Non-C19MC-altered embryonal tumor with multilayered rosettes in a young woman with DICER1 syndrome: case report and review of the literature.

IF 2.9 Q1 PATHOLOGY
PATHOLOGICA Pub Date : 2024-06-01 DOI:10.32074/1591-951X-970
María Concepción Campos Mármol, María Aguado, Teresa Ramón Y Cajal, Alberto Gallardo, Luis Catasús, Allan Gonzalez, Jorge Eliecer Méndez, Adriana Lasa, Montse Arumi, Oscar Gallego Rubio, Josep Balart Serra, Fernando Muñoz Hernandez, Andreas von Deimling, Felix K F Kommoss, Iñigo Espinosa
{"title":"Non-C19MC-altered embryonal tumor with multilayered rosettes in a young woman with DICER1 syndrome: case report and review of the literature.","authors":"María Concepción Campos Mármol, María Aguado, Teresa Ramón Y Cajal, Alberto Gallardo, Luis Catasús, Allan Gonzalez, Jorge Eliecer Méndez, Adriana Lasa, Montse Arumi, Oscar Gallego Rubio, Josep Balart Serra, Fernando Muñoz Hernandez, Andreas von Deimling, Felix K F Kommoss, Iñigo Espinosa","doi":"10.32074/1591-951X-970","DOIUrl":null,"url":null,"abstract":"<p><p>Embryonal tumors with multilayered rosettes (ETMR) are highly aggressive and therapy-resistant pediatric central nervous system (CNS) tumors that have three histological patters: embryonal tumor with abundant neuropil and true rosettes, ependymoblastoma, and medulloepithelioma. We present a case of ETMR in an 18-year-old woman with DICER1 syndrome. This report confirms the important role of DNA-methylation analysis in the classification of CNS embryonal tumors and the importance of investigating somatic and germline DICER1 mutations in all CNS embryonal tumors.</p>","PeriodicalId":45893,"journal":{"name":"PATHOLOGICA","volume":"116 3","pages":"170-175"},"PeriodicalIF":2.9000,"publicationDate":"2024-06-01","publicationTypes":"Journal Article","fieldsOfStudy":null,"isOpenAccess":false,"openAccessPdf":"https://www.ncbi.nlm.nih.gov/pmc/articles/PMC11447652/pdf/","citationCount":"0","resultStr":null,"platform":"Semanticscholar","paperid":null,"PeriodicalName":"PATHOLOGICA","FirstCategoryId":"1085","ListUrlMain":"https://doi.org/10.32074/1591-951X-970","RegionNum":0,"RegionCategory":null,"ArticlePicture":[],"TitleCN":null,"AbstractTextCN":null,"PMCID":null,"EPubDate":"","PubModel":"","JCR":"Q1","JCRName":"PATHOLOGY","Score":null,"Total":0}
引用次数: 0

Abstract

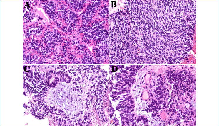
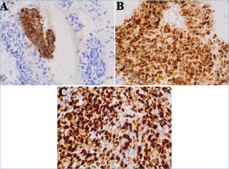
Embryonal tumors with multilayered rosettes (ETMR) are highly aggressive and therapy-resistant pediatric central nervous system (CNS) tumors that have three histological patters: embryonal tumor with abundant neuropil and true rosettes, ependymoblastoma, and medulloepithelioma. We present a case of ETMR in an 18-year-old woman with DICER1 syndrome. This report confirms the important role of DNA-methylation analysis in the classification of CNS embryonal tumors and the importance of investigating somatic and germline DICER1 mutations in all CNS embryonal tumors.

Abstract Image

Abstract Image

Abstract Image

一名患有 DICER1 综合征的年轻女性的非 C19MC 变异胚胎瘤伴多层玫瑰花簇:病例报告和文献综述。
多层片状胚胎瘤(ETMR)是一种侵袭性强、耐药性强的小儿中枢神经系统(CNS)肿瘤,有三种组织学形态:具有丰富神经鞘和真片状瘤的胚胎瘤、上皮母细胞瘤和髓上皮瘤。我们报告了一例患有 DICER1 综合征的 18 岁女性 ETMR 病例。该报告证实了 DNA 甲基化分析在中枢神经系统胚胎性肿瘤分类中的重要作用,以及在所有中枢神经系统胚胎性肿瘤中调查体细胞和种系 DICER1 基因突变的重要性。
本文章由计算机程序翻译,如有差异,请以英文原文为准。
求助全文
约1分钟内获得全文 求助全文
来源期刊
PATHOLOGICA
PATHOLOGICA PATHOLOGY-
CiteScore
5.90
自引率
5.70%
发文量
108
×
引用
GB/T 7714-2015
复制
MLA
复制
APA
复制
导出至
BibTeX EndNote RefMan NoteFirst NoteExpress
×
提示
您的信息不完整,为了账户安全,请先补充。
现在去补充
×
提示
您因"违规操作"
具体请查看互助需知
我知道了
×
提示
确定
请完成安全验证×
copy
已复制链接
快去分享给好友吧!
我知道了
右上角分享
点击右上角分享
0
联系我们:info@booksci.cn Book学术提供免费学术资源搜索服务,方便国内外学者检索中英文文献。致力于提供最便捷和优质的服务体验。 Copyright © 2023 布克学术 All rights reserved.
京ICP备2023020795号-1
ghs 京公网安备 11010802042870号
Book学术文献互助
Book学术文献互助群
群 号:604180095
Book学术官方微信