Biliary Cystadenoma with High Dysplasia Detected Incidentally in a Young Patient Admitted for Percutaneous Abscess Drainage.

IF 0.9 Q3 MEDICINE, GENERAL & INTERNAL
Medical Bulletin of Sisli Etfal Hospital Pub Date : 2024-06-28 eCollection Date: 2024-01-01 DOI:10.14744/SEMB.2023.45578
Korcan Aysun Gonen, Hadi Sasani, Sami Acar, Ender Dulundu
{"title":"Biliary Cystadenoma with High Dysplasia Detected Incidentally in a Young Patient Admitted for Percutaneous Abscess Drainage.","authors":"Korcan Aysun Gonen, Hadi Sasani, Sami Acar, Ender Dulundu","doi":"10.14744/SEMB.2023.45578","DOIUrl":null,"url":null,"abstract":"<p><p>Biliary cystadenomas are uncommon lesions with clinical and radiological characteristics that overlap with other cystic liver lesions. Here, we intended to discuss a biliary cystadenoma found in a 37-year-old female patient who had been treated for a liver abscess and had been sent to our clinic with a long-term hydatid cyst diagnosis.</p>","PeriodicalId":42218,"journal":{"name":"Medical Bulletin of Sisli Etfal Hospital","volume":"58 2","pages":"249-253"},"PeriodicalIF":0.9000,"publicationDate":"2024-06-28","publicationTypes":"Journal Article","fieldsOfStudy":null,"isOpenAccess":false,"openAccessPdf":"https://www.ncbi.nlm.nih.gov/pmc/articles/PMC11249983/pdf/","citationCount":"0","resultStr":null,"platform":"Semanticscholar","paperid":null,"PeriodicalName":"Medical Bulletin of Sisli Etfal Hospital","FirstCategoryId":"1085","ListUrlMain":"https://doi.org/10.14744/SEMB.2023.45578","RegionNum":0,"RegionCategory":null,"ArticlePicture":[],"TitleCN":null,"AbstractTextCN":null,"PMCID":null,"EPubDate":"2024/1/1 0:00:00","PubModel":"eCollection","JCR":"Q3","JCRName":"MEDICINE, GENERAL & INTERNAL","Score":null,"Total":0}
引用次数: 0

Abstract

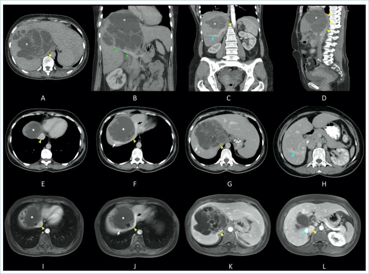
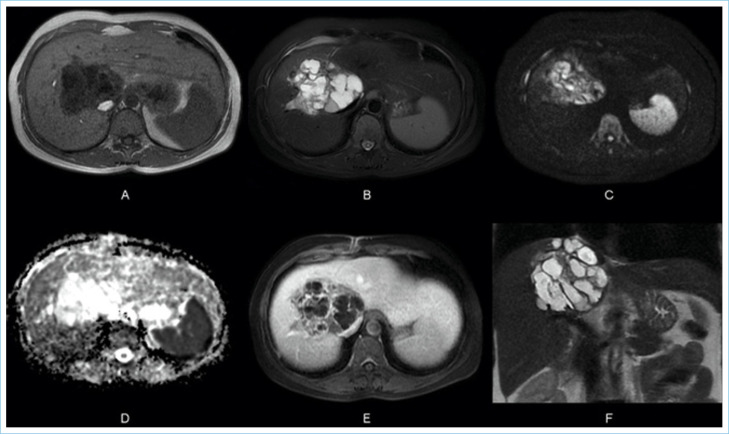
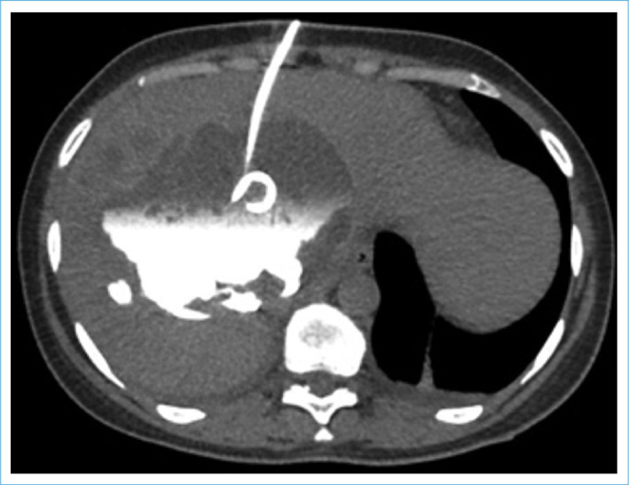
Biliary cystadenomas are uncommon lesions with clinical and radiological characteristics that overlap with other cystic liver lesions. Here, we intended to discuss a biliary cystadenoma found in a 37-year-old female patient who had been treated for a liver abscess and had been sent to our clinic with a long-term hydatid cyst diagnosis.

Abstract Image

Abstract Image

Abstract Image

一名入院接受经皮脓肿引流术的年轻患者意外发现伴有高度增生异常的胆囊腺瘤。
胆囊腺瘤是一种不常见的病变,其临床和放射学特征与其他肝脏囊性病变重叠。在此,我们打算讨论一名曾接受肝脓肿治疗的 37 岁女性患者的胆汁囊腺瘤,该患者因长期水瘤囊肿诊断而被送至我院就诊。
本文章由计算机程序翻译,如有差异,请以英文原文为准。
求助全文
约1分钟内获得全文 求助全文
来源期刊
Medical Bulletin of Sisli Etfal Hospital
Medical Bulletin of Sisli Etfal Hospital MEDICINE, GENERAL & INTERNAL-
自引率
16.70%
发文量
41
×
引用
GB/T 7714-2015
复制
MLA
复制
APA
复制
导出至
BibTeX EndNote RefMan NoteFirst NoteExpress
×
提示
您的信息不完整,为了账户安全,请先补充。
现在去补充
×
提示
您因"违规操作"
具体请查看互助需知
我知道了
×
提示
确定
请完成安全验证×
copy
已复制链接
快去分享给好友吧!
我知道了
右上角分享
点击右上角分享
0
联系我们:info@booksci.cn Book学术提供免费学术资源搜索服务,方便国内外学者检索中英文文献。致力于提供最便捷和优质的服务体验。 Copyright © 2023 布克学术 All rights reserved.
京ICP备2023020795号-1
ghs 京公网安备 11010802042870号
Book学术文献互助
Book学术文献互助群
群 号:604180095
Book学术官方微信