Endocarditis, Intra-cardiac Thrombus, and Pulmonary Artery Aneurysm in a Patient with Behcet's Syndrome.

IF 0.9 Q3 MEDICINE, GENERAL & INTERNAL
Medical Bulletin of Sisli Etfal Hospital Pub Date : 2024-06-28 eCollection Date: 2024-01-01 DOI:10.14744/SEMB.2023.80000
Fatih Yildiz, Bayram Kelle, Eren Erken
{"title":"Endocarditis, Intra-cardiac Thrombus, and Pulmonary Artery Aneurysm in a Patient with Behcet's Syndrome.","authors":"Fatih Yildiz, Bayram Kelle, Eren Erken","doi":"10.14744/SEMB.2023.80000","DOIUrl":null,"url":null,"abstract":"<p><p>Behçet's Syndrome (BS) is a chronic vasculitis of unknown etiology. Arterial involvement occurring in the pulmonary artery is associated with poor prognosis. It may cause pulmonary thrombus (PTE) and aneurysm (PAA) which may also lead to a rare complication, intracardiac thrombus. PAA and PTE can be complications of BS and are associated with high morbidity and mortality. A 30-year-old male patient had a fever of 38.4°C, recurrent oral-genital ulcers, shortness of breath, cough, and sputum. In this case report, medical history, clinical and laboratory examinations, radiography, echocardiography, and computer tomography imaging examinations were performed. PAA, PTE, intracardiac and left popliteal vein thrombosis, and infective endocarditis were present. The patient was diagnosed with BS according to the International Study Group criteria. Surgery was performed for intracardiac thrombus. Vegetation within the thrombus was demonstrated histopathologically. The patient's clinical condition and laboratory tests improved with intervention and medical treatments. The patient with BS, PAA, PTE, intracardiac thrombus, and infective endocarditis was successfully treated with pulmonary embolization, antibiotics, and systemic immunosuppression, despite its rarity, poor prognosis, and high morbidity and mortality rates.</p>","PeriodicalId":42218,"journal":{"name":"Medical Bulletin of Sisli Etfal Hospital","volume":"58 2","pages":"244-248"},"PeriodicalIF":0.9000,"publicationDate":"2024-06-28","publicationTypes":"Journal Article","fieldsOfStudy":null,"isOpenAccess":false,"openAccessPdf":"https://www.ncbi.nlm.nih.gov/pmc/articles/PMC11249990/pdf/","citationCount":"0","resultStr":null,"platform":"Semanticscholar","paperid":null,"PeriodicalName":"Medical Bulletin of Sisli Etfal Hospital","FirstCategoryId":"1085","ListUrlMain":"https://doi.org/10.14744/SEMB.2023.80000","RegionNum":0,"RegionCategory":null,"ArticlePicture":[],"TitleCN":null,"AbstractTextCN":null,"PMCID":null,"EPubDate":"2024/1/1 0:00:00","PubModel":"eCollection","JCR":"Q3","JCRName":"MEDICINE, GENERAL & INTERNAL","Score":null,"Total":0}
引用次数: 0

