Pathological and imaging features of pulmonary invasive mucinous adenocarcinoma-a retrospective cohort study.

IF 3.5 2区 医学 Q2 ONCOLOGY
Translational lung cancer research Pub Date : 2024-06-30 Epub Date: 2024-06-27 DOI:10.21037/tlcr-24-526
Xinfu Pan, Renxiu Fang, Binjie Zhang, Zhijun Chen, Shanhua Zhang, Hanbo Le, Helmut H Popper, Lu Liu, Yongkui Zhang
{"title":"Pathological and imaging features of pulmonary invasive mucinous adenocarcinoma-a retrospective cohort study.","authors":"Xinfu Pan, Renxiu Fang, Binjie Zhang, Zhijun Chen, Shanhua Zhang, Hanbo Le, Helmut H Popper, Lu Liu, Yongkui Zhang","doi":"10.21037/tlcr-24-526","DOIUrl":null,"url":null,"abstract":"<p><strong>Background: </strong>Pulmonary invasive mucinous adenocarcinoma (IMA) is a rare subtype of lung cancer which is easily misdiagnosed as inflammatory nodules, tuberculosis, pulmonary diffuse lesions, or hamartomas due to the lack of clinical specificity. This study aims to identify the pathological and imaging characteristics of IMA, which will favor to improve the diagnostic and therapeutic efficacy.</p><p><strong>Methods: </strong>A retrospective study was conducted by enrolling patients histopathologically diagnosed with pulmonary IMA in the current study between January 2014 and December 2021. The clinical pathological and radiological data were collected for analysis to evaluate the radiological patterns and pathological and molecular characteristics of IMA.</p><p><strong>Results: </strong>A total of 136 patients were included in the study, of whom 58 were male and 78 were female. The patients had an average age of 63.0±9.7 years. The tumors were classified into the following three pathological types: pure mucinous (76 cases) featured by only mucinous cells observed under the microscope; mixed mucinous (23 cases) featured as an attached-wall, papillary, acinar, and solid tumor cells with more than 10% mucinous cells.; and mucinous-absent (29 cases) featured with the absence of mucous cells, but still can detect more than 10% of mucin expresses. In terms of the morphological classification based on the CT scans, 88 (64.7%) cases were identified as the nodular type, 31 (22.8%) as the inflammatory type, 15 (11.1%) as the mass-like type, and two (1.5%) as the diffuse type. For the molecular features, patients afflicted with IMA showed much lower levels of thyroid transcription factor-1 (15%) than those with usual adenocarcinoma (over 80%). However, cytokeratin 20 was more common in IMA (50%) than the usual adenocarcinoma (about 5%). The K-RAS mutation was prevalent in 75% of IMA, which contrasted sharply to its occurrence in a mere 15% of the usual adenocarcinoma. Epidermal growth factor receptor mutations were rarer in IMA (less than 5%) than the usual adenocarcinoma (about 50%).</p><p><strong>Conclusions: </strong>The pathological and imaging features enrich our understanding of the disease's heterogeneity, which will contribute to more personalized diagnostic and therapeutic strategies.</p>","PeriodicalId":23271,"journal":{"name":"Translational lung cancer research","volume":"13 6","pages":"1376-1382"},"PeriodicalIF":3.5000,"publicationDate":"2024-06-30","publicationTypes":"Journal Article","fieldsOfStudy":null,"isOpenAccess":false,"openAccessPdf":"https://www.ncbi.nlm.nih.gov/pmc/articles/PMC11225052/pdf/","citationCount":"0","resultStr":null,"platform":"Semanticscholar","paperid":null,"PeriodicalName":"Translational lung cancer research","FirstCategoryId":"3","ListUrlMain":"https://doi.org/10.21037/tlcr-24-526","RegionNum":2,"RegionCategory":"医学","ArticlePicture":[],"TitleCN":null,"AbstractTextCN":null,"PMCID":null,"EPubDate":"2024/6/27 0:00:00","PubModel":"Epub","JCR":"Q2","JCRName":"ONCOLOGY","Score":null,"Total":0}
引用次数: 0

Abstract

Background: Pulmonary invasive mucinous adenocarcinoma (IMA) is a rare subtype of lung cancer which is easily misdiagnosed as inflammatory nodules, tuberculosis, pulmonary diffuse lesions, or hamartomas due to the lack of clinical specificity. This study aims to identify the pathological and imaging characteristics of IMA, which will favor to improve the diagnostic and therapeutic efficacy.

Methods: A retrospective study was conducted by enrolling patients histopathologically diagnosed with pulmonary IMA in the current study between January 2014 and December 2021. The clinical pathological and radiological data were collected for analysis to evaluate the radiological patterns and pathological and molecular characteristics of IMA.

