Recurrence of Quadruple Extramammary Paget's Disease after 12 Years: A Case Report and Literature Review.

IF 0.8 Q4 DERMATOLOGY
Case Reports in Dermatology Pub Date : 2024-06-17 eCollection Date: 2024-01-01 DOI:10.1159/000538675
Akihiro Ishiguro, Nobuhiko Iwashita, Michihiro Abe, Akina Ogawa, Tomohiro Takeo, Daisuke Watanabe
{"title":"Recurrence of Quadruple Extramammary Paget's Disease after 12 Years: A Case Report and Literature Review.","authors":"Akihiro Ishiguro, Nobuhiko Iwashita, Michihiro Abe, Akina Ogawa, Tomohiro Takeo, Daisuke Watanabe","doi":"10.1159/000538675","DOIUrl":null,"url":null,"abstract":"<p><strong>Introduction: </strong>Extramammary Paget's disease (EMPD) is a rare skin cancer that tends to be multicentric, with quadruple EMPD cases being scarcely reported.</p><p><strong>Case presentation: </strong>We report the case of an 81-year-old man with heterochronous quadruple EMPD. Twelve years after total resection of vulvar EMPD, the patient developed erythematous lesions on the resection margin in the lower abdomen, umbilical region, and both axillae. Histological examination revealed that all lesions were in situ EMPD.</p><p><strong>Discussion: </strong>We reviewed six reported cases of quadruple EMPD with respect to race, sex, site, recurrence, time to recurrence, serum carcinoembryonic antigen, and depth. All patients were elderly Japanese males. In all but one case, the lesions were located in the apocrine region, which is a common site in such as the genital and axillary areas. Our case was the only heterochronous quadruple EMPD. The lesions were limited to the epidermis; therefore, they were unlikely to cause metastasis. It has been reported that the therapeutic effects of imiquimod can be expected in in situ EMPD. Therefore, quadruple EMPD may be a good indication of treatment option.</p><p><strong>Conclusion: </strong>EMPD is a disease whose pathogenesis is not yet clear; however, it is hoped that the origin and aetiology of EMPD will be elucidated from the clinical features of multiple EMPD in the future.</p>","PeriodicalId":9619,"journal":{"name":"Case Reports in Dermatology","volume":"16 1","pages":"149-155"},"PeriodicalIF":0.8000,"publicationDate":"2024-06-17","publicationTypes":"Journal Article","fieldsOfStudy":null,"isOpenAccess":false,"openAccessPdf":"https://www.ncbi.nlm.nih.gov/pmc/articles/PMC11250610/pdf/","citationCount":"0","resultStr":null,"platform":"Semanticscholar","paperid":null,"PeriodicalName":"Case Reports in Dermatology","FirstCategoryId":"1085","ListUrlMain":"https://doi.org/10.1159/000538675","RegionNum":0,"RegionCategory":null,"ArticlePicture":[],"TitleCN":null,"AbstractTextCN":null,"PMCID":null,"EPubDate":"2024/1/1 0:00:00","PubModel":"eCollection","JCR":"Q4","JCRName":"DERMATOLOGY","Score":null,"Total":0}
引用次数: 0

Abstract

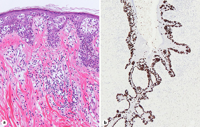
Introduction: Extramammary Paget's disease (EMPD) is a rare skin cancer that tends to be multicentric, with quadruple EMPD cases being scarcely reported.

Case presentation: We report the case of an 81-year-old man with heterochronous quadruple EMPD. Twelve years after total resection of vulvar EMPD, the patient developed erythematous lesions on the resection margin in the lower abdomen, umbilical region, and both axillae. Histological examination revealed that all lesions were in situ EMPD.

Discussion: We reviewed six reported cases of quadruple EMPD with respect to race, sex, site, recurrence, time to recurrence, serum carcinoembryonic antigen, and depth. All patients were elderly Japanese males. In all but one case, the lesions were located in the apocrine region, which is a common site in such as the genital and axillary areas. Our case was the only heterochronous quadruple EMPD. The lesions were limited to the epidermis; therefore, they were unlikely to cause metastasis. It has been reported that the therapeutic effects of imiquimod can be expected in in situ EMPD. Therefore, quadruple EMPD may be a good indication of treatment option.

Conclusion: EMPD is a disease whose pathogenesis is not yet clear; however, it is hoped that the origin and aetiology of EMPD will be elucidated from the clinical features of multiple EMPD in the future.

Abstract Image

Abstract Image

Abstract Image

12 年后复发的四联乳腺外 Paget 病:病例报告与文献综述
导言:乳腺外帕吉特氏病(EMPD)是一种罕见的皮肤癌,多为多中心性,四联EMPD病例鲜有报道:我们报告了一例 81 岁男性异型四联 EMPD 患者的病例。外阴EMPD全切除术后12年,患者下腹部、脐部和双侧腋窝的切除边缘出现红斑病变。组织学检查显示,所有病变均为原位 EMPD:我们就种族、性别、部位、复发、复发时间、血清癌胚抗原和深度等方面回顾了已报道的六例四联EMPD病例。所有患者均为日本老年男性。除一例外,其他病例的病灶均位于生殖器和腋窝等常见部位的分泌腺区域。我们的病例是唯一的异型四联EMPD。病变仅限于表皮,因此不太可能导致转移。据报道,咪喹莫特对原位 EMPD 有一定的治疗效果。因此,四联 EMPD 可能是治疗选择的良好指征:EMPD是一种发病机制尚不明确的疾病,但希望将来能从多发性EMPD的临床特征中阐明EMPD的起源和病因。
本文章由计算机程序翻译,如有差异,请以英文原文为准。
求助全文
约1分钟内获得全文 求助全文
来源期刊
CiteScore
1.60
自引率
0.00%
发文量
57
审稿时长
9 weeks
×
引用
GB/T 7714-2015
复制
MLA
复制
APA
复制
导出至
BibTeX EndNote RefMan NoteFirst NoteExpress
×
提示
您的信息不完整,为了账户安全,请先补充。
现在去补充
×
提示
您因"违规操作"
具体请查看互助需知
我知道了
×
提示
确定
请完成安全验证×
copy
已复制链接
快去分享给好友吧!
我知道了
右上角分享
点击右上角分享
0
联系我们:info@booksci.cn Book学术提供免费学术资源搜索服务,方便国内外学者检索中英文文献。致力于提供最便捷和优质的服务体验。 Copyright © 2023 布克学术 All rights reserved.
京ICP备2023020795号-1
ghs 京公网安备 11010802042870号
Book学术文献互助
Book学术文献互助群
群 号:604180095
Book学术官方微信