Objective Parameters for Evaluating Internal Nasal Valve Compromise: Beyond the Angle Perspective.

IF 3.4 3区 医学 Q1 OTORHINOLARYNGOLOGY
Su Jin Kim, Je Ho Bang, Kun Hee Lee
{"title":"Objective Parameters for Evaluating Internal Nasal Valve Compromise: Beyond the Angle Perspective.","authors":"Su Jin Kim, Je Ho Bang, Kun Hee Lee","doi":"10.21053/ceo.2024.00099","DOIUrl":null,"url":null,"abstract":"<p><strong>Objectives: </strong>Nasal valve surgery for internal nasal valve (INV) compromise has become increasingly popular. However, this rise in popularity has sparked debates regarding its indications and disputes over insurance coverage, primarily due to the lack of a gold-standard evaluation method. Therefore, we aimed to identify objective parameters for the INV compromise.</p><p><strong>Methods: </strong>We analyzed 186 INVs in 93 patients who underwent nasal valve surgery. The data comprised facial computed tomography (CT) images, acoustic rhinometry, the modified Cottle test, and symptom scores. Patients were categorized based on their symptoms and the.</p><p><strong>Results: </strong>of the modified Cottle test. We measured the INV angle, area, volume, lateral wall thickness, septal angle, and nasal bone area using CT.</p><p><strong>Results: </strong>The compromised INV group, characterized by nasal obstruction with a positive modified Cottle test, exhibited smaller INV areas in both coronal and axial views, reduced INV volume in the axial view, and a thinner lateral wall in the coronal view (all P<0.05). Acoustic rhinometry indicated a smaller minimal cross-sectional area and volume in the compromised INV group (both P<0.001). Regression analysis demonstrated significant associations between a compromised INV and reduced INV area on the axial view, as well as the minimal cross-sectional area measured by acoustic rhinometry.</p><p><strong>Conclusion: </strong>Relying solely on the INV angle in CT scans has limitations in assessing compromised INV. Alternatively, the INV area on axial CT scans and the minimal cross-sectional area measured by acoustic rhinometry may serve as objective parameters for evaluating INV compromise.</p>","PeriodicalId":10318,"journal":{"name":"Clinical and Experimental Otorhinolaryngology","volume":" ","pages":"234-240"},"PeriodicalIF":3.4000,"publicationDate":"2024-08-01","publicationTypes":"Journal Article","fieldsOfStudy":null,"isOpenAccess":false,"openAccessPdf":"https://www.ncbi.nlm.nih.gov/pmc/articles/PMC11375170/pdf/","citationCount":"0","resultStr":null,"platform":"Semanticscholar","paperid":null,"PeriodicalName":"Clinical and Experimental Otorhinolaryngology","FirstCategoryId":"3","ListUrlMain":"https://doi.org/10.21053/ceo.2024.00099","RegionNum":3,"RegionCategory":"医学","ArticlePicture":[],"TitleCN":null,"AbstractTextCN":null,"PMCID":null,"EPubDate":"2024/7/3 0:00:00","PubModel":"Epub","JCR":"Q1","JCRName":"OTORHINOLARYNGOLOGY","Score":null,"Total":0}
引用次数: 0

Abstract

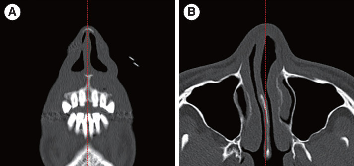
Objectives: Nasal valve surgery for internal nasal valve (INV) compromise has become increasingly popular. However, this rise in popularity has sparked debates regarding its indications and disputes over insurance coverage, primarily due to the lack of a gold-standard evaluation method. Therefore, we aimed to identify objective parameters for the INV compromise.

Methods: We analyzed 186 INVs in 93 patients who underwent nasal valve surgery. The data comprised facial computed tomography (CT) images, acoustic rhinometry, the modified Cottle test, and symptom scores. Patients were categorized based on their symptoms and the.

Results: of the modified Cottle test. We measured the INV angle, area, volume, lateral wall thickness, septal angle, and nasal bone area using CT.

