Life-threatening Carotid Complications Caused by Extraluminal Migration of Ingested Foreign Bodies; a Case Report and Narrative Review of Literature.

IF 2 Q1 EMERGENCY MEDICINE
Archives of Academic Emergency Medicine Pub Date : 2024-05-05 eCollection Date: 2024-01-01 DOI:10.22037/aaem.v12i1.2306
Rossana Soloperto, Gabriella Festa, Michele Beatrice, Nicola Orsogna, Carmine Franco Muccio, Pietro Crocco, Davide Razzano, Angelo Tozzi
{"title":"Life-threatening Carotid Complications Caused by Extraluminal Migration of Ingested Foreign Bodies; a Case Report and Narrative Review of Literature.","authors":"Rossana Soloperto, Gabriella Festa, Michele Beatrice, Nicola Orsogna, Carmine Franco Muccio, Pietro Crocco, Davide Razzano, Angelo Tozzi","doi":"10.22037/aaem.v12i1.2306","DOIUrl":null,"url":null,"abstract":"<p><p>Carotid complications resulting from extra-luminal migration of ingested foreign bodies (FB) are rare but potentially life-threatening. Previous data on the topic predominantly comprises isolated case reports, leaving a gap in comprehensive evidence necessary to guide clinical decision-making. In this article, we offer a narrative review alongside a novel case report, aimed at providing a broad, evidence-based perspective on the topic to guide clinical practice. The search strategy employed keywords related to carotid artery complications from ingested FB across the following electronic databases: PubMed, Scopus, Google Scholar, and Cochrane Central. Screening involved standardized data extraction by two independent reviewers, with a focus on abstracts meeting inclusion criteria and excluding non-English literature and non-relevant studies from further analysis. Moreover, we present a novel case report on the topic that was successfully managed using a unique surgical approach. Overall, a total of sixteen case reports were finally included, data on clinical presentations, diagnostic strategies and findings, surgical management and outcome were extracted, tabulated, and discussed. In carotid complications from extra-luminal migration of ingested FB, high clinical suspicion is crucial due to potentially mild symptoms and negative first-level examinations. Computed tomography (CT) scan plays a pivotal role for accurate diagnosis and surgical planning, along with neck ultrasound to detect complications. Tailored surgical strategies based on the severity of carotid involvement, including venous patch grafts in severe vessels involvement, are crucial for optimal patient outcomes. As a novelty, in our case report, carotid shunt was successfully employed instead of prolonged carotid clamping to reduce the risk of associated neurological sequelae. It could be concluded that, diagnosis and managing carotid complications from extra-luminal migration of ingested FB remains challenging and a multidisciplinary approach is warranted.</p>","PeriodicalId":8146,"journal":{"name":"Archives of Academic Emergency Medicine","volume":"12 1","pages":"e45"},"PeriodicalIF":2.0000,"publicationDate":"2024-05-05","publicationTypes":"Journal Article","fieldsOfStudy":null,"isOpenAccess":false,"openAccessPdf":"https://www.ncbi.nlm.nih.gov/pmc/articles/PMC11221826/pdf/","citationCount":"0","resultStr":null,"platform":"Semanticscholar","paperid":null,"PeriodicalName":"Archives of Academic Emergency Medicine","FirstCategoryId":"1085","ListUrlMain":"https://doi.org/10.22037/aaem.v12i1.2306","RegionNum":0,"RegionCategory":null,"ArticlePicture":[],"TitleCN":null,"AbstractTextCN":null,"PMCID":null,"EPubDate":"2024/1/1 0:00:00","PubModel":"eCollection","JCR":"Q1","JCRName":"EMERGENCY MEDICINE","Score":null,"Total":0}
引用次数: 0

