Clear cell myomelanocytic tumor of ligamentum teres.

Q4 Medicine
Autopsy and Case Reports Pub Date : 2024-06-21 eCollection Date: 2024-01-01 DOI:10.4322/acr.2024.503
Ariba Zaidi, Debajyoti Chatterjee, Venu Bhargav, Vikas Gupta, Ashim Das
{"title":"Clear cell myomelanocytic tumor of ligamentum teres.","authors":"Ariba Zaidi, Debajyoti Chatterjee, Venu Bhargav, Vikas Gupta, Ashim Das","doi":"10.4322/acr.2024.503","DOIUrl":null,"url":null,"abstract":"<p><p>Clear cell myomelanocytic tumor (CCMMT) of the falciform ligament/ligamentum teres is a rare hepatic tumor, a variant of the perivascular epithelioid cell tumor (PEComa) family. CCMMT is the rarest variant of hepatic PEComas. Only a few cases of CCMMT have been reported in the English literature. Because of its rarity, less is known about its biological behavior. We present a case of a 31-year-old female who complained of abdominal pain, bilious vomiting, and abdominal fullness over two months. The radiological impression was of focal nodular hyperplasia. The histological examination of the resection specimen revealed a well-circumscribed tumor arranged in fascicles, sheets, and a whorling pattern. The tumor cells were spindle to epithelioid shaped with abundant clear to pale eosinophilic cytoplasm. The tumor cells expressed both myoid (smooth muscle actin) and melanocytic (MelanA and HMB45) markers, while they were negative for hepatocytic and vascular markers. Thus, based on histology and immunohistochemistry, a diagnosis of CCMMT was made. This case presents the diagnostic challenges of CCMMT and discusses the differential diagnosis with a literature review.</p>","PeriodicalId":53117,"journal":{"name":"Autopsy and Case Reports","volume":"14 ","pages":"e2024503"},"PeriodicalIF":0.0000,"publicationDate":"2024-06-21","publicationTypes":"Journal Article","fieldsOfStudy":null,"isOpenAccess":false,"openAccessPdf":"https://www.ncbi.nlm.nih.gov/pmc/articles/PMC11253914/pdf/","citationCount":"0","resultStr":null,"platform":"Semanticscholar","paperid":null,"PeriodicalName":"Autopsy and Case Reports","FirstCategoryId":"1085","ListUrlMain":"https://doi.org/10.4322/acr.2024.503","RegionNum":0,"RegionCategory":null,"ArticlePicture":[],"TitleCN":null,"AbstractTextCN":null,"PMCID":null,"EPubDate":"2024/1/1 0:00:00","PubModel":"eCollection","JCR":"Q4","JCRName":"Medicine","Score":null,"Total":0}
引用次数: 0

Abstract

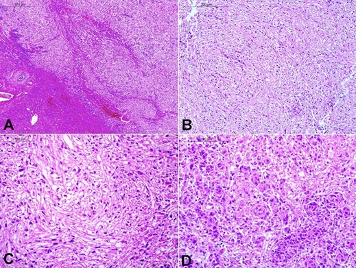
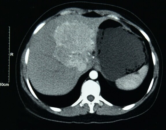
Clear cell myomelanocytic tumor (CCMMT) of the falciform ligament/ligamentum teres is a rare hepatic tumor, a variant of the perivascular epithelioid cell tumor (PEComa) family. CCMMT is the rarest variant of hepatic PEComas. Only a few cases of CCMMT have been reported in the English literature. Because of its rarity, less is known about its biological behavior. We present a case of a 31-year-old female who complained of abdominal pain, bilious vomiting, and abdominal fullness over two months. The radiological impression was of focal nodular hyperplasia. The histological examination of the resection specimen revealed a well-circumscribed tumor arranged in fascicles, sheets, and a whorling pattern. The tumor cells were spindle to epithelioid shaped with abundant clear to pale eosinophilic cytoplasm. The tumor cells expressed both myoid (smooth muscle actin) and melanocytic (MelanA and HMB45) markers, while they were negative for hepatocytic and vascular markers. Thus, based on histology and immunohistochemistry, a diagnosis of CCMMT was made. This case presents the diagnostic challenges of CCMMT and discusses the differential diagnosis with a literature review.

Abstract Image

Abstract Image

Abstract Image

韧带透明细胞髓细胞瘤
镰状韧带/韧带透明细胞髓细胞瘤(CCMMT)是一种罕见的肝肿瘤,是血管周围上皮样细胞瘤(PEComa)家族的一个变种。CCMMT 是肝脏上皮细胞瘤中最罕见的变种。英文文献中仅有几例 CCMMT 的报道。由于其罕见性,人们对它的生物学行为知之甚少。我们报告了一例 31 岁女性的病例,她主诉腹痛、胆汁性呕吐和腹部饱胀超过两个月。放射学检查结果为局灶性结节增生。切除标本的组织学检查显示,肿瘤呈簇状、片状和轮状排列。肿瘤细胞呈纺锤形至上皮样,有大量透明至淡嗜酸性细胞质。肿瘤细胞表达肌样(平滑肌肌动蛋白)和黑素细胞(MelanA 和 HMB45)标记物,而肝细胞和血管标记物呈阴性。因此,根据组织学和免疫组化结果,诊断为 CCMMT。本病例介绍了 CCMMT 的诊断难题,并通过文献综述讨论了鉴别诊断。
本文章由计算机程序翻译,如有差异,请以英文原文为准。
求助全文
约1分钟内获得全文 求助全文
来源期刊
Autopsy and Case Reports
Autopsy and Case Reports Medicine-Internal Medicine
CiteScore
1.20
自引率
0.00%
发文量
60
审稿时长
9 weeks
×
引用
GB/T 7714-2015
复制
MLA
复制
APA
复制
导出至
BibTeX EndNote RefMan NoteFirst NoteExpress
×
提示
您的信息不完整,为了账户安全,请先补充。
现在去补充
×
提示
您因"违规操作"
具体请查看互助需知
我知道了
×
提示
确定
请完成安全验证×
copy
已复制链接
快去分享给好友吧!
我知道了
右上角分享
点击右上角分享
0
联系我们:info@booksci.cn Book学术提供免费学术资源搜索服务,方便国内外学者检索中英文文献。致力于提供最便捷和优质的服务体验。 Copyright © 2023 布克学术 All rights reserved.
京ICP备2023020795号-1
ghs 京公网安备 11010802042870号
Book学术文献互助
Book学术文献互助群
群 号:604180095
Book学术官方微信