Bilateral reversible optic neuropathy as the first sign of Waldenström macroglobulinema.

GMS ophthalmology cases Pub Date : 2024-06-25 eCollection Date: 2024-01-01 DOI:10.3205/oc000240
Yoshiaki Shimada, Yoshiki Akatsuka, Kazuya Nokura
{"title":"Bilateral reversible optic neuropathy as the first sign of Waldenström macroglobulinema.","authors":"Yoshiaki Shimada, Yoshiki Akatsuka, Kazuya Nokura","doi":"10.3205/oc000240","DOIUrl":null,"url":null,"abstract":"<p><strong>Objective: </strong>To report a case of bilateral reversible optic neuropathy as the first sign of Waldenström macroglobulinemia (WM).</p><p><strong>Methods: </strong>Observational case report.</p><p><strong>Results: </strong>A 52-year-old man had a sudden loss of vision in the left eye. Examinations revealed the presence of a serum monoclonal immunoglobulin (IgM kappa) in the serum. Even after a session of steroid pulse therapy, optic neuropathy became bilateral and then resolved almost completely after 4 months. The condition progressed to WM with multiorgan lesions years later. There was no evidence of optic neuropathy recurrence. The literature revealed two cases of monoclonal gammopathy (MG): a 64-year-old man with multiple myeloma (MM) with IgA lambda and a 51-year-old man with MM with IgG kappa. These cases have similar conditions: 1) visual reduction as an initial symptom of MG, 2) bilateral involvement, 3) no sign of central nervous system (CNS) infiltration shown by normal brain magnetic resonance images, and 4) recovery to a visual acuity of ≥1.0 bilaterally with no reoccurrence. The excessive Igs or B-cell hyperactivity may activate an autoimmune mechanism that reversibly interferes with the bilateral optic nerves.</p><p><strong>Conclusion: </strong>Bilateral optic neuropathy was the initial symptom of WM. There was no evidence of CNS infiltration; it recovered and then did not reoccur. The pathogenesis remained unknown, but two cases of MG were reported in the literature with remarkably similar conditions.</p>","PeriodicalId":73178,"journal":{"name":"GMS ophthalmology cases","volume":"14 ","pages":"Doc08"},"PeriodicalIF":0.0000,"publicationDate":"2024-06-25","publicationTypes":"Journal Article","fieldsOfStudy":null,"isOpenAccess":false,"openAccessPdf":"https://www.ncbi.nlm.nih.gov/pmc/articles/PMC11238641/pdf/","citationCount":"0","resultStr":null,"platform":"Semanticscholar","paperid":null,"PeriodicalName":"GMS ophthalmology cases","FirstCategoryId":"1085","ListUrlMain":"https://doi.org/10.3205/oc000240","RegionNum":0,"RegionCategory":null,"ArticlePicture":[],"TitleCN":null,"AbstractTextCN":null,"PMCID":null,"EPubDate":"2024/1/1 0:00:00","PubModel":"eCollection","JCR":"","JCRName":"","Score":null,"Total":0}
引用次数: 0

Abstract

Objective: To report a case of bilateral reversible optic neuropathy as the first sign of Waldenström macroglobulinemia (WM).

Methods: Observational case report.

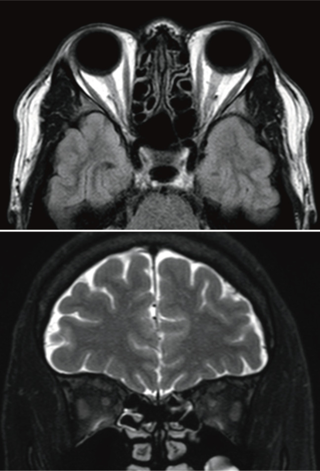
Results: A 52-year-old man had a sudden loss of vision in the left eye. Examinations revealed the presence of a serum monoclonal immunoglobulin (IgM kappa) in the serum. Even after a session of steroid pulse therapy, optic neuropathy became bilateral and then resolved almost completely after 4 months. The condition progressed to WM with multiorgan lesions years later. There was no evidence of optic neuropathy recurrence. The literature revealed two cases of monoclonal gammopathy (MG): a 64-year-old man with multiple myeloma (MM) with IgA lambda and a 51-year-old man with MM with IgG kappa. These cases have similar conditions: 1) visual reduction as an initial symptom of MG, 2) bilateral involvement, 3) no sign of central nervous system (CNS) infiltration shown by normal brain magnetic resonance images, and 4) recovery to a visual acuity of ≥1.0 bilaterally with no reoccurrence. The excessive Igs or B-cell hyperactivity may activate an autoimmune mechanism that reversibly interferes with the bilateral optic nerves.

Conclusion: Bilateral optic neuropathy was the initial symptom of WM. There was no evidence of CNS infiltration; it recovered and then did not reoccur. The pathogenesis remained unknown, but two cases of MG were reported in the literature with remarkably similar conditions.

Abstract Image

Abstract Image

双侧可逆性视神经病变是瓦尔登斯特伦巨球蛋白症的首发症状。
摘要报告一例以双侧可逆性视神经病变作为瓦尔登斯特伦巨球蛋白血症(WM)首发症状的病例:方法:观察性病例报告:结果:一名 52 岁的男性左眼突然失明。检查发现血清中存在单克隆免疫球蛋白(IgM kappa)。即使在接受了一个疗程的类固醇脉冲治疗后,视神经病变仍变成了双侧,4 个月后几乎完全缓解。几年后,病情发展为伴有多器官病变的 WM。没有证据表明视神经病变复发。文献中发现了两例单克隆丙种球蛋白病(MG)病例:一名是 64 岁的多发性骨髓瘤(MM)患者,患有 IgA lambda;另一名是 51 岁的多发性骨髓瘤(MM)患者,患有 IgG kappa。这些病例的情况相似:1)视力下降是多发性骨髓瘤的最初症状;2)双侧受累;3)正常脑磁共振图像未显示中枢神经系统(CNS)浸润的迹象;4)双侧视力恢复至≥1.0,且未再发病。过量的 Igs 或 B 细胞过度活跃可能会激活一种自身免疫机制,从而可逆地干扰双侧视神经:结论:双侧视神经病变是 WM 的首发症状。结论:双侧视神经病变是 WM 的最初症状,没有中枢神经系统浸润的证据;病变恢复后不再复发。发病机制仍然不明,但文献中报道了两例情况极为相似的 MG。
本文章由计算机程序翻译,如有差异,请以英文原文为准。
求助全文
约1分钟内获得全文 求助全文
来源期刊
自引率
0.00%
发文量
0
审稿时长
6 weeks
×
引用
GB/T 7714-2015
复制
MLA
复制
APA
复制
导出至
BibTeX EndNote RefMan NoteFirst NoteExpress
×
提示
您的信息不完整,为了账户安全,请先补充。
现在去补充
×
提示
您因"违规操作"
具体请查看互助需知
我知道了
×
提示
确定
请完成安全验证×
copy
已复制链接
快去分享给好友吧!
我知道了
右上角分享
点击右上角分享
0
联系我们:info@booksci.cn Book学术提供免费学术资源搜索服务,方便国内外学者检索中英文文献。致力于提供最便捷和优质的服务体验。 Copyright © 2023 布克学术 All rights reserved.
京ICP备2023020795号-1
ghs 京公网安备 11010802042870号
Book学术文献互助
Book学术文献互助群
群 号:604180095
Book学术官方微信