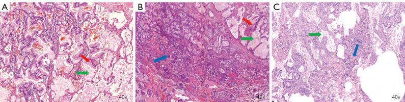
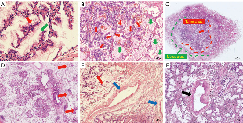
Results: A total of 136 patients were included in the study, of whom 58 were male and 78 were female. The patients had an average age of 63.0±9.7 years. The tumors were classified into the following three pathological types: pure mucinous (76 cases) featured by only mucinous cells observed under the microscope; mixed mucinous (23 cases) featured as an attached-wall, papillary, acinar, and solid tumor cells with more than 10% mucinous cells.; and mucinous-absent (29 cases) featured with the absence of mucous cells, but still can detect more than 10% of mucin expresses. In terms of the morphological classification based on the CT scans, 88 (64.7%) cases were identified as the nodular type, 31 (22.8%) as the inflammatory type, 15 (11.1%) as the mass-like type, and two (1.5%) as the diffuse type. For the molecular features, patients afflicted with IMA showed much lower levels of thyroid transcription factor-1 (15%) than those with usual adenocarcinoma (over 80%). However, cytokeratin 20 was more common in IMA (50%) than the usual adenocarcinoma (about 5%). The K-RAS mutation was prevalent in 75% of IMA, which contrasted sharply to its occurrence in a mere 15% of the usual adenocarcinoma. Epidermal growth factor receptor mutations were rarer in IMA (less than 5%) than the usual adenocarcinoma (about 50%).

Conclusions: The pathological and imaging features enrich our understanding of the disease's heterogeneity, which will contribute to more personalized diagnostic and therapeutic strategies.

Abstract Image

Abstract Image

肺浸润性粘液腺癌的病理学和影像学特征--一项回顾性队列研究。
背景:肺浸润性粘液腺癌(IMA)是肺癌的一种罕见亚型,由于缺乏临床特异性,很容易被误诊为炎性结节、肺结核、肺弥漫性病变或火腿肠瘤。本研究旨在确定 IMA 的病理和影像学特征,从而有助于提高诊断和治疗效果:方法:本研究对 2014 年 1 月至 2021 年 12 月间组织病理学诊断为肺 IMA 的患者进行了回顾性研究。收集临床病理和放射学数据进行分析,以评估 IMA 的放射学模式、病理和分子特征:研究共纳入 136 例患者,其中男性 58 例,女性 78 例。患者平均年龄为(63.0±9.7)岁。肿瘤被分为以下三种病理类型:纯黏液性(76 例),显微镜下仅观察到黏液细胞;混合黏液性(23 例),表现为附壁、乳头状、针状和实性肿瘤细胞,其中黏液细胞占 10%以上;无黏液性(29 例),表现为无黏液细胞,但仍能检测到 10%以上的黏蛋白表达。根据 CT 扫描结果进行形态学分类,88 例(64.7%)被确定为结节型,31 例(22.8%)为炎症型,15 例(11.1%)为肿块型,2 例(1.5%)为弥漫型。在分子特征方面,IMA 患者的甲状腺转录因子-1 水平(15%)远低于普通腺癌患者(80% 以上)。不过,细胞角蛋白20在IMA(50%)中的发病率高于普通腺癌(约5%)。K-RAS突变在75%的IMA中普遍存在,与之形成鲜明对比的是,K-RAS突变在普通腺癌中仅占15%。表皮生长因子受体突变在IMA中的发生率(低于5%)低于普通腺癌(约50%):病理学和影像学特征丰富了我们对该疾病异质性的认识,这将有助于制定更加个性化的诊断和治疗策略。
本文章由计算机程序翻译,如有差异,请以英文原文为准。
求助全文
约1分钟内获得全文 求助全文
来源期刊
CiteScore
7.20
自引率
2.50%
发文量
137
期刊介绍: Translational Lung Cancer Research(TLCR, Transl Lung Cancer Res, Print ISSN 2218-6751; Online ISSN 2226-4477) is an international, peer-reviewed, open-access journal, which was founded in March 2012. TLCR is indexed by PubMed/PubMed Central and the Chemical Abstracts Service (CAS) Databases. It is published quarterly the first year, and published bimonthly since February 2013. It provides practical up-to-date information on prevention, early detection, diagnosis, and treatment of lung cancer. Specific areas of its interest include, but not limited to, multimodality therapy, markers, imaging, tumor biology, pathology, chemoprevention, and technical advances related to lung cancer.
×
引用
GB/T 7714-2015
复制
MLA
复制
APA
复制
导出至
BibTeX EndNote RefMan NoteFirst NoteExpress
×
提示
您的信息不完整,为了账户安全,请先补充。
现在去补充
×
提示
您因"违规操作"
具体请查看互助需知
我知道了
×
提示
确定
请完成安全验证×
copy
已复制链接
快去分享给好友吧!
我知道了
右上角分享
点击右上角分享
0
联系我们:info@booksci.cn Book学术提供免费学术资源搜索服务,方便国内外学者检索中英文文献。致力于提供最便捷和优质的服务体验。 Copyright © 2023 布克学术 All rights reserved.
京ICP备2023020795号-1
ghs 京公网安备 11010802042870号
Book学术文献互助
Book学术文献互助群
群 号:604180095
Book学术官方微信