Choroid Plexus Papilloma Tumor of the Ovary: A Case Report.

IF 0.9 Q3 MEDICINE, GENERAL & INTERNAL
Medical Bulletin of Sisli Etfal Hospital Pub Date : 2024-06-28 eCollection Date: 2024-01-01 DOI:10.14744/SEMB.2023.74340
Merve Aldikactioglu Talmac, Yuksel Ulu, Hilal Serap Arslan, Ilkbal Temel Yuksel
{"title":"Choroid Plexus Papilloma Tumor of the Ovary: A Case Report.","authors":"Merve Aldikactioglu Talmac, Yuksel Ulu, Hilal Serap Arslan, Ilkbal Temel Yuksel","doi":"10.14744/SEMB.2023.74340","DOIUrl":null,"url":null,"abstract":"<p><p>This is a case report of a 19-year-old nulligravid patient with a choroid plexus papilloma tumor in a mature cystic teratoma in the right adnexal area. The patient, who had abdominal pain and dyspepsia, showed a 9 cm diameter mass with a solid/cystic component, initially interpreted as a dermoid cyst in the right adnexal region. Mature cystic teratoma is a benign germ cell tumor and is common in women during the reproductive period. However, choroid plexus papilloma is a rare brain tumor. The diagnosis of ovarian choroid plexus papilloma can be made with imaging tests such as magnetic resonance imaging or computed tomography, and treatment is usually by surgical removal. Only four cases of ovarian teratoma with choroid plexus papilloma have been informed in the English literature, and this issue is the fifth.</p>","PeriodicalId":42218,"journal":{"name":"Medical Bulletin of Sisli Etfal Hospital","volume":"58 2","pages":"237-240"},"PeriodicalIF":0.9000,"publicationDate":"2024-06-28","publicationTypes":"Journal Article","fieldsOfStudy":null,"isOpenAccess":false,"openAccessPdf":"https://www.ncbi.nlm.nih.gov/pmc/articles/PMC11249992/pdf/","citationCount":"0","resultStr":null,"platform":"Semanticscholar","paperid":null,"PeriodicalName":"Medical Bulletin of Sisli Etfal Hospital","FirstCategoryId":"1085","ListUrlMain":"https://doi.org/10.14744/SEMB.2023.74340","RegionNum":0,"RegionCategory":null,"ArticlePicture":[],"TitleCN":null,"AbstractTextCN":null,"PMCID":null,"EPubDate":"2024/1/1 0:00:00","PubModel":"eCollection","JCR":"Q3","JCRName":"MEDICINE, GENERAL & INTERNAL","Score":null,"Total":0}
引用次数: 0

