Corticosteroid-free adalimumab-cyclophosphamide combination therapy for acute phase neuro-Behçet's disease: a case report.

IF 3 Q3 RHEUMATOLOGY
Journal of Rheumatic Diseases Pub Date : 2024-07-01 Epub Date: 2024-02-02 DOI:10.4078/jrd.2023.0069
Ji Hyoun Kim, Sang Wan Chung, Yun Jong Lee
{"title":"Corticosteroid-free adalimumab-cyclophosphamide combination therapy for acute phase neuro-Behçet's disease: a case report.","authors":"Ji Hyoun Kim, Sang Wan Chung, Yun Jong Lee","doi":"10.4078/jrd.2023.0069","DOIUrl":null,"url":null,"abstract":"<p><p>Neuro-Behçet's disease (NBD) represents a significant complication of Behçet's syndrome, potentially leading to elevated mortality and disability rates. The standard treatment for parenchymal NBD typically entails administering high-dose corticosteroids to prompt rapid-onset effects, coupled with immunosuppressants to prevent subsequent relapses. A 48-year-old male with NBD presented with progressively worsening dysarthria over 9 months. This patient experienced increased intraocular pressure while using glucocorticoids, which worsened his pre-existing glaucoma. The patient had a prior diagnosis of NBD and presented with progressive dysarthria over a period of nine months, leading to a brain magnetic resonance imaging (MRI) scan. The brain MRI revealed multifocal punctate high signal intensities in the left frontoparietal area, insula, and basal ganglia. Instead of the standard steroid pulse therapy, the patient received adalimumab-cyclophosphamide combination as an alternative induction therapy. Subsequent serial brain MRI scans exhibited no emergence of new lesions, and the patient remained devoid of clinical relapses even after 17 months from the commencement of induction treatment. Adalimumab-cyclophosphamide combination could be used as a corticosteroid-free induction strategy for NBD. Further investigations are warranted to establish the most suitable combination regimen.</p>","PeriodicalId":56161,"journal":{"name":"Journal of Rheumatic Diseases","volume":"31 3","pages":"178-181"},"PeriodicalIF":3.0000,"publicationDate":"2024-07-01","publicationTypes":"Journal Article","fieldsOfStudy":null,"isOpenAccess":false,"openAccessPdf":"https://www.ncbi.nlm.nih.gov/pmc/articles/PMC11215246/pdf/","citationCount":"0","resultStr":null,"platform":"Semanticscholar","paperid":null,"PeriodicalName":"Journal of Rheumatic Diseases","FirstCategoryId":"1085","ListUrlMain":"https://doi.org/10.4078/jrd.2023.0069","RegionNum":0,"RegionCategory":null,"ArticlePicture":[],"TitleCN":null,"AbstractTextCN":null,"PMCID":null,"EPubDate":"2024/2/2 0:00:00","PubModel":"Epub","JCR":"Q3","JCRName":"RHEUMATOLOGY","Score":null,"Total":0}
引用次数: 0

Abstract

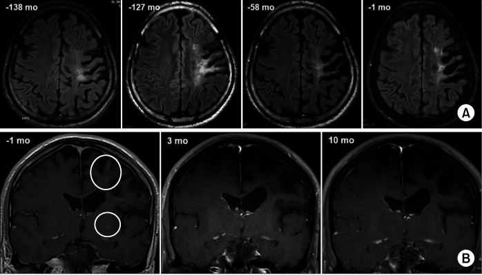
Neuro-Behçet's disease (NBD) represents a significant complication of Behçet's syndrome, potentially leading to elevated mortality and disability rates. The standard treatment for parenchymal NBD typically entails administering high-dose corticosteroids to prompt rapid-onset effects, coupled with immunosuppressants to prevent subsequent relapses. A 48-year-old male with NBD presented with progressively worsening dysarthria over 9 months. This patient experienced increased intraocular pressure while using glucocorticoids, which worsened his pre-existing glaucoma. The patient had a prior diagnosis of NBD and presented with progressive dysarthria over a period of nine months, leading to a brain magnetic resonance imaging (MRI) scan. The brain MRI revealed multifocal punctate high signal intensities in the left frontoparietal area, insula, and basal ganglia. Instead of the standard steroid pulse therapy, the patient received adalimumab-cyclophosphamide combination as an alternative induction therapy. Subsequent serial brain MRI scans exhibited no emergence of new lesions, and the patient remained devoid of clinical relapses even after 17 months from the commencement of induction treatment. Adalimumab-cyclophosphamide combination could be used as a corticosteroid-free induction strategy for NBD. Further investigations are warranted to establish the most suitable combination regimen.

Abstract Image

Abstract Image

不含皮质类固醇的阿达木单抗-环磷酰胺联合疗法治疗急性期神经性贝赫切特病:病例报告。
神经-贝赫切特病(NBD)是贝赫切特综合征的一种重要并发症,可能导致死亡率和致残率升高。治疗实质性 NBD 的标准方法通常是使用大剂量皮质类固醇激素以迅速起效,同时使用免疫抑制剂以防止后续复发。一名 48 岁的男性 NBD 患者在 9 个月内出现逐渐加重的构音障碍。该患者在使用糖皮质激素期间出现眼压升高,导致原有的青光眼恶化。患者曾被诊断为 NBD,并在 9 个月内出现进行性构音障碍,因此接受了脑磁共振成像(MRI)扫描。脑部核磁共振成像显示,左侧额顶区、岛叶和基底节出现多灶性点状高信号强度。患者没有接受标准的类固醇脉冲疗法,而是接受了阿达木单抗-环磷酰胺联合疗法作为替代诱导疗法。随后的连续脑部核磁共振成像扫描显示没有出现新的病变,即使在诱导治疗开始17个月后,患者仍未出现临床复发。阿达木单抗-环磷酰胺联合疗法可作为一种无皮质类固醇的NBD诱导策略。为确定最合适的联合治疗方案,还需要进一步研究。
本文章由计算机程序翻译,如有差异,请以英文原文为准。
求助全文
约1分钟内获得全文 求助全文
来源期刊
CiteScore
2.30
自引率
5.00%
发文量
39
×
引用
GB/T 7714-2015
复制
MLA
复制
APA
复制
导出至
BibTeX EndNote RefMan NoteFirst NoteExpress
×
提示
您的信息不完整,为了账户安全,请先补充。
现在去补充
×
提示
您因"违规操作"
具体请查看互助需知
我知道了
×
提示
确定
请完成安全验证×
copy
已复制链接
快去分享给好友吧!
我知道了
右上角分享
点击右上角分享
0
联系我们:info@booksci.cn Book学术提供免费学术资源搜索服务,方便国内外学者检索中英文文献。致力于提供最便捷和优质的服务体验。 Copyright © 2023 布克学术 All rights reserved.
京ICP备2023020795号-1
ghs 京公网安备 11010802042870号
Book学术文献互助
Book学术文献互助群
群 号:604180095
Book学术官方微信