A Challenging Case of Reactive Angioendotheliomatosis.

IF 0.8 Q4 DERMATOLOGY
Case Reports in Dermatology Pub Date : 2024-07-05 eCollection Date: 2024-01-01 DOI:10.1159/000539775
Georgios Kravvas, Lola Meghoma, Victoria Vilenchik, Jon Oxley, Daniel J Keith
{"title":"A Challenging Case of Reactive Angioendotheliomatosis.","authors":"Georgios Kravvas, Lola Meghoma, Victoria Vilenchik, Jon Oxley, Daniel J Keith","doi":"10.1159/000539775","DOIUrl":null,"url":null,"abstract":"<p><strong>Introduction: </strong>Reactive angioendotheliomatosis (RAE) is a rare, benign, angioproliferative disorder with poorly understood aetiopathogenesis. It is characterised by vascular occlusion that occurs in patients with coexistent systemic or autoimmune disease.</p><p><strong>Case presentation: </strong>A 60-year-old female presented with an 8-week history of a painful, non-healing, and non-traumatic ulcer on the left thigh. Her past medical history included smoking, peripheral vascular disease (PVD) and previously treated rectal squamous cell carcinoma. The diagnosis of pyoderma gangrenosum with superimposed cellulitis was considered and treatment with oral antibiotics was initiated. Following failure to improve, a biopsy was undertaken leading to the diagnosis of RAE. The patient was referred for urgent consideration of surgical correction of PVD, but was deemed unsuitable for surgical treatment due to a poor performance status. The patient was treated with conservative measures, but her condition rapidly deteriorated and she passed away a few weeks later.</p><p><strong>Conclusion: </strong>RAE is notorious for mimicking a wide spectrum of diseases. It is an important differential diagnosis to consider in patients with non-healing ulceration and underlying systemic or autoimmune disorders. Our case raises awareness of this rare condition and the mortality that it carries if left untreated. In an attempt to reverse disease progression and mortality, we urge clinicians to attempt surgical correction of PVD even when faced with multiple comorbidities and poor performance status.</p>","PeriodicalId":9619,"journal":{"name":"Case Reports in Dermatology","volume":"16 1","pages":"186-189"},"PeriodicalIF":0.8000,"publicationDate":"2024-07-05","publicationTypes":"Journal Article","fieldsOfStudy":null,"isOpenAccess":false,"openAccessPdf":"https://www.ncbi.nlm.nih.gov/pmc/articles/PMC11250666/pdf/","citationCount":"0","resultStr":null,"platform":"Semanticscholar","paperid":null,"PeriodicalName":"Case Reports in Dermatology","FirstCategoryId":"1085","ListUrlMain":"https://doi.org/10.1159/000539775","RegionNum":0,"RegionCategory":null,"ArticlePicture":[],"TitleCN":null,"AbstractTextCN":null,"PMCID":null,"EPubDate":"2024/1/1 0:00:00","PubModel":"eCollection","JCR":"Q4","JCRName":"DERMATOLOGY","Score":null,"Total":0}
引用次数: 0

Abstract

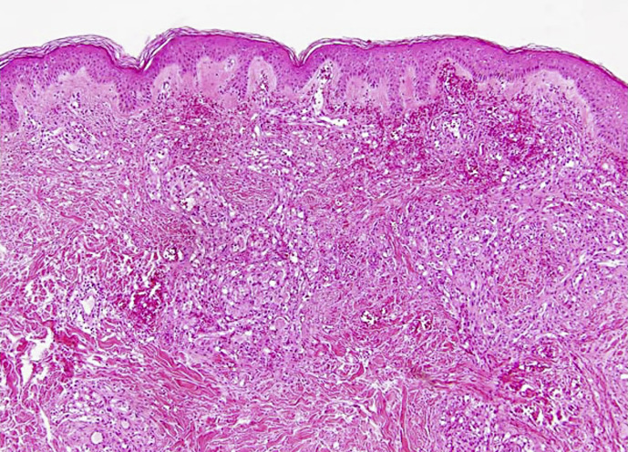
Introduction: Reactive angioendotheliomatosis (RAE) is a rare, benign, angioproliferative disorder with poorly understood aetiopathogenesis. It is characterised by vascular occlusion that occurs in patients with coexistent systemic or autoimmune disease.

