Concurrent presence of primary hemangioma and breast cancer metastasis within a lymph node: a case report inspired by the legacy of Professor Juan Rosai.

IF 2.9 Q1 PATHOLOGY
PATHOLOGICA Pub Date : 2024-06-01 DOI:10.32074/1591-951X-911
Mariia Ivanova, Marianna D'Ercole, Francesca Maria Porta, Benedetta Di Venosa, Chiara Frascarelli, Camillo Di Bella, Fabio Pagni, Elena Guerini-Rocco, Nicola Fusco
{"title":"Concurrent presence of primary hemangioma and breast cancer metastasis within a lymph node: a case report inspired by the legacy of Professor Juan Rosai.","authors":"Mariia Ivanova, Marianna D'Ercole, Francesca Maria Porta, Benedetta Di Venosa, Chiara Frascarelli, Camillo Di Bella, Fabio Pagni, Elena Guerini-Rocco, Nicola Fusco","doi":"10.32074/1591-951X-911","DOIUrl":null,"url":null,"abstract":"<p><p>Secondary neoplastic lesions in lymph nodes are predominantly metastases from solid tumors, whereas primary lymph node hemangiomas are exceptionally uncommon, with only 24 well-documented cases in the literature. Histologically, they are characterized by endothelial cells that may appear flattened or enlarged, with variable vascular density, and the presence of stromal elements. Notably, the concurrent presence of a primary hemangioma and a metastasis from breast cancer - the latter being the most prevalent secondary lesion in axillary lymph nodes - represents an unprecedented observation. The unique case presented herein underscores the exceptional rarity of primary lymph node hemangiomas and demonstrates for the first time their possible coexistence with breast cancer metastasis within the same axillary lymph node. In sharing and discussing this case study, we pay homage to Professor Juan Rosai, whose work in redefining rare and complex diagnoses continues to enlighten our understanding of lymph node vascular lesions.</p>","PeriodicalId":45893,"journal":{"name":"PATHOLOGICA","volume":"116 3","pages":"153-157"},"PeriodicalIF":2.9000,"publicationDate":"2024-06-01","publicationTypes":"Journal Article","fieldsOfStudy":null,"isOpenAccess":false,"openAccessPdf":"https://www.ncbi.nlm.nih.gov/pmc/articles/PMC11447657/pdf/","citationCount":"0","resultStr":null,"platform":"Semanticscholar","paperid":null,"PeriodicalName":"PATHOLOGICA","FirstCategoryId":"1085","ListUrlMain":"https://doi.org/10.32074/1591-951X-911","RegionNum":0,"RegionCategory":null,"ArticlePicture":[],"TitleCN":null,"AbstractTextCN":null,"PMCID":null,"EPubDate":"","PubModel":"","JCR":"Q1","JCRName":"PATHOLOGY","Score":null,"Total":0}
引用次数: 0

Abstract

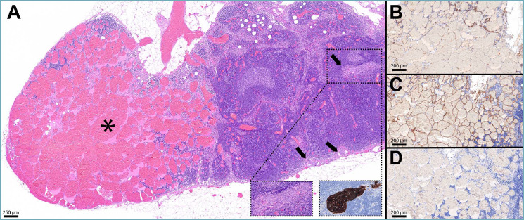
Secondary neoplastic lesions in lymph nodes are predominantly metastases from solid tumors, whereas primary lymph node hemangiomas are exceptionally uncommon, with only 24 well-documented cases in the literature. Histologically, they are characterized by endothelial cells that may appear flattened or enlarged, with variable vascular density, and the presence of stromal elements. Notably, the concurrent presence of a primary hemangioma and a metastasis from breast cancer - the latter being the most prevalent secondary lesion in axillary lymph nodes - represents an unprecedented observation. The unique case presented herein underscores the exceptional rarity of primary lymph node hemangiomas and demonstrates for the first time their possible coexistence with breast cancer metastasis within the same axillary lymph node. In sharing and discussing this case study, we pay homage to Professor Juan Rosai, whose work in redefining rare and complex diagnoses continues to enlighten our understanding of lymph node vascular lesions.

Abstract Image

Abstract Image

淋巴结内同时存在原发性血管瘤和乳腺癌转移:受胡安-罗赛教授遗产启发的病例报告。
淋巴结中的继发性肿瘤病变主要是实体瘤的转移,而原发性淋巴结血管瘤则非常罕见,文献中仅有 24 例记录详实的病例。从组织学角度看,淋巴结血管瘤的特点是内皮细胞扁平或增大,血管密度不一,并伴有基质成分。值得注意的是,原发性血管瘤和乳腺癌转移(后者是腋窝淋巴结最常见的继发性病变)同时存在,这是前所未有的观察结果。本文介绍的这一独特病例强调了原发性淋巴结血管瘤的罕见性,并首次证明了原发性淋巴结血管瘤与乳腺癌转移瘤可能同时存在于同一腋窝淋巴结中。通过分享和讨论这一病例研究,我们向胡安-罗赛教授表示敬意,他在重新定义罕见和复杂诊断方面所做的工作不断启迪我们对淋巴结血管病变的认识。
本文章由计算机程序翻译,如有差异,请以英文原文为准。
求助全文
约1分钟内获得全文 求助全文
来源期刊
PATHOLOGICA
PATHOLOGICA PATHOLOGY-
CiteScore
5.90
自引率
5.70%
发文量
108
×
引用
GB/T 7714-2015
复制
MLA
复制
APA
复制
导出至
BibTeX EndNote RefMan NoteFirst NoteExpress
×
提示
您的信息不完整,为了账户安全,请先补充。
现在去补充
×
提示
您因"违规操作"
具体请查看互助需知
我知道了
×
提示
确定
请完成安全验证×
copy
已复制链接
快去分享给好友吧!
我知道了
右上角分享
点击右上角分享
0
联系我们:info@booksci.cn Book学术提供免费学术资源搜索服务,方便国内外学者检索中英文文献。致力于提供最便捷和优质的服务体验。 Copyright © 2023 布克学术 All rights reserved.
京ICP备2023020795号-1
ghs 京公网安备 11010802042870号
Book学术文献互助
Book学术文献互助群
群 号:604180095
Book学术官方微信