Drug resistant epilepsy as the consequence of inadequate control of type 1 diabetes.

Q3 Medicine
Ewa M Sokolewicz, Kamil Dzwilewski, Natalia Omieczyńska, Marta Zawadzka, Maria Mazurkiewicz-Bełdzińska
{"title":"Drug resistant epilepsy as the consequence of inadequate control of type 1 diabetes.","authors":"Ewa M Sokolewicz, Kamil Dzwilewski, Natalia Omieczyńska, Marta Zawadzka, Maria Mazurkiewicz-Bełdzińska","doi":"10.5114/pedm.2024.137890","DOIUrl":null,"url":null,"abstract":"<p><p>Hypoglycemic encephalopathy (HE) is a type of encephalopathy resulting from extremely low blood glucose level. Symptoms are not specific and can be misdiagnosed very often. It can occur during deep and/or prolonged hypoglycemia, which may be a result of inadequately controlled diabetes. Here, we report a case of an 11-year old male patient diagnosed with type 1 diabetes mellitus treated with the use of insulin pump who was admitted to the Pediatric Neurology Department because of multiple incidents of seizures. Boy was found unconscious by his mother. The blood glucose level on the glucometer was 35 mg/dl. It turned out that the reason of hypoglycemia was inadequate insulin dosing. He was given intravenous glucose by the ambulance service without improvement in the state of consciousness. Brain MRI revealed in both cerebral hemispheres, symmetrically, elevated white matter signal, mainly in the subcortex and cortex of the frontal and occipital and parietal lobes with features of diffusion restriction. EEG revealed generalized slow brain activity, without obvious epileptiform. Boy was provided with a variety of antiepileptic drugs. Unfortunately, none of them yielded with satisfactory results so far and the patient is still suffering from drug-resistant epilepsy. In conclusion, glucose is one of the key metabolic agents for the proper brain function and any imbalances in its blood level may impair the neuronal computation. Thus, it is extremely important, especially among diabetic patients, to control glucose blood level and avoid any disturbances, as they may lead to severe consequences, such as HE and drug-resistant epilepsy.</p>","PeriodicalId":39165,"journal":{"name":"Pediatric Endocrinology, Diabetes and Metabolism","volume":"30 1","pages":"42-44"},"PeriodicalIF":0.0000,"publicationDate":"2024-01-01","publicationTypes":"Journal Article","fieldsOfStudy":null,"isOpenAccess":false,"openAccessPdf":"https://www.ncbi.nlm.nih.gov/pmc/articles/PMC11037085/pdf/","citationCount":"0","resultStr":null,"platform":"Semanticscholar","paperid":null,"PeriodicalName":"Pediatric Endocrinology, Diabetes and Metabolism","FirstCategoryId":"1085","ListUrlMain":"https://doi.org/10.5114/pedm.2024.137890","RegionNum":0,"RegionCategory":null,"ArticlePicture":[],"TitleCN":null,"AbstractTextCN":null,"PMCID":null,"EPubDate":"","PubModel":"","JCR":"Q3","JCRName":"Medicine","Score":null,"Total":0}
引用次数: 0

