Relevance of the correlation between tomography findings and laboratory test results in the accuracy of the diagnosis of pulmonary tuberculosis.

Q3 Medicine
Radiologia Brasileira Pub Date : 2024-05-07 eCollection Date: 2024-01-01 DOI:10.1590/0100-3984.2023.0079-en
Daniel Lopes da Cunha, Maria Lucia Rossetti, Evaldo Teixeira Nunes, Eduardo Bruno Lobato Martins, Aila de Menezes Ferreira, Sariane Coelho Ribeiro
{"title":"Relevance of the correlation between tomography findings and laboratory test results in the accuracy of the diagnosis of pulmonary tuberculosis.","authors":"Daniel Lopes da Cunha, Maria Lucia Rossetti, Evaldo Teixeira Nunes, Eduardo Bruno Lobato Martins, Aila de Menezes Ferreira, Sariane Coelho Ribeiro","doi":"10.1590/0100-3984.2023.0079-en","DOIUrl":null,"url":null,"abstract":"<p><strong>Objective: </strong>To evaluate the correlation between multidetector computed tomography (MDCT) findings and laboratory test results in patients with pulmonary tuberculosis (PTB).</p><p><strong>Materials and methods: </strong>A total of 57 patients were evaluated. Patients with suspected PTB were divided into groups according to the final diagnosis (confirmed or excluded), and the groups were compared in terms of sociodemographic variables, clinical symptoms, tomography findings, and laboratory test results.</p><p><strong>Results: </strong>Among the patients with a confirmed diagnosis of PTB, small pulmonary nodules with a peribronchovascular distribution were significantly more common in the patients with a positive sputum smear microscopy result (47.4% vs. 8.3%; <i>p</i> = 0.046), as were a miliary pattern (36.8% vs. 0.0%; <i>p</i> = 0.026), septal thickening (84.2% vs. 41.7%; <i>p</i> = 0.021), and lymph node enlargement (52.6% vs. 8.3%; <i>p</i> = 0.020). Small pulmonary nodules with a centrilobular distribution were significantly more common among the culture-positive patients (75.0% vs. 35.7%; <i>p</i> = 0.045), as was a tree-in-bud pattern (91.7% vs. 42.9%; <i>p</i> = 0.014). A tree-in-bud pattern, one of the main tomography findings characteristic of PTB, had a sensitivity, specificity, positive predictive value, and negative predictive value of 71.0%, 73.1%, 75.9%, and 67.9%, respectively.</p><p><strong>Conclusion: </strong>MDCT presented reliable predictive values for the main tomography findings in the diagnosis of PTB, being a safe tool for the diagnosis of PTB in patients with clinical suspicion of the disease. It also appears to be a suitable tool for the selection of patients who are candidates for more complex, invasive examinations from among those with high clinical suspicion of PTB and a negative sputum smear microscopy result.</p>","PeriodicalId":20842,"journal":{"name":"Radiologia Brasileira","volume":"57 ","pages":"e20230079en"},"PeriodicalIF":0.0000,"publicationDate":"2024-05-07","publicationTypes":"Journal Article","fieldsOfStudy":null,"isOpenAccess":false,"openAccessPdf":"https://www.ncbi.nlm.nih.gov/pmc/articles/PMC11235076/pdf/","citationCount":"0","resultStr":null,"platform":"Semanticscholar","paperid":null,"PeriodicalName":"Radiologia Brasileira","FirstCategoryId":"1085","ListUrlMain":"https://doi.org/10.1590/0100-3984.2023.0079-en","RegionNum":0,"RegionCategory":null,"ArticlePicture":[],"TitleCN":null,"AbstractTextCN":null,"PMCID":null,"EPubDate":"2024/1/1 0:00:00","PubModel":"eCollection","JCR":"Q3","JCRName":"Medicine","Score":null,"Total":0}
引用次数: 0

Abstract

Objective: To evaluate the correlation between multidetector computed tomography (MDCT) findings and laboratory test results in patients with pulmonary tuberculosis (PTB).

Materials and methods: A total of 57 patients were evaluated. Patients with suspected PTB were divided into groups according to the final diagnosis (confirmed or excluded), and the groups were compared in terms of sociodemographic variables, clinical symptoms, tomography findings, and laboratory test results.

