9%, an accuracy of 85.9% and an almost perfect agreement with the reference standard.

Conclusion: An AI fracture detection solution has similar sensitivity to human radiologists in the detection of fractures on ED appendicular and pelvic radiographs. Its implementation offers significant potential measurable cost, manpower and time savings.

Abstract Image

Abstract Image

Abstract Image

在新加坡急诊科下班后采用人工智能检测成人阑尾和骨盆骨折:疗效、成本节约和非货币收益。
导言:放射科在急诊科(ED)的骨折检测中发挥着不可或缺的作用。下班后,由于放射科报告医生较少,大多数放射照片都由急诊科医生判读。这些判读中的少数可能会漏诊,从而需要回访患者以进一步处理。人工智能(AI)被认为是解决下班后放射科医生短缺问题的潜在方法。我们探讨了人工智能解决方案在新加坡一家综合医院急诊室下班后对成人放射照片进行阑尾和骨盆骨折检测的功效,并估算了潜在的货币和非货币收益:方法:回顾性收集了 150 张匿名的异常 X 光片,并将其输入人工智能骨折检测解决方案。由两名放射科医生审查员重新读片,并将他们的共识作为参考标准。根据人工智能解决方案与审片专家结论的一致性对病例进行分层。根据差异的性质,将不一致的病例进一步分析为高估和低估亚组。进行统计分析以评估人工智能解决方案的准确性、灵敏度和评审员之间的可靠性:最终的研究放射照片集包括 92 张检查照片。人工智能解决方案的灵敏度为 98.9%,准确度为 85.9%,与参考标准几乎完全一致:人工智能骨折检测解决方案在 ED 阑尾和骨盆 X 光片上检测骨折的灵敏度与人类放射医师相似。该方案的实施可节省大量可衡量的潜在成本、人力和时间。
本文章由计算机程序翻译,如有差异,请以英文原文为准。
求助全文
约1分钟内获得全文 求助全文
来源期刊
自引率
0.00%
发文量
0
×
引用
GB/T 7714-2015
复制
MLA
复制
APA
复制
导出至
BibTeX EndNote RefMan NoteFirst NoteExpress
×
提示
您的信息不完整,为了账户安全,请先补充。
现在去补充
×
提示
您因"违规操作"
具体请查看互助需知
我知道了
×
提示
确定
请完成安全验证×
copy
已复制链接
快去分享给好友吧!
我知道了
右上角分享
点击右上角分享
0
联系我们:info@booksci.cn Book学术提供免费学术资源搜索服务,方便国内外学者检索中英文文献。致力于提供最便捷和优质的服务体验。 Copyright © 2023 布克学术 All rights reserved.
京ICP备2023020795号-1
ghs 京公网安备 11010802042870号
Book学术文献互助
Book学术文献互助群
群 号:604180095
Book学术官方微信