Small cell carcinoma of uterine cervix: A case report.

IF 1 Q3 MEDICINE, GENERAL & INTERNAL
Danial Fazilat-Panah, Mohammad Hassan Emranpour, Babak PeyroShabany, Sara Rasta, Maedeh Alsadat Fatemi, Zeinab Nazari, Yavar Rajabzadeh
{"title":"Small cell carcinoma of uterine cervix: A case report.","authors":"Danial Fazilat-Panah, Mohammad Hassan Emranpour, Babak PeyroShabany, Sara Rasta, Maedeh Alsadat Fatemi, Zeinab Nazari, Yavar Rajabzadeh","doi":"10.22088/cjim.15.3.546","DOIUrl":null,"url":null,"abstract":"<p><strong>Background: </strong>Small cell carcinoma of cervix (SCCC) is a rare disease. SCCC is highly invasive and prone to distant metastatic spread and lymph node involvement. Here we aim to present a patient and her treatment.</p><p><strong>Case presentation: </strong>We report 47-year-old patient with history of breast cancer manifesting with abnormal vaginal bleeding diagnosed with SCCC. Patient underwent radical hysterectomy and bilateral salpingo-oophorectomy. Then, she received adjuvant chemoradiation postoperatively.</p><p><strong>Conclusion: </strong>Small cell carcinoma of cervix is an aggressive form of cervical cancer with poor prognosis. Optimal treatment remains unsettled.</p>","PeriodicalId":9646,"journal":{"name":"Caspian Journal of Internal Medicine","volume":"15 3","pages":"546-552"},"PeriodicalIF":1.0000,"publicationDate":"2024-01-01","publicationTypes":"Journal Article","fieldsOfStudy":null,"isOpenAccess":false,"openAccessPdf":"https://www.ncbi.nlm.nih.gov/pmc/articles/PMC11246693/pdf/","citationCount":"0","resultStr":null,"platform":"Semanticscholar","paperid":null,"PeriodicalName":"Caspian Journal of Internal Medicine","FirstCategoryId":"1085","ListUrlMain":"https://doi.org/10.22088/cjim.15.3.546","RegionNum":0,"RegionCategory":null,"ArticlePicture":[],"TitleCN":null,"AbstractTextCN":null,"PMCID":null,"EPubDate":"","PubModel":"","JCR":"Q3","JCRName":"MEDICINE, GENERAL & INTERNAL","Score":null,"Total":0}
引用次数: 0