Results: The compromised INV group, characterized by nasal obstruction with a positive modified Cottle test, exhibited smaller INV areas in both coronal and axial views, reduced INV volume in the axial view, and a thinner lateral wall in the coronal view (all P<0.05). Acoustic rhinometry indicated a smaller minimal cross-sectional area and volume in the compromised INV group (both P<0.001). Regression analysis demonstrated significant associations between a compromised INV and reduced INV area on the axial view, as well as the minimal cross-sectional area measured by acoustic rhinometry.

Conclusion: Relying solely on the INV angle in CT scans has limitations in assessing compromised INV. Alternatively, the INV area on axial CT scans and the minimal cross-sectional area measured by acoustic rhinometry may serve as objective parameters for evaluating INV compromise.

Abstract Image

Abstract Image

Abstract Image

评估鼻内瓣膜损伤的客观参数:超越角度视角。
目的:自鼻腔瓣膜手术治疗鼻内瓣膜(INV)损伤开始流行以来,由于缺乏金标准评估,关于其适应症和保险范围的争议不断出现。因此,我们旨在确定 INV 损害的客观参数:我们分析了 93 名接受鼻瓣膜手术患者的 186 个 INV。数据包括面部计算机断层扫描图像、声学鼻测量、改良 Cottle 试验和症状评分。根据患者的症状和改良 Cottle 测试结果对患者进行分类。我们使用计算机断层扫描(CT)测量了 INV 角度、面积、体积、侧壁厚度、鼻中隔角度和鼻骨面积:结果:INV受损组(改良 Cottle 试验呈阳性的鼻阻塞)的特征是冠状切面和轴切面上的 INV 面积较小,轴切面上的 INV 体积较小,冠状切面上的侧壁较薄(均 P < 0.05)。声学鼻测量显示,INV受损组的最小横截面积和体积更小(均 P < .001)。回归分析表明,INV受损与轴向切面上的INV面积和声学鼻测量中的最小横截面积之间存在明显关联:结论:仅仅依靠 CT 扫描中的 INV 角度来评估受损的 INV 是有局限性的。结论:仅靠 CT 扫描中的 INV 角度来评估 INV 是否受损存在局限性,而轴向 CT 扫描中的 INV 面积和声学鼻测量中的最小横截面积则有可能成为评估 INV 是否受损的客观参数。
本文章由计算机程序翻译,如有差异,请以英文原文为准。
求助全文
约1分钟内获得全文 求助全文
来源期刊
CiteScore
4.90
自引率
6.70%
发文量
49
审稿时长
6-12 weeks
期刊介绍: Clinical and Experimental Otorhinolaryngology (Clin Exp Otorhinolaryngol, CEO) is an international peer-reviewed journal on recent developments in diagnosis and treatment of otorhinolaryngology-head and neck surgery and dedicated to the advancement of patient care in ear, nose, throat, head, and neck disorders. This journal publishes original articles relating to both clinical and basic researches, reviews, and clinical trials, encompassing the whole topics of otorhinolaryngology-head and neck surgery. CEO was first issued in 2008 and this journal is published in English four times (the last day of February, May, August, and November) per year by the Korean Society of Otorhinolaryngology-Head and Neck Surgery. The Journal aims at publishing evidence-based, scientifically written articles from different disciplines of otorhinolaryngology field. The readership contains clinical/basic research into current practice in otorhinolaryngology, audiology, speech pathology, head and neck oncology, plastic and reconstructive surgery. The readers are otolaryngologists, head and neck surgeons and oncologists, audiologists, and speech pathologists.
×
引用
GB/T 7714-2015
复制
MLA
复制
APA
复制
导出至
BibTeX EndNote RefMan NoteFirst NoteExpress
×
提示
您的信息不完整,为了账户安全,请先补充。
现在去补充
×
提示
您因"违规操作"
具体请查看互助需知
我知道了
×
提示
确定
请完成安全验证×
copy
已复制链接
快去分享给好友吧!
我知道了
右上角分享
点击右上角分享
0
联系我们:info@booksci.cn Book学术提供免费学术资源搜索服务,方便国内外学者检索中英文文献。致力于提供最便捷和优质的服务体验。 Copyright © 2023 布克学术 All rights reserved.
京ICP备2023020795号-1
ghs 京公网安备 11010802042870号
Book学术文献互助
Book学术文献互助群
群 号:604180095
Book学术官方微信