Effect of temperature on gonadal differentiation and growth of Leporinus friderici.

IF 2.1 4区 农林科学 Q2 AGRICULTURE, DAIRY & ANIMAL SCIENCE
Animal Reproduction Pub Date : 2024-07-15 eCollection Date: 2024-01-01 DOI:10.1590/1984-3143-AR2023-0158
Thiago Gonçalves de Souza, Mariana Roza de Abreu, Rafael Yutaka Kuradomi, Sergio Ricardo Batlouni
{"title":"Effect of temperature on gonadal differentiation and growth of <i>Leporinus friderici</i>.","authors":"Thiago Gonçalves de Souza, Mariana Roza de Abreu, Rafael Yutaka Kuradomi, Sergio Ricardo Batlouni","doi":"10.1590/1984-3143-AR2023-0158","DOIUrl":null,"url":null,"abstract":"<p><p>This study aimed to investigate the effect of temperature on gonadal differentiation, growth, survival, and sex ratio of <i>Leporinus friderici</i> reared at 25 °C or 29 °C from 50 to 240 days after eclosion (DAE) in a water recirculation system. A total of 110 fish at 50 DAE (6.7 ± 0.1 cm and 6.1 ± 0.3 g) were equally and randomly distributed in 10 boxes (90 L) (11 fish/box, 5 boxes/temperature). One fish from each experimental unit was randomly sampled at 50, 70, 90, 110, 130, 150, 170, 190, 210 and 240 DAE. Female gonadal differentiation started at 150 DAE (11.4 ± 0.0 cm and 16.4 ± 0.0 g) at 25 °C and at 170 DAE (10.7 ± 0.7 cm and 27.7 ± 8.5 g) at 29 ºC, while testes differentiation only occurred at 29 °C from 190 DAE (12.1 ± 0.0 cm and 38.0 ± 0.0 g). Of 50 fishes sampled in each condition, 17 (12 females and five males) and three (three females) displayed gonadal differentiation at 29 °C and 25 °C, respectively. Final biometric values at 29 °C were twice those obtained at 25 °C, reaching 13.9 ± 0.65 cm and 57.3 ± 10.12 g <i>versus</i> 11.2 ± 0.39 cm and 28.5 ± 2.95 g, respectively. While temperature clearly influenced gonadal differentiation and growth, it had inconclusive effects on sex ratio. The higher temperature (29 °C) has direct implications for the production of this species, as it accelerates growth without causing mortality.</p>","PeriodicalId":7889,"journal":{"name":"Animal Reproduction","volume":"21 2","pages":"e20230158"},"PeriodicalIF":2.1000,"publicationDate":"2024-07-15","publicationTypes":"Journal Article","fieldsOfStudy":null,"isOpenAccess":false,"openAccessPdf":"https://www.ncbi.nlm.nih.gov/pmc/articles/PMC11253782/pdf/","citationCount":"0","resultStr":null,"platform":"Semanticscholar","paperid":null,"PeriodicalName":"Animal Reproduction","FirstCategoryId":"97","ListUrlMain":"https://doi.org/10.1590/1984-3143-AR2023-0158","RegionNum":4,"RegionCategory":"农林科学","ArticlePicture":[],"TitleCN":null,"AbstractTextCN":null,"PMCID":null,"EPubDate":"2024/1/1 0:00:00","PubModel":"eCollection","JCR":"Q2","JCRName":"AGRICULTURE, DAIRY & ANIMAL SCIENCE","Score":null,"Total":0}
引用次数: 0