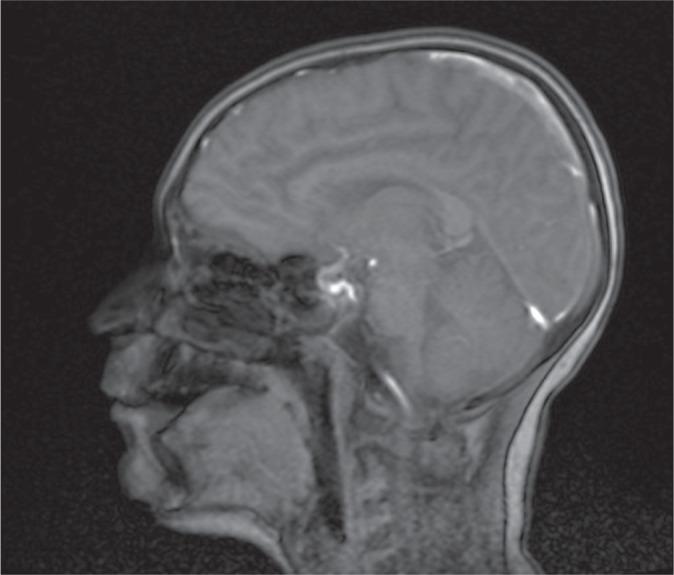
Abstract

Hypoglycemic encephalopathy (HE) is a type of encephalopathy resulting from extremely low blood glucose level. Symptoms are not specific and can be misdiagnosed very often. It can occur during deep and/or prolonged hypoglycemia, which may be a result of inadequately controlled diabetes. Here, we report a case of an 11-year old male patient diagnosed with type 1 diabetes mellitus treated with the use of insulin pump who was admitted to the Pediatric Neurology Department because of multiple incidents of seizures. Boy was found unconscious by his mother. The blood glucose level on the glucometer was 35 mg/dl. It turned out that the reason of hypoglycemia was inadequate insulin dosing. He was given intravenous glucose by the ambulance service without improvement in the state of consciousness. Brain MRI revealed in both cerebral hemispheres, symmetrically, elevated white matter signal, mainly in the subcortex and cortex of the frontal and occipital and parietal lobes with features of diffusion restriction. EEG revealed generalized slow brain activity, without obvious epileptiform. Boy was provided with a variety of antiepileptic drugs. Unfortunately, none of them yielded with satisfactory results so far and the patient is still suffering from drug-resistant epilepsy. In conclusion, glucose is one of the key metabolic agents for the proper brain function and any imbalances in its blood level may impair the neuronal computation. Thus, it is extremely important, especially among diabetic patients, to control glucose blood level and avoid any disturbances, as they may lead to severe consequences, such as HE and drug-resistant epilepsy.

Abstract Image

1型糖尿病控制不当导致的耐药性癫痫。
低血糖脑病(HE)是一种因血糖水平极低而导致的脑病。其症状不明确,经常被误诊。它可能发生在深度和/或长时间低血糖时,这可能是糖尿病控制不当的结果。在此,我们报告了一例 11 岁男性患者的病例,该患者被诊断为 1 型糖尿病,使用胰岛素泵进行治疗。男孩被其母亲发现时已失去知觉。血糖仪上的血糖值为 35 毫克/分升。原来,低血糖的原因是胰岛素剂量不足。救护人员给他静脉注射了葡萄糖,但他的意识状态没有改善。脑磁共振成像显示,两个大脑半球的白质信号对称性升高,主要位于额叶、枕叶和顶叶的皮层下和皮层,具有弥散受限的特征。脑电图显示大脑活动普遍缓慢,无明显癫痫样。医生给男孩服用了多种抗癫痫药物。遗憾的是,迄今为止,这些药物都没有取得令人满意的效果,患者仍然患有耐药性癫痫。总之,葡萄糖是大脑正常运作的关键代谢物质之一,其血液水平的任何失衡都可能损害神经元的计算。因此,尤其是糖尿病患者,控制血糖水平和避免任何紊乱极为重要,因为它们可能导致严重后果,如高血压和耐药性癫痫。
本文章由计算机程序翻译,如有差异,请以英文原文为准。
求助全文
约1分钟内获得全文 求助全文
来源期刊
Pediatric Endocrinology, Diabetes and Metabolism
Pediatric Endocrinology, Diabetes and Metabolism Medicine-Pediatrics, Perinatology and Child Health
CiteScore
2.00
自引率
0.00%
发文量
36
×
引用
GB/T 7714-2015
复制
MLA
复制
APA
复制
导出至
BibTeX EndNote RefMan NoteFirst NoteExpress
×
提示
您的信息不完整,为了账户安全,请先补充。
现在去补充
×
提示
您因"违规操作"
具体请查看互助需知
我知道了
×
提示
确定
请完成安全验证×
copy
已复制链接
快去分享给好友吧!
我知道了
右上角分享
点击右上角分享
0
联系我们:info@booksci.cn Book学术提供免费学术资源搜索服务,方便国内外学者检索中英文文献。致力于提供最便捷和优质的服务体验。 Copyright © 2023 布克学术 All rights reserved.
京ICP备2023020795号-1
ghs 京公网安备 11010802042870号
Book学术文献互助
Book学术文献互助群
群 号:604180095
Book学术官方微信