Abstract

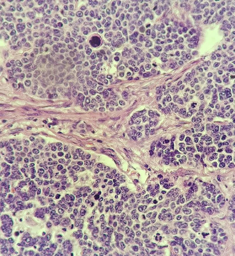
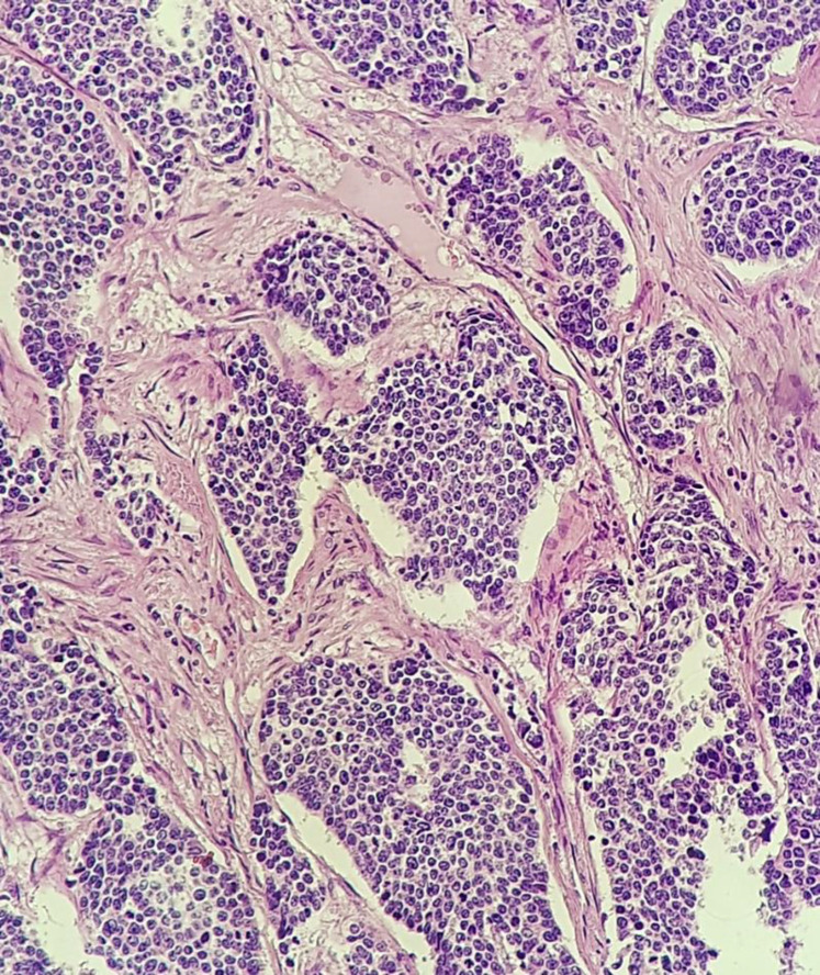
Background: Small cell carcinoma of cervix (SCCC) is a rare disease. SCCC is highly invasive and prone to distant metastatic spread and lymph node involvement. Here we aim to present a patient and her treatment.

Case presentation: We report 47-year-old patient with history of breast cancer manifesting with abnormal vaginal bleeding diagnosed with SCCC. Patient underwent radical hysterectomy and bilateral salpingo-oophorectomy. Then, she received adjuvant chemoradiation postoperatively.

Conclusion: Small cell carcinoma of cervix is an aggressive form of cervical cancer with poor prognosis. Optimal treatment remains unsettled.

Abstract Image

Abstract Image

Abstract Image

子宫颈小细胞癌:病例报告
背景:宫颈小细胞癌(SCCC)是一种罕见疾病。SCCC 侵袭性强,易发生远处转移和淋巴结受累。在此,我们旨在介绍一名患者及其治疗情况:我们报告了一名 47 岁的患者,她曾患乳腺癌,并伴有异常阴道出血,被诊断为 SCCC。患者接受了根治性子宫切除术和双侧输卵管切除术。术后接受了辅助化疗:结论:宫颈小细胞癌是一种侵袭性宫颈癌,预后较差。结论:宫颈小细胞癌是一种预后较差的侵袭性宫颈癌,其最佳治疗方法仍未确定。
本文章由计算机程序翻译,如有差异,请以英文原文为准。
求助全文
约1分钟内获得全文 求助全文
来源期刊
Caspian Journal of Internal Medicine
Caspian Journal of Internal Medicine MEDICINE, GENERAL & INTERNAL-
CiteScore
1.90
自引率
7.10%
发文量
90
审稿时长
20 weeks
×
引用
GB/T 7714-2015
复制
MLA
复制
APA
复制
导出至
BibTeX EndNote RefMan NoteFirst NoteExpress
×
提示
您的信息不完整,为了账户安全,请先补充。
现在去补充
×
提示
您因"违规操作"
具体请查看互助需知
我知道了
×
提示
确定
请完成安全验证×
copy
已复制链接
快去分享给好友吧!
我知道了
右上角分享
点击右上角分享
0
联系我们:info@booksci.cn Book学术提供免费学术资源搜索服务,方便国内外学者检索中英文文献。致力于提供最便捷和优质的服务体验。 Copyright © 2023 布克学术 All rights reserved.
京ICP备2023020795号-1
ghs 京公网安备 11010802042870号
Book学术文献互助
Book学术文献互助群
群 号:604180095
Book学术官方微信