Abstract

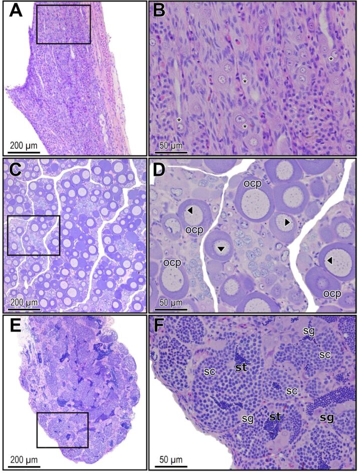
This study aimed to investigate the effect of temperature on gonadal differentiation, growth, survival, and sex ratio of Leporinus friderici reared at 25 °C or 29 °C from 50 to 240 days after eclosion (DAE) in a water recirculation system. A total of 110 fish at 50 DAE (6.7 ± 0.1 cm and 6.1 ± 0.3 g) were equally and randomly distributed in 10 boxes (90 L) (11 fish/box, 5 boxes/temperature). One fish from each experimental unit was randomly sampled at 50, 70, 90, 110, 130, 150, 170, 190, 210 and 240 DAE. Female gonadal differentiation started at 150 DAE (11.4 ± 0.0 cm and 16.4 ± 0.0 g) at 25 °C and at 170 DAE (10.7 ± 0.7 cm and 27.7 ± 8.5 g) at 29 ºC, while testes differentiation only occurred at 29 °C from 190 DAE (12.1 ± 0.0 cm and 38.0 ± 0.0 g). Of 50 fishes sampled in each condition, 17 (12 females and five males) and three (three females) displayed gonadal differentiation at 29 °C and 25 °C, respectively. Final biometric values at 29 °C were twice those obtained at 25 °C, reaching 13.9 ± 0.65 cm and 57.3 ± 10.12 g versus 11.2 ± 0.39 cm and 28.5 ± 2.95 g, respectively. While temperature clearly influenced gonadal differentiation and growth, it had inconclusive effects on sex ratio. The higher temperature (29 °C) has direct implications for the production of this species, as it accelerates growth without causing mortality.

Abstract Image

Abstract Image

Abstract Image

温度对 Leporinus friderici 性腺分化和生长的影响
本研究旨在探讨温度对出壳后50天至240天(DAE)在25 °C或29 °C水循环系统中饲养的Leporinus friderici的性腺分化、生长、存活率和性别比例的影响。在出壳后 50 DAE(6.7 ± 0.1 厘米,6.1 ± 0.3 克)时,将 110 尾鱼平均随机分配到 10 个箱(90 升)中(11 尾/箱,5 箱/温度)。每个实验单元在 50、70、90、110、130、150、170、190、210 和 240 DAE 时随机取样一条鱼。雌性性腺分化开始于 150 DAE(11.4 ± 0.0 cm 和 16.4 ± 0.0 g),温度为 25 °C,170 DAE(10.7 ± 0.7 cm 和 27.7 ± 8.5 g),温度为 29 °C,而睾丸分化只发生在 29 °C,从 190 DAE 开始(12.1 ± 0.0 cm 和 38.0 ± 0.0 g)。在每种条件下取样的 50 尾鱼中,分别有 17 尾(12 尾雌鱼和 5 尾雄鱼)和 3 尾(3 尾雌鱼)在 29 °C 和 25 °C 时出现性腺分化。29 °C时的最终生物测量值是25 °C时的两倍,分别为13.9 ± 0.65 cm和57.3 ± 10.12 g,而25 °C时为11.2 ± 0.39 cm和28.5 ± 2.95 g。虽然温度对性腺分化和生长有明显影响,但对性别比例的影响并不确定。较高的温度(29 °C)对该物种的生产有直接影响,因为它能加速生长而不会导致死亡。
本文章由计算机程序翻译,如有差异,请以英文原文为准。
求助全文
约1分钟内获得全文 求助全文
来源期刊
Animal Reproduction
Animal Reproduction AGRICULTURE, DAIRY & ANIMAL SCIENCE-
CiteScore
2.30
自引率
11.80%
发文量
49
审稿时长
70 days
期刊介绍: Animal Reproduction (AR) publishes original scientific papers and invited literature reviews, in the form of Basic Research, Biotechnology, Applied Research and Review Articles, with the goal of contributing to a better understanding of phenomena related to animal reproduction. The scope of the journal applies to students, researchers and practitioners in the fields of veterinary, biology and animal science, also being of interest to practitioners of human medicine. Animal Reproduction Journal is the official organ of the Brazilian College of Animal Reproduction in Brazil.
×
引用
GB/T 7714-2015
复制
MLA
复制
APA
复制
导出至
BibTeX EndNote RefMan NoteFirst NoteExpress
×
提示
您的信息不完整,为了账户安全,请先补充。
现在去补充
×
提示
您因"违规操作"
具体请查看互助需知
我知道了
×
提示
确定
请完成安全验证×
copy
已复制链接
快去分享给好友吧!
我知道了
右上角分享
点击右上角分享
0
联系我们:info@booksci.cn Book学术提供免费学术资源搜索服务,方便国内外学者检索中英文文献。致力于提供最便捷和优质的服务体验。 Copyright © 2023 布克学术 All rights reserved.
京ICP备2023020795号-1
ghs 京公网安备 11010802042870号
Book学术文献互助
Book学术文献互助群
群 号:604180095
Book学术官方微信