Unilateral alacrimia as a presenting symptom of Meckel's cave tumour.

GMS ophthalmology cases Pub Date : 2024-06-25 eCollection Date: 2024-01-01 DOI:10.3205/oc000241
Ignacio Manuel López Miñarro, Laura Prieto Domínguez, Víctor Manuel Asensio-Sánchez
{"title":"Unilateral alacrimia as a presenting symptom of Meckel's cave tumour.","authors":"Ignacio Manuel López Miñarro, Laura Prieto Domínguez, Víctor Manuel Asensio-Sánchez","doi":"10.3205/oc000241","DOIUrl":null,"url":null,"abstract":"<p><p>Meckel's cave tumour, a rare benign tumour originating from the Schwann cells surrounding the trigeminal nerve within the Meckel's cave region, can present with a variety of clinical manifestations. We report a case of a 44-year-old male patient who presented with symptoms of tear deficiency, including dryness, ocular discomfort, and blurred vision. Diagnostic evaluation revealed the presence of a Meckel's cave tumour harming the trigeminal nerve, leading to alacrimia. This case highlights the association between Meckel's cave tumour and tear deficiency disorders.</p>","PeriodicalId":73178,"journal":{"name":"GMS ophthalmology cases","volume":"14 ","pages":"Doc09"},"PeriodicalIF":0.0000,"publicationDate":"2024-06-25","publicationTypes":"Journal Article","fieldsOfStudy":null,"isOpenAccess":false,"openAccessPdf":"https://www.ncbi.nlm.nih.gov/pmc/articles/PMC11238642/pdf/","citationCount":"0","resultStr":null,"platform":"Semanticscholar","paperid":null,"PeriodicalName":"GMS ophthalmology cases","FirstCategoryId":"1085","ListUrlMain":"https://doi.org/10.3205/oc000241","RegionNum":0,"RegionCategory":null,"ArticlePicture":[],"TitleCN":null,"AbstractTextCN":null,"PMCID":null,"EPubDate":"2024/1/1 0:00:00","PubModel":"eCollection","JCR":"","JCRName":"","Score":null,"Total":0}
引用次数: 0

Abstract

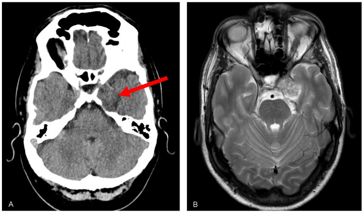
Meckel's cave tumour, a rare benign tumour originating from the Schwann cells surrounding the trigeminal nerve within the Meckel's cave region, can present with a variety of clinical manifestations. We report a case of a 44-year-old male patient who presented with symptoms of tear deficiency, including dryness, ocular discomfort, and blurred vision. Diagnostic evaluation revealed the presence of a Meckel's cave tumour harming the trigeminal nerve, leading to alacrimia. This case highlights the association between Meckel's cave tumour and tear deficiency disorders.

Abstract Image

Abstract Image

作为梅克尔洞穴瘤首发症状的单侧白细胞增多症。
梅克尔穴肿瘤是一种罕见的良性肿瘤,起源于梅克尔穴区域内三叉神经周围的许旺细胞,临床表现多种多样。我们报告了一例 44 岁男性患者的病例,该患者出现泪液缺乏症状,包括眼干、眼部不适和视力模糊。诊断评估显示,患者的三叉神经受到梅克尔氏洞穴瘤的损害,从而导致白内障。本病例强调了梅克尔穴肿瘤与泪液缺乏症之间的关联。
本文章由计算机程序翻译,如有差异,请以英文原文为准。
求助全文
约1分钟内获得全文 求助全文
来源期刊
自引率
0.00%
发文量
0
审稿时长
6 weeks
×
引用
GB/T 7714-2015
复制
MLA
复制
APA
复制
导出至
BibTeX EndNote RefMan NoteFirst NoteExpress
×
提示
您的信息不完整,为了账户安全,请先补充。
现在去补充
×
提示
您因"违规操作"
具体请查看互助需知
我知道了
×
提示
确定
请完成安全验证×
copy
已复制链接
快去分享给好友吧!
我知道了
右上角分享
点击右上角分享
0
联系我们:info@booksci.cn Book学术提供免费学术资源搜索服务,方便国内外学者检索中英文文献。致力于提供最便捷和优质的服务体验。 Copyright © 2023 布克学术 All rights reserved.
京ICP备2023020795号-1
ghs 京公网安备 11010802042870号
Book学术文献互助
Book学术文献互助群
群 号:604180095
Book学术官方微信