Pink-on-pink: hepatocellular carcinoma metastatic to oncocytic carcinoma of the thyroid.

IF 2.9 Q1 PATHOLOGY
PATHOLOGICA Pub Date : 2024-06-01 DOI:10.32074/1591-951X-922
Marcello Maestri, Ottavia Cicerone, Alessia Messina, Anna Gallotti, Salvatore Corallo, Simone Mauramati, Pietro Canzi, Giacomo Fiandrino, Marco Paulli, Alessandro Vanoli
{"title":"Pink-on-pink: hepatocellular carcinoma metastatic to oncocytic carcinoma of the thyroid.","authors":"Marcello Maestri, Ottavia Cicerone, Alessia Messina, Anna Gallotti, Salvatore Corallo, Simone Mauramati, Pietro Canzi, Giacomo Fiandrino, Marco Paulli, Alessandro Vanoli","doi":"10.32074/1591-951X-922","DOIUrl":null,"url":null,"abstract":"<p><p>Hepatocellular carcinoma typically metastasizes within the liver and may involve extrahepatic sites such as the lungs, adrenal glands, and bones at advanced stages. However, hepatocellular carcinoma metastasis to the thyroid is very uncommon and tumor-to-tumor metastasis from a hepatocellular cancer to a thyroid neoplasm is extremely rare. In this report, we present a case of a 70-year-old man with a hepatocellular carcinoma metastasizing to oncocytic thyroid carcinoma, emphasizing the importance of clinical history and of a multidisciplinary approach, as well as the usefulness of site-specific immunohistochemical markers, in diagnosing and managing cases of Rosai's metastasis, especially when donor and recipient neoplasms share similar histologic features.</p>","PeriodicalId":45893,"journal":{"name":"PATHOLOGICA","volume":"116 3","pages":"158-162"},"PeriodicalIF":2.9000,"publicationDate":"2024-06-01","publicationTypes":"Journal Article","fieldsOfStudy":null,"isOpenAccess":false,"openAccessPdf":"https://www.ncbi.nlm.nih.gov/pmc/articles/PMC11447654/pdf/","citationCount":"0","resultStr":null,"platform":"Semanticscholar","paperid":null,"PeriodicalName":"PATHOLOGICA","FirstCategoryId":"1085","ListUrlMain":"https://doi.org/10.32074/1591-951X-922","RegionNum":0,"RegionCategory":null,"ArticlePicture":[],"TitleCN":null,"AbstractTextCN":null,"PMCID":null,"EPubDate":"","PubModel":"","JCR":"Q1","JCRName":"PATHOLOGY","Score":null,"Total":0}
引用次数: 0

Abstract

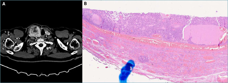
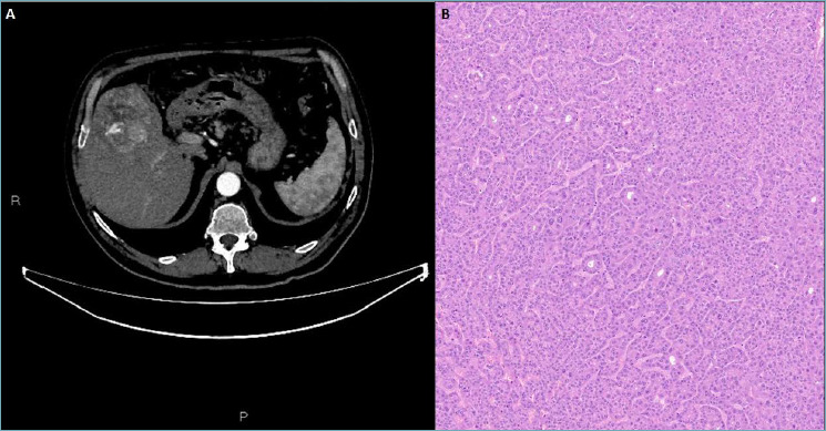
Hepatocellular carcinoma typically metastasizes within the liver and may involve extrahepatic sites such as the lungs, adrenal glands, and bones at advanced stages. However, hepatocellular carcinoma metastasis to the thyroid is very uncommon and tumor-to-tumor metastasis from a hepatocellular cancer to a thyroid neoplasm is extremely rare. In this report, we present a case of a 70-year-old man with a hepatocellular carcinoma metastasizing to oncocytic thyroid carcinoma, emphasizing the importance of clinical history and of a multidisciplinary approach, as well as the usefulness of site-specific immunohistochemical markers, in diagnosing and managing cases of Rosai's metastasis, especially when donor and recipient neoplasms share similar histologic features.

Abstract Image

Abstract Image

Abstract Image

粉红色对粉红色:肝细胞癌转移到甲状腺肿瘤细胞癌。
肝细胞癌通常会在肝脏内转移,晚期可能会累及肺、肾上腺和骨骼等肝外部位。然而,肝细胞癌转移到甲状腺的情况非常罕见,而且从肝细胞癌到甲状腺肿瘤的肿瘤间转移也极为罕见。在本报告中,我们介绍了一例70岁男性肝细胞癌转移至肿瘤性甲状腺癌的病例,强调了临床病史和多学科方法的重要性,以及部位特异性免疫组化标记物在诊断和处理罗赛转移病例中的作用,尤其是当供体和受体肿瘤具有相似的组织学特征时。
本文章由计算机程序翻译,如有差异,请以英文原文为准。
求助全文
约1分钟内获得全文 求助全文
来源期刊
PATHOLOGICA
PATHOLOGICA PATHOLOGY-
CiteScore
5.90
自引率
5.70%
发文量
108
×
引用
GB/T 7714-2015
复制
MLA
复制
APA
复制
导出至
BibTeX EndNote RefMan NoteFirst NoteExpress
×
提示
您的信息不完整,为了账户安全,请先补充。
现在去补充
×
提示
您因"违规操作"
具体请查看互助需知
我知道了
×
提示
确定
请完成安全验证×
copy
已复制链接
快去分享给好友吧!
我知道了
右上角分享
点击右上角分享
0
联系我们:info@booksci.cn Book学术提供免费学术资源搜索服务,方便国内外学者检索中英文文献。致力于提供最便捷和优质的服务体验。 Copyright © 2023 布克学术 All rights reserved.
京ICP备2023020795号-1
ghs 京公网安备 11010802042870号
Book学术文献互助
Book学术文献互助群
群 号:604180095
Book学术官方微信