Abstract

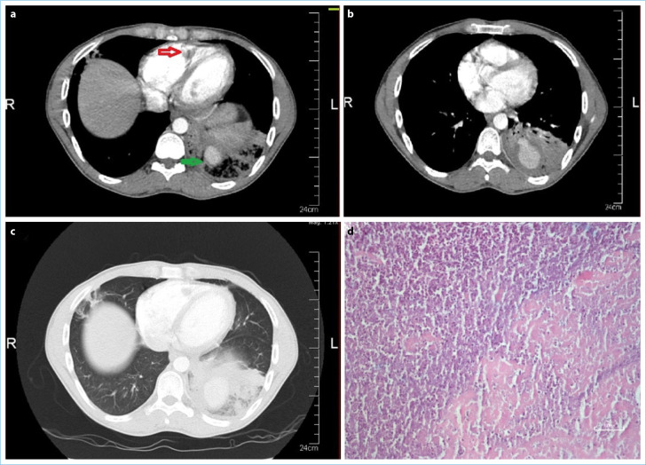
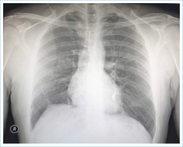
Behçet's Syndrome (BS) is a chronic vasculitis of unknown etiology. Arterial involvement occurring in the pulmonary artery is associated with poor prognosis. It may cause pulmonary thrombus (PTE) and aneurysm (PAA) which may also lead to a rare complication, intracardiac thrombus. PAA and PTE can be complications of BS and are associated with high morbidity and mortality. A 30-year-old male patient had a fever of 38.4°C, recurrent oral-genital ulcers, shortness of breath, cough, and sputum. In this case report, medical history, clinical and laboratory examinations, radiography, echocardiography, and computer tomography imaging examinations were performed. PAA, PTE, intracardiac and left popliteal vein thrombosis, and infective endocarditis were present. The patient was diagnosed with BS according to the International Study Group criteria. Surgery was performed for intracardiac thrombus. Vegetation within the thrombus was demonstrated histopathologically. The patient's clinical condition and laboratory tests improved with intervention and medical treatments. The patient with BS, PAA, PTE, intracardiac thrombus, and infective endocarditis was successfully treated with pulmonary embolization, antibiotics, and systemic immunosuppression, despite its rarity, poor prognosis, and high morbidity and mortality rates.

Abstract Image

Abstract Image

一名贝赫切特综合征患者的心内膜炎、心内血栓和肺动脉瘤
贝赫切特综合征(BS)是一种病因不明的慢性血管炎。肺动脉受累与预后不良有关。它可能导致肺血栓(PTE)和动脉瘤(PAA),也可能导致一种罕见的并发症--心内血栓。PAA和PTE可能是BS的并发症,发病率和死亡率都很高。一名 30 岁的男性患者发热 38.4°C,反复出现口腔生殖器溃疡、呼吸急促、咳嗽和咳痰。在本病例报告中,对患者进行了病史、临床和实验室检查、放射学检查、超声心动图检查和计算机断层扫描成像检查。存在 PAA、PTE、心内和左腘静脉血栓以及感染性心内膜炎。根据国际研究小组的标准,患者被诊断为 BS。手术治疗了心内血栓。组织病理学显示血栓内有植被。经过干预和药物治疗,患者的临床状况和实验室检查均有所改善。尽管 BS、PAA、PTE、心内血栓和感染性心内膜炎罕见、预后差、发病率和死亡率高,但通过肺动脉栓塞、抗生素和全身免疫抑制治疗,该患者获得了成功。
本文章由计算机程序翻译,如有差异,请以英文原文为准。
求助全文
约1分钟内获得全文 求助全文
来源期刊
Medical Bulletin of Sisli Etfal Hospital
Medical Bulletin of Sisli Etfal Hospital MEDICINE, GENERAL & INTERNAL-
自引率
16.70%
发文量
41
×
引用
GB/T 7714-2015
复制
MLA
复制
APA
复制
导出至
BibTeX EndNote RefMan NoteFirst NoteExpress
×
提示
您的信息不完整,为了账户安全,请先补充。
现在去补充
×
提示
您因"违规操作"
具体请查看互助需知
我知道了
×
提示
确定
请完成安全验证×
copy
已复制链接
快去分享给好友吧!
我知道了
右上角分享
点击右上角分享
0
联系我们:info@booksci.cn Book学术提供免费学术资源搜索服务,方便国内外学者检索中英文文献。致力于提供最便捷和优质的服务体验。 Copyright © 2023 布克学术 All rights reserved.
京ICP备2023020795号-1
ghs 京公网安备 11010802042870号
Book学术文献互助
Book学术文献互助群
群 号:604180095
Book学术官方微信