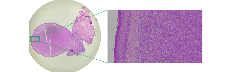
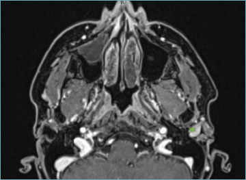
Melanoma of the external auditory canal: case report and systematic literature review.

IF 2.9 Q1 PATHOLOGY
PATHOLOGICA Pub Date : 2024-06-01 DOI:10.32074/1591-951X-980
Marco Demattè, Carlotta Liberale, Anna Bonsembiante, Marco Bottazzoli, Alessandro Ioppi, Alessandro La Boria, Alessandra Marcantoni, Pietro Perotti, Raffaele Rosaia, Vittorio Torta, Maria Grazia Zorzi, Ottavio Piccin
{"title":"Melanoma of the external auditory canal: case report and systematic literature review.","authors":"Marco Demattè, Carlotta Liberale, Anna Bonsembiante, Marco Bottazzoli, Alessandro Ioppi, Alessandro La Boria, Alessandra Marcantoni, Pietro Perotti, Raffaele Rosaia, Vittorio Torta, Maria Grazia Zorzi, Ottavio Piccin","doi":"10.32074/1591-951X-980","DOIUrl":null,"url":null,"abstract":"<p><p>Melanoma of the external auditory canal (EAC) is particularly rare and poorly understood, with limited available data on management and survival. This systematic review aims to analyze existing data and provide insights into the management and prognosis the beginning of EAC melanoma. It is conducted using Pubmed and Scopus databases from the beginning to July 2023 and it follows the Preferred Reporting Items for Systematic Reviews and Meta-Analysis (PRISMA) 2020 guidelines. Searches are performed using the search string \"(melanoma) AND (external auditory canal)\".</p><p><p>The review includes a total of 30 patients diagnosed with EAC melanoma, supplemented by an additional case from the authors' clinical experience. The role of Breslow thickness as a determining factor for the choice of surgery remains inconclusive due to limited available data. Sentinel lymph node biopsy and adjuvant therapy are sparingly employed, indicating the need for standardized guidelines. Patients in the study demonstrate a 50% overall survival rate at 5 years.</p><p><p>EAC Melanoma is a rare and aggressive malignancy with limited therapeutic guidelines. Surgical interventions, including wide local excision and lateral temporal bone resection, are the primary treatment options for patients without distant metastases.</p>","PeriodicalId":45893,"journal":{"name":"PATHOLOGICA","volume":"116 3","pages":"144-152"},"PeriodicalIF":2.9000,"publicationDate":"2024-06-01","publicationTypes":"Journal Article","fieldsOfStudy":null,"isOpenAccess":false,"openAccessPdf":"https://www.ncbi.nlm.nih.gov/pmc/articles/PMC11447658/pdf/","citationCount":"0","resultStr":null,"platform":"Semanticscholar","paperid":null,"PeriodicalName":"PATHOLOGICA","FirstCategoryId":"1085","ListUrlMain":"https://doi.org/10.32074/1591-951X-980","RegionNum":0,"RegionCategory":null,"ArticlePicture":[],"TitleCN":null,"AbstractTextCN":null,"PMCID":null,"EPubDate":"","PubModel":"","JCR":"Q1","JCRName":"PATHOLOGY","Score":null,"Total":0}
引用次数: 0

Abstract

Melanoma of the external auditory canal (EAC) is particularly rare and poorly understood, with limited available data on management and survival. This systematic review aims to analyze existing data and provide insights into the management and prognosis the beginning of EAC melanoma. It is conducted using Pubmed and Scopus databases from the beginning to July 2023 and it follows the Preferred Reporting Items for Systematic Reviews and Meta-Analysis (PRISMA) 2020 guidelines. Searches are performed using the search string "(melanoma) AND (external auditory canal)".

The review includes a total of 30 patients diagnosed with EAC melanoma, supplemented by an additional case from the authors' clinical experience. The role of Breslow thickness as a determining factor for the choice of surgery remains inconclusive due to limited available data. Sentinel lymph node biopsy and adjuvant therapy are sparingly employed, indicating the need for standardized guidelines. Patients in the study demonstrate a 50% overall survival rate at 5 years.

EAC Melanoma is a rare and aggressive malignancy with limited therapeutic guidelines. Surgical interventions, including wide local excision and lateral temporal bone resection, are the primary treatment options for patients without distant metastases.

Abstract Image

Abstract Image

Abstract Image

外耳道黑色素瘤:病例报告和系统文献综述。
外耳道(EAC)黑色素瘤尤其罕见,人们对其了解甚少,有关管理和存活率的可用数据也很有限。本系统性综述旨在分析现有数据,并提供有关外耳道黑色素瘤初期管理和预后的见解。本综述使用 Pubmed 和 Scopus 数据库,时间跨度从开始到 2023 年 7 月,并遵循《系统综述和荟萃分析首选报告项目》(PRISMA)2020 指南。该综述共纳入了30例确诊为EAC黑色素瘤的患者,并根据作者的临床经验补充了一例额外的病例。由于可用数据有限,布瑞斯洛厚度作为手术选择的决定性因素仍无定论。很少采用前哨淋巴结活检和辅助治疗,这表明需要制定标准化指南。EAC黑色素瘤是一种罕见的侵袭性恶性肿瘤,治疗指南有限。对于没有远处转移的患者,外科干预是主要的治疗选择,包括广泛局部切除和颞骨外侧切除。
本文章由计算机程序翻译,如有差异,请以英文原文为准。
求助全文
约1分钟内获得全文 求助全文
来源期刊
PATHOLOGICA
PATHOLOGICA PATHOLOGY-
CiteScore
5.90
自引率
5.70%
发文量
108
×
引用
GB/T 7714-2015
复制
MLA
复制
APA
复制
导出至
BibTeX EndNote RefMan NoteFirst NoteExpress
×
提示
您的信息不完整,为了账户安全,请先补充。
现在去补充
×
提示
您因"违规操作"
具体请查看互助需知
我知道了
×
提示
确定
请完成安全验证×
copy
已复制链接
快去分享给好友吧!
我知道了
右上角分享
点击右上角分享
0
联系我们:info@booksci.cn Book学术提供免费学术资源搜索服务,方便国内外学者检索中英文文献。致力于提供最便捷和优质的服务体验。 Copyright © 2023 布克学术 All rights reserved.
京ICP备2023020795号-1
ghs 京公网安备 11010802042870号
Book学术文献互助
Book学术文献互助群
群 号:604180095
Book学术官方微信