Case presentation: A 60-year-old female presented with an 8-week history of a painful, non-healing, and non-traumatic ulcer on the left thigh. Her past medical history included smoking, peripheral vascular disease (PVD) and previously treated rectal squamous cell carcinoma. The diagnosis of pyoderma gangrenosum with superimposed cellulitis was considered and treatment with oral antibiotics was initiated. Following failure to improve, a biopsy was undertaken leading to the diagnosis of RAE. The patient was referred for urgent consideration of surgical correction of PVD, but was deemed unsuitable for surgical treatment due to a poor performance status. The patient was treated with conservative measures, but her condition rapidly deteriorated and she passed away a few weeks later.

Conclusion: RAE is notorious for mimicking a wide spectrum of diseases. It is an important differential diagnosis to consider in patients with non-healing ulceration and underlying systemic or autoimmune disorders. Our case raises awareness of this rare condition and the mortality that it carries if left untreated. In an attempt to reverse disease progression and mortality, we urge clinicians to attempt surgical correction of PVD even when faced with multiple comorbidities and poor performance status.

Abstract Image

Abstract Image

反应性血管内皮瘤病的棘手病例
导言:反应性血管内皮细胞瘤病(RAE)是一种罕见的良性血管增生性疾病,发病机制尚不清楚。它的特点是血管闭塞,发生在同时患有系统性或自身免疫性疾病的患者身上:病例介绍:一名 60 岁的女性患者因左大腿疼痛、不愈合和非创伤性溃疡就诊 8 周。她的既往病史包括吸烟、外周血管疾病(PVD)和曾接受过治疗的直肠鳞状细胞癌。考虑诊断为脓皮病合并蜂窝组织炎,并开始口服抗生素治疗。由于病情未见好转,医生对其进行了活组织检查,最终确诊为 RAE。患者被紧急转诊以考虑通过手术矫正 PVD,但由于表现不佳,被认为不适合手术治疗。患者接受了保守治疗,但病情迅速恶化,几周后去世:结论:RAE因可模拟多种疾病而臭名昭著。结论:RAE 可模拟多种疾病,是溃疡不愈合和潜在系统性或自身免疫性疾病患者需要考虑的重要鉴别诊断。我们的病例提高了人们对这种罕见疾病的认识,以及对这种疾病如不及时治疗可能导致的死亡的认识。为了逆转疾病的进展和死亡率,我们敦促临床医生即使面临多种并发症和不良的表现状态,也要尝试手术矫正 PVD。
本文章由计算机程序翻译,如有差异,请以英文原文为准。
求助全文
约1分钟内获得全文 求助全文
来源期刊
CiteScore
1.60
自引率
0.00%
发文量
57
审稿时长
9 weeks
×
引用
GB/T 7714-2015
复制
MLA
复制
APA
复制
导出至
BibTeX EndNote RefMan NoteFirst NoteExpress
×
提示
您的信息不完整,为了账户安全,请先补充。
现在去补充
×
提示
您因"违规操作"
具体请查看互助需知
我知道了
×
提示
确定
请完成安全验证×
copy
已复制链接
快去分享给好友吧!
我知道了
右上角分享
点击右上角分享
0
联系我们:info@booksci.cn Book学术提供免费学术资源搜索服务,方便国内外学者检索中英文文献。致力于提供最便捷和优质的服务体验。 Copyright © 2023 布克学术 All rights reserved.
京ICP备2023020795号-1
ghs 京公网安备 11010802042870号
Book学术文献互助
Book学术文献互助群
群 号:604180095
Book学术官方微信