Abstract

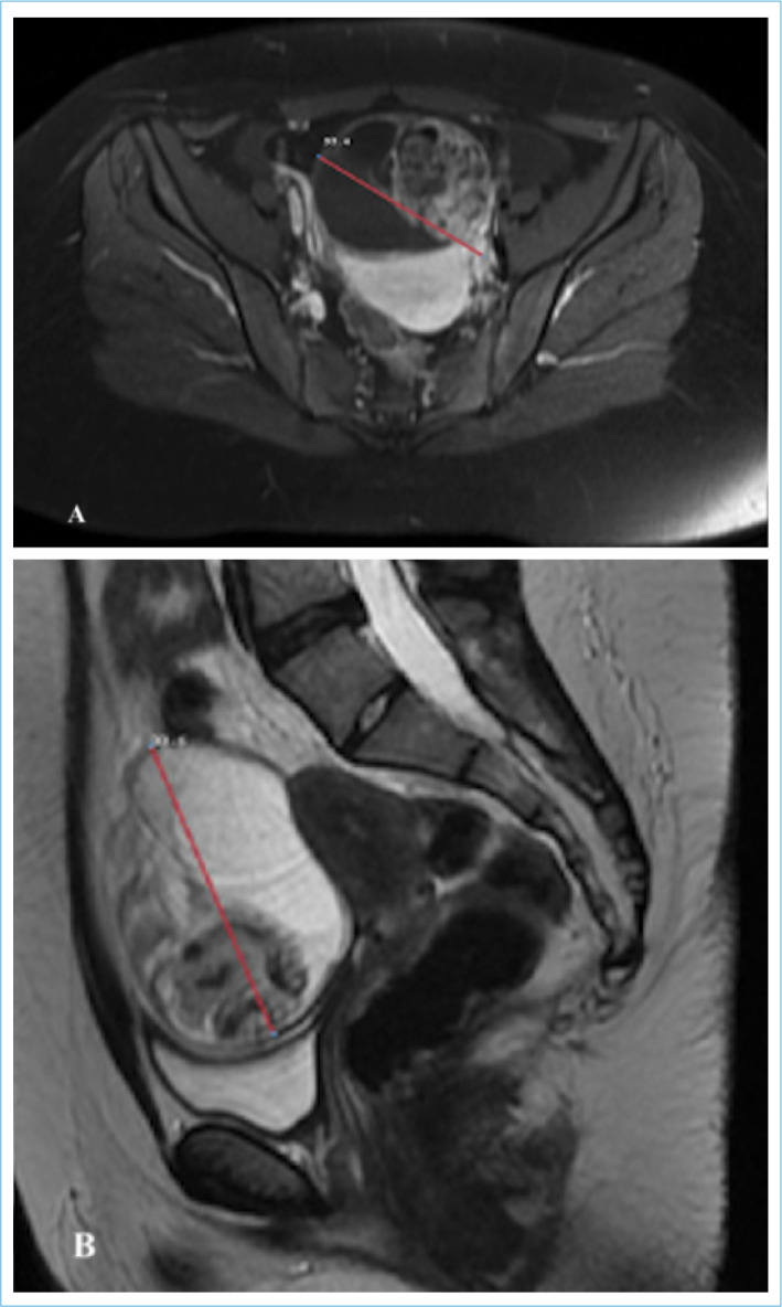
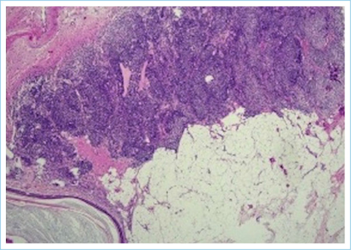
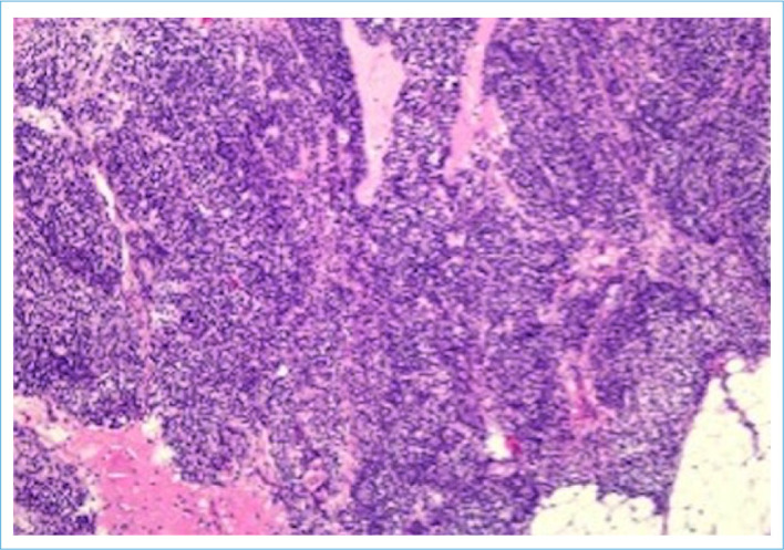
This is a case report of a 19-year-old nulligravid patient with a choroid plexus papilloma tumor in a mature cystic teratoma in the right adnexal area. The patient, who had abdominal pain and dyspepsia, showed a 9 cm diameter mass with a solid/cystic component, initially interpreted as a dermoid cyst in the right adnexal region. Mature cystic teratoma is a benign germ cell tumor and is common in women during the reproductive period. However, choroid plexus papilloma is a rare brain tumor. The diagnosis of ovarian choroid plexus papilloma can be made with imaging tests such as magnetic resonance imaging or computed tomography, and treatment is usually by surgical removal. Only four cases of ovarian teratoma with choroid plexus papilloma have been informed in the English literature, and this issue is the fifth.

Abstract Image

Abstract Image

Abstract Image

卵巢脉络丛乳头状瘤:病例报告。
本病例报告的是一名 19 岁的无生育能力患者,其右侧附件区成熟囊性畸胎瘤中长有脉络丛乳头状瘤。患者有腹痛和消化不良,腹部发现一个直径 9 厘米的肿块,内含实性/囊性成分,最初被解释为右侧附件区的蝶形囊肿。成熟囊性畸胎瘤是一种良性生殖细胞肿瘤,常见于生育期妇女。然而,脉络丛乳头状瘤是一种罕见的脑肿瘤。卵巢脉络丛乳头状瘤可通过磁共振成像或计算机断层扫描等影像学检查确诊,治疗方法通常是手术切除。英文文献中仅有四例卵巢畸胎瘤伴脉络丛乳头状瘤的病例,本期是第五例。
本文章由计算机程序翻译,如有差异,请以英文原文为准。
求助全文
约1分钟内获得全文 求助全文
来源期刊
Medical Bulletin of Sisli Etfal Hospital
Medical Bulletin of Sisli Etfal Hospital MEDICINE, GENERAL & INTERNAL-
自引率
16.70%
发文量
41
×
引用
GB/T 7714-2015
复制
MLA
复制
APA
复制
导出至
BibTeX EndNote RefMan NoteFirst NoteExpress
×
提示
您的信息不完整,为了账户安全,请先补充。
现在去补充
×
提示
您因"违规操作"
具体请查看互助需知
我知道了
×
提示
确定
请完成安全验证×
copy
已复制链接
快去分享给好友吧!
我知道了
右上角分享
点击右上角分享
0
联系我们:info@booksci.cn Book学术提供免费学术资源搜索服务,方便国内外学者检索中英文文献。致力于提供最便捷和优质的服务体验。 Copyright © 2023 布克学术 All rights reserved.
京ICP备2023020795号-1
ghs 京公网安备 11010802042870号
Book学术文献互助
Book学术文献互助群
群 号:604180095
Book学术官方微信