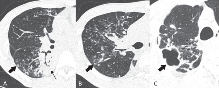
Results: Among the patients with a confirmed diagnosis of PTB, small pulmonary nodules with a peribronchovascular distribution were significantly more common in the patients with a positive sputum smear microscopy result (47.4% vs. 8.3%; p = 0.046), as were a miliary pattern (36.8% vs. 0.0%; p = 0.026), septal thickening (84.2% vs. 41.7%; p = 0.021), and lymph node enlargement (52.6% vs. 8.3%; p = 0.020). Small pulmonary nodules with a centrilobular distribution were significantly more common among the culture-positive patients (75.0% vs. 35.7%; p = 0.045), as was a tree-in-bud pattern (91.7% vs. 42.9%; p = 0.014). A tree-in-bud pattern, one of the main tomography findings characteristic of PTB, had a sensitivity, specificity, positive predictive value, and negative predictive value of 71.0%, 73.1%, 75.9%, and 67.9%, respectively.

Conclusion: MDCT presented reliable predictive values for the main tomography findings in the diagnosis of PTB, being a safe tool for the diagnosis of PTB in patients with clinical suspicion of the disease. It also appears to be a suitable tool for the selection of patients who are candidates for more complex, invasive examinations from among those with high clinical suspicion of PTB and a negative sputum smear microscopy result.

Abstract Image

断层扫描结果与实验室检测结果之间的相关性对肺结核诊断准确性的影响。
摘要评估肺结核(PTB)患者的多载体计算机断层扫描(MDCT)结果与实验室检查结果之间的相关性:共评估了 57 名患者。根据最终诊断(确诊或排除)将疑似肺结核患者分为几组,并对各组的社会人口学变量、临床症状、断层扫描结果和实验室检测结果进行比较:结果:在确诊为肺结核的患者中,痰涂片显微镜检查结果为阳性的患者中,肺血管周围分布的小结节明显更常见(47.4% vs. 8.3%; p = 0.046),以及呈乳头状(36.8% vs. 0.0%; p = 0.026)、室间隔增厚(84.2% vs. 41.7%; p = 0.021)和淋巴结肿大(52.6% vs. 8.3%; p = 0.020)。在培养阳性的患者中,呈中心叶状分布的肺小结节明显更常见(75.0% vs. 35.7%;p = 0.045),树中芽模式也更常见(91.7% vs. 42.9%;p = 0.014)。作为 PTB 特征性的主要断层扫描结果之一,"树中芽 "模式的敏感性、特异性、阳性预测值和阴性预测值分别为 71.0%、73.1%、75.9% 和 67.9%:MDCT对诊断肺结核的主要断层扫描结果具有可靠的预测值,是临床怀疑肺结核患者诊断肺结核的安全工具。它似乎也是一种合适的工具,可从临床高度怀疑患有肺结核且痰涂片镜检结果阴性的患者中筛选出需要进行更复杂的侵入性检查的患者。
本文章由计算机程序翻译,如有差异,请以英文原文为准。
求助全文
约1分钟内获得全文 求助全文
来源期刊
Radiologia Brasileira
Radiologia Brasileira Medicine-Radiology, Nuclear Medicine and Imaging
CiteScore
2.60
自引率
0.00%
发文量
75
审稿时长
28 weeks
×
引用
GB/T 7714-2015
复制
MLA
复制
APA
复制
导出至
BibTeX EndNote RefMan NoteFirst NoteExpress
×
提示
您的信息不完整,为了账户安全,请先补充。
现在去补充
×
提示
您因"违规操作"
具体请查看互助需知
我知道了
×
提示
确定
请完成安全验证×
copy
已复制链接
快去分享给好友吧!
我知道了
右上角分享
点击右上角分享
0
联系我们:info@booksci.cn Book学术提供免费学术资源搜索服务,方便国内外学者检索中英文文献。致力于提供最便捷和优质的服务体验。 Copyright © 2023 布克学术 All rights reserved.
京ICP备2023020795号-1
ghs 京公网安备 11010802042870号
Book学术文献互助
Book学术文献互助群
群 号:604180095
Book学术官方微信