Evaluation of Paxillin Expression in Odontogenic Cysts and Tumors.

Azadeh Andisheh-Tadbir, Tina Sadat Shid-Moosavi, Fateme Gharibpour, Sahar Arabizadeh
{"title":"Evaluation of Paxillin Expression in Odontogenic Cysts and Tumors.","authors":"Azadeh Andisheh-Tadbir, Tina Sadat Shid-Moosavi, Fateme Gharibpour, Sahar Arabizadeh","doi":"10.30476/dentjods.2023.98174.2056","DOIUrl":null,"url":null,"abstract":"<p><strong>Statement of the problem: </strong>Paxillin (PXN) is one of the proteins involved in cell adhesion. PXN and integrins constitute a key site for the focal adhesion between the cell and extracellular matrix. Several studies have shown that PXN is a factor in tumor formation, progression, invasion, and metastasis.</p><p><strong>Purpose: </strong>This study evaluated PXN expression in four types of odontogenic lesions with different aggressive behaviors.</p><p><strong>Materials and method: </strong>In this retrospective cross-sectional study, PXN expression was immunohistochemically assessed in 68 paraffin-embedded tissue samples from patients with the confirmed diagnosis of four types of odontogenic lesions, including 14 dentigerous cysts (DC), 20 odontogenic keratocyst (OKC), 16 unicystic ameloblastoma, and 18 solid ameloblastoma. The PXN expression in these samples were scored based on the percentage and intensity of immunoreactivity, and compared among the groups by Chi-square test.</p><p><strong>Results: </strong>The PXN marker was detected in the cytoplasm of tumor cells (unicystic and solid ameloblastoma) and the epithelial layer of cysts (DC and OKC). The intensively stained marker of PXN was observed in 9 cases (64.3%) of the DC, 14 cases (70%) of OKC, 12 cases (75%) of unicystic ameloblastoma, and 13 cases (72.2%) of solid ameloblastoma. However, there was not statistical difference of PXN protein expression between DC and OKC (<i>p</i> Value = 0.51) and unicystic and solid ameloblastoma (<i>p</i> = 0.58), also the same was true for cysts and tumors (<i>p</i> = 0.37).</p><p><strong>Conclusion: </strong>The expression of PXN is not related to the biological behaviors of odontogenic lesions.</p>","PeriodicalId":73702,"journal":{"name":"Journal of dentistry (Shiraz, Iran)","volume":"25 2","pages":"125-131"},"PeriodicalIF":0.0000,"publicationDate":"2024-06-01","publicationTypes":"Journal Article","fieldsOfStudy":null,"isOpenAccess":false,"openAccessPdf":"https://www.ncbi.nlm.nih.gov/pmc/articles/PMC11217059/pdf/","citationCount":"0","resultStr":null,"platform":"Semanticscholar","paperid":null,"PeriodicalName":"Journal of dentistry (Shiraz, Iran)","FirstCategoryId":"1085","ListUrlMain":"https://doi.org/10.30476/dentjods.2023.98174.2056","RegionNum":0,"RegionCategory":null,"ArticlePicture":[],"TitleCN":null,"AbstractTextCN":null,"PMCID":null,"EPubDate":"","PubModel":"","JCR":"","JCRName":"","Score":null,"Total":0}
引用次数: 0

Abstract

Statement of the problem: Paxillin (PXN) is one of the proteins involved in cell adhesion. PXN and integrins constitute a key site for the focal adhesion between the cell and extracellular matrix. Several studies have shown that PXN is a factor in tumor formation, progression, invasion, and metastasis.

Purpose: This study evaluated PXN expression in four types of odontogenic lesions with different aggressive behaviors.

Materials and method: In this retrospective cross-sectional study, PXN expression was immunohistochemically assessed in 68 paraffin-embedded tissue samples from patients with the confirmed diagnosis of four types of odontogenic lesions, including 14 dentigerous cysts (DC), 20 odontogenic keratocyst (OKC), 16 unicystic ameloblastoma, and 18 solid ameloblastoma. The PXN expression in these samples were scored based on the percentage and intensity of immunoreactivity, and compared among the groups by Chi-square test.

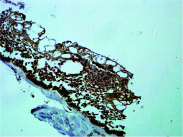
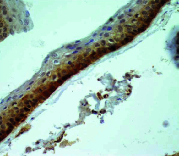
Results: The PXN marker was detected in the cytoplasm of tumor cells (unicystic and solid ameloblastoma) and the epithelial layer of cysts (DC and OKC). The intensively stained marker of PXN was observed in 9 cases (64.3%) of the DC, 14 cases (70%) of OKC, 12 cases (75%) of unicystic ameloblastoma, and 13 cases (72.2%) of solid ameloblastoma. However, there was not statistical difference of PXN protein expression between DC and OKC (p Value = 0.51) and unicystic and solid ameloblastoma (p = 0.58), also the same was true for cysts and tumors (p = 0.37).

Conclusion: The expression of PXN is not related to the biological behaviors of odontogenic lesions.

Abstract Image

Abstract Image

Abstract Image

评估牙源性囊肿和肿瘤中 Paxillin 的表达。
问题陈述:Paxillin(PXN)是参与细胞粘附的蛋白质之一。PXN 和整合素构成了细胞与细胞外基质之间病灶粘附的关键部位。目的:本研究评估了四种不同侵袭行为的牙源性病变中 PXN 的表达情况:在这项回顾性横断面研究中,对68份石蜡包埋组织样本中的PXN表达进行了免疫组化评估,这些样本来自确诊为四种类型牙源性病变的患者,包括14个牙源性囊肿(DC)、20个牙源性角化囊肿(OKC)、16个单囊性釉母细胞瘤和18个实性釉母细胞瘤。根据免疫反应的百分比和强度对这些样本中的PXN表达进行评分,并通过Chi-square检验进行组间比较:结果:在肿瘤细胞(单囊性和实变性母细胞瘤)和囊肿上皮细胞层(DC 和 OKC)的细胞质中均检测到 PXN 标记。在 9 例(64.3%)DC、14 例(70%)OKC、12 例(75%)单囊性母细胞瘤和 13 例(72.2%)实变性母细胞瘤中观察到 PXN 标记的浓染。然而,PXN蛋白的表达在DC和OKC(P值=0.51)、单囊性和实变性母细胞瘤(P值=0.58)之间没有统计学差异,在囊肿和肿瘤之间也是如此(P值=0.37):结论:PXN的表达与牙源性病变的生物学行为无关。
本文章由计算机程序翻译,如有差异,请以英文原文为准。
求助全文
约1分钟内获得全文 求助全文
来源期刊
CiteScore
0.50
自引率
0.00%
发文量
0
×
引用
GB/T 7714-2015
复制
MLA
复制
APA
复制
导出至
BibTeX EndNote RefMan NoteFirst NoteExpress
×
提示
您的信息不完整,为了账户安全,请先补充。
现在去补充
×
提示
您因"违规操作"
具体请查看互助需知
我知道了
×
提示
确定
请完成安全验证×
copy
已复制链接
快去分享给好友吧!
我知道了
右上角分享
点击右上角分享
0
联系我们:info@booksci.cn Book学术提供免费学术资源搜索服务,方便国内外学者检索中英文文献。致力于提供最便捷和优质的服务体验。 Copyright © 2023 布克学术 All rights reserved.
京ICP备2023020795号-1
ghs 京公网安备 11010802042870号
Book学术文献互助
Book学术文献互助群
群 号:604180095
Book学术官方微信