Abstract

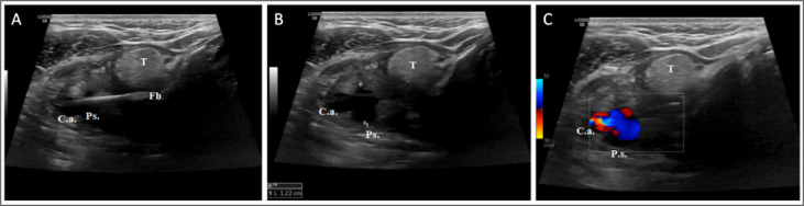
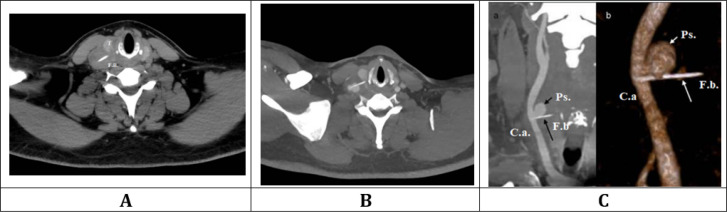
Carotid complications resulting from extra-luminal migration of ingested foreign bodies (FB) are rare but potentially life-threatening. Previous data on the topic predominantly comprises isolated case reports, leaving a gap in comprehensive evidence necessary to guide clinical decision-making. In this article, we offer a narrative review alongside a novel case report, aimed at providing a broad, evidence-based perspective on the topic to guide clinical practice. The search strategy employed keywords related to carotid artery complications from ingested FB across the following electronic databases: PubMed, Scopus, Google Scholar, and Cochrane Central. Screening involved standardized data extraction by two independent reviewers, with a focus on abstracts meeting inclusion criteria and excluding non-English literature and non-relevant studies from further analysis. Moreover, we present a novel case report on the topic that was successfully managed using a unique surgical approach. Overall, a total of sixteen case reports were finally included, data on clinical presentations, diagnostic strategies and findings, surgical management and outcome were extracted, tabulated, and discussed. In carotid complications from extra-luminal migration of ingested FB, high clinical suspicion is crucial due to potentially mild symptoms and negative first-level examinations. Computed tomography (CT) scan plays a pivotal role for accurate diagnosis and surgical planning, along with neck ultrasound to detect complications. Tailored surgical strategies based on the severity of carotid involvement, including venous patch grafts in severe vessels involvement, are crucial for optimal patient outcomes. As a novelty, in our case report, carotid shunt was successfully employed instead of prolonged carotid clamping to reduce the risk of associated neurological sequelae. It could be concluded that, diagnosis and managing carotid complications from extra-luminal migration of ingested FB remains challenging and a multidisciplinary approach is warranted.

Abstract Image

Abstract Image

Abstract Image

食入异物腔外移位导致危及生命的颈动脉并发症;病例报告和文献综述。
摄入的异物(FB)在腔外移位导致的颈动脉并发症非常罕见,但可能危及生命。以往有关该主题的数据主要由孤立的病例报告组成,缺乏必要的全面证据来指导临床决策。在本文中,我们提供了一篇叙事性综述和一篇新颖的病例报告,旨在为该主题提供一个广泛的、基于证据的视角,以指导临床实践。搜索策略采用了与摄入 FB 引起的颈动脉并发症相关的关键词,涉及以下电子数据库:PubMed、Scopus、Google Scholar 和 Cochrane Central。筛选工作包括由两名独立审稿人进行标准化数据提取,重点是符合纳入标准的摘要,并将非英文文献和非相关研究排除在进一步分析之外。此外,我们还提交了一份新颖的病例报告,该病例采用独特的手术方法成功治愈。最后,我们共纳入了 16 篇病例报告,并提取、制表和讨论了临床表现、诊断策略和结果、手术治疗和结果等方面的数据。对于摄入的 FB 管腔外移位引起的颈动脉并发症,由于潜在的轻微症状和阴性的一级检查,临床高度怀疑至关重要。计算机断层扫描(CT)在准确诊断和手术规划中发挥着关键作用,颈部超声波检查也可用于检测并发症。根据颈动脉受累的严重程度制定有针对性的手术策略,包括在严重血管受累的情况下进行静脉补片移植,对于患者获得最佳治疗效果至关重要。在我们的病例报告中,成功采用了颈动脉分流术,而不是长时间的颈动脉夹闭,以降低相关神经系统后遗症的风险。可以得出的结论是,诊断和处理因摄入的 FB 管腔外移位引起的颈动脉并发症仍然具有挑战性,需要采用多学科方法。
本文章由计算机程序翻译,如有差异,请以英文原文为准。
求助全文
约1分钟内获得全文 求助全文
来源期刊
Archives of Academic Emergency Medicine
Archives of Academic Emergency Medicine Medicine-Emergency Medicine
CiteScore
8.90
自引率
7.40%
发文量
0
审稿时长
6 weeks
×
引用
GB/T 7714-2015
复制
MLA
复制
APA
复制
导出至
BibTeX EndNote RefMan NoteFirst NoteExpress
×
提示
您的信息不完整,为了账户安全,请先补充。
现在去补充
×
提示
您因"违规操作"
具体请查看互助需知
我知道了
×
提示
确定
请完成安全验证×
copy
已复制链接
快去分享给好友吧!
我知道了
右上角分享
点击右上角分享
0
联系我们:info@booksci.cn Book学术提供免费学术资源搜索服务,方便国内外学者检索中英文文献。致力于提供最便捷和优质的服务体验。 Copyright © 2023 布克学术 All rights reserved.
京ICP备2023020795号-1
ghs 京公网安备 11010802042870号
Book学术文献互助
Book学术文献互助群
群 号:604180095
Book学术官方微信