Surgical approach with minimally invasive intervention in lusoria dysphagia.

Carlos Alcántara-Noguez, Desireé Leines-Castelán, Aarón E Buenabad-Hernández, Alejandra Contreras-Ramos, Sergio Ruiz-González, Patricia Romero-Cardenas, Alejandro Bolio-Cerdan
{"title":"Surgical approach with minimally invasive intervention in lusoria dysphagia.","authors":"Carlos Alcántara-Noguez, Desireé Leines-Castelán, Aarón E Buenabad-Hernández, Alejandra Contreras-Ramos, Sergio Ruiz-González, Patricia Romero-Cardenas, Alejandro Bolio-Cerdan","doi":"10.24875/ACM.24000072","DOIUrl":null,"url":null,"abstract":"<p><p>The lusoria artery has a prevalence of 0.5-2% in the general population. The abnormal development of the aortic arch forms vascular rings around the trachea and esophagus, causing pressure on them and leading to characteristic symptoms such as chest pain, difficulty breathing, and/or swallowing. Conventionally, only the subclavian artery was severed to release the esophagus, as done in neonates. However, this can lead to long-term hypotrophy of the thoracic limb. The surgical intervention remains controversial, with limitations, and it is only to be performed when the patient presents with symptoms. In the following two cases, a two-stage minimally invasive approach is described: first, a left lateral minithoracotomy for lusoria artery sectioning, and second, a supraclavicular approach for reimplantation into the right carotid artery.</p>","PeriodicalId":93885,"journal":{"name":"Archivos de cardiologia de Mexico","volume":" ","pages":"55-58"},"PeriodicalIF":0.0000,"publicationDate":"2024-07-09","publicationTypes":"Journal Article","fieldsOfStudy":null,"isOpenAccess":false,"openAccessPdf":"https://www.ncbi.nlm.nih.gov/pmc/articles/PMC12148518/pdf/","citationCount":"0","resultStr":null,"platform":"Semanticscholar","paperid":null,"PeriodicalName":"Archivos de cardiologia de Mexico","FirstCategoryId":"1085","ListUrlMain":"https://doi.org/10.24875/ACM.24000072","RegionNum":0,"RegionCategory":null,"ArticlePicture":[],"TitleCN":null,"AbstractTextCN":null,"PMCID":null,"EPubDate":"","PubModel":"","JCR":"","JCRName":"","Score":null,"Total":0}
引用次数: 0

Abstract

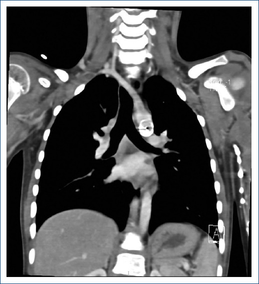
The lusoria artery has a prevalence of 0.5-2% in the general population. The abnormal development of the aortic arch forms vascular rings around the trachea and esophagus, causing pressure on them and leading to characteristic symptoms such as chest pain, difficulty breathing, and/or swallowing. Conventionally, only the subclavian artery was severed to release the esophagus, as done in neonates. However, this can lead to long-term hypotrophy of the thoracic limb. The surgical intervention remains controversial, with limitations, and it is only to be performed when the patient presents with symptoms. In the following two cases, a two-stage minimally invasive approach is described: first, a left lateral minithoracotomy for lusoria artery sectioning, and second, a supraclavicular approach for reimplantation into the right carotid artery.

Abstract Image

Abstract Image

Abstract Image

微创手术治疗吞咽困难。
在普通人群中,主动脉瘤的发病率为 0.5%-2%。主动脉弓的异常发育会在气管和食管周围形成血管环,对其造成压力,导致胸痛、呼吸困难和/或吞咽困难等特征性症状。传统的做法是只切断锁骨下动脉来释放食管,新生儿也是如此。然而,这会导致胸廓肢体长期萎缩。手术干预仍存在争议和局限性,只有在患者出现症状时才能进行。在以下两个病例中,描述了一种分两个阶段的微创方法:首先,进行左外侧小胸廓切开术,以切除肺动脉;其次,从锁骨上入路,将肺动脉重新植入右颈动脉。
本文章由计算机程序翻译,如有差异,请以英文原文为准。
求助全文
约1分钟内获得全文 求助全文
来源期刊
自引率
0.00%
发文量
0
×
引用
GB/T 7714-2015
复制
MLA
复制
APA
复制
导出至
BibTeX EndNote RefMan NoteFirst NoteExpress
×
提示
您的信息不完整,为了账户安全,请先补充。
现在去补充
×
提示
您因"违规操作"
具体请查看互助需知
我知道了
×
提示
确定
请完成安全验证×
copy
已复制链接
快去分享给好友吧!
我知道了
右上角分享
点击右上角分享
0
联系我们:info@booksci.cn Book学术提供免费学术资源搜索服务,方便国内外学者检索中英文文献。致力于提供最便捷和优质的服务体验。 Copyright © 2023 布克学术 All rights reserved.
京ICP备2023020795号-1
ghs 京公网安备 11010802042870号
Book学术文献互助
Book学术文献互助群
群 号:604180095
Book学术官方微信