Contribution of Prediagnostic Host Factors to Shaping the Stromal Microenvironment of Breast Cancer among Sub-Saharan African Women.

IF 3.4 3区 医学 Q2 ONCOLOGY
Mustapha Abubakar, Thomas U Ahearn, Maire A Duggan, Scott Lawrence, Ernest K Adjei, Joe-Nat Clegg-Lamptey, Joel Yarney, Beatrice Wiafe-Addai, Baffour Awuah, Seth Wiafe, Kofi Nyarko, Francis S Aitpillah, Daniel Ansong, Stephen M Hewitt, Louise A Brinton, Jonine D Figueroa, Montserrat Garcia-Closas, Lawrence Edusei, Nicolas Titiloye
{"title":"Contribution of Prediagnostic Host Factors to Shaping the Stromal Microenvironment of Breast Cancer among Sub-Saharan African Women.","authors":"Mustapha Abubakar, Thomas U Ahearn, Maire A Duggan, Scott Lawrence, Ernest K Adjei, Joe-Nat Clegg-Lamptey, Joel Yarney, Beatrice Wiafe-Addai, Baffour Awuah, Seth Wiafe, Kofi Nyarko, Francis S Aitpillah, Daniel Ansong, Stephen M Hewitt, Louise A Brinton, Jonine D Figueroa, Montserrat Garcia-Closas, Lawrence Edusei, Nicolas Titiloye","doi":"10.1158/1055-9965.EPI-24-0390","DOIUrl":null,"url":null,"abstract":"<p><strong>Background: </strong>The stromal microenvironment (SME) is integral to breast cancer biology, impacting metastatic proclivity and treatment response. Emerging data indicate that host factors may impact the SME, but the relationship between prediagnostic host factors and SME phenotype remains poorly characterized, particularly among women of African ancestry.</p><p><strong>Methods: </strong>We conducted a case-only analysis involving 792 patients with breast cancer (17-84 years) from the Ghana Breast Health Study. High-accuracy machine-learning algorithms were applied to standard H&E-stained images to characterize SME phenotypes [including percent tumor-associated connective tissue stroma, Ta-CTS (%); tumor-associated stromal cellular density, Ta-SCD (%)]. Associations between prediagnostic host factors and SME phenotypes were assessed in multivariable linear regression models.</p><p><strong>Results: </strong>Decreasing Ta-CTS and increasing Ta-SCD were associated with aggressive, mostly high-grade tumors (P-value < 0.001). Several prediagnostic host factors were associated with Ta-SCD independently of tumor characteristics. Compared with nulliparous women, parous women had higher levels of Ta-SCD [mean (standard deviation, SD) = 31.3% (7.6%) vs. 28.9% (7.1%); P-value = 0.01]. Similarly, women with a positive family history of breast cancer had higher levels of Ta-SCD than those without family history [mean (SD) = 33.0% (7.5%)] vs. 30.9% (7.6%); P-value = 0.03]. Conversely, increasing body size was associated with decreasing Ta-SCD [mean (SD) = 31.6% (7.4%), 31.4% (7.3%), and 30.1% (8.0%) for slight, average, and large body sizes, respectively; P-value = 0.005].</p><p><strong>Conclusions: </strong>Epidemiological risk factors were associated with varying degrees of stromal cellularity in tumors, independently of clinicopathological characteristics.</p><p><strong>Impact: </strong>The findings raise the possibility that epidemiological risk factors may partly influence tumor biology via the stromal microenvironment. See related In the Spotlight, p. 459.</p>","PeriodicalId":9458,"journal":{"name":"Cancer Epidemiology Biomarkers & Prevention","volume":" ","pages":"462-473"},"PeriodicalIF":3.4000,"publicationDate":"2025-04-03","publicationTypes":"Journal Article","fieldsOfStudy":null,"isOpenAccess":false,"openAccessPdf":"https://www.ncbi.nlm.nih.gov/pmc/articles/PMC11966112/pdf/","citationCount":"0","resultStr":null,"platform":"Semanticscholar","paperid":null,"PeriodicalName":"Cancer Epidemiology Biomarkers & Prevention","FirstCategoryId":"3","ListUrlMain":"https://doi.org/10.1158/1055-9965.EPI-24-0390","RegionNum":3,"RegionCategory":"医学","ArticlePicture":[],"TitleCN":null,"AbstractTextCN":null,"PMCID":null,"EPubDate":"","PubModel":"","JCR":"Q2","JCRName":"ONCOLOGY","Score":null,"Total":0}
引用次数: 0

Abstract

Background: The stromal microenvironment (SME) is integral to breast cancer biology, impacting metastatic proclivity and treatment response. Emerging data indicate that host factors may impact the SME, but the relationship between prediagnostic host factors and SME phenotype remains poorly characterized, particularly among women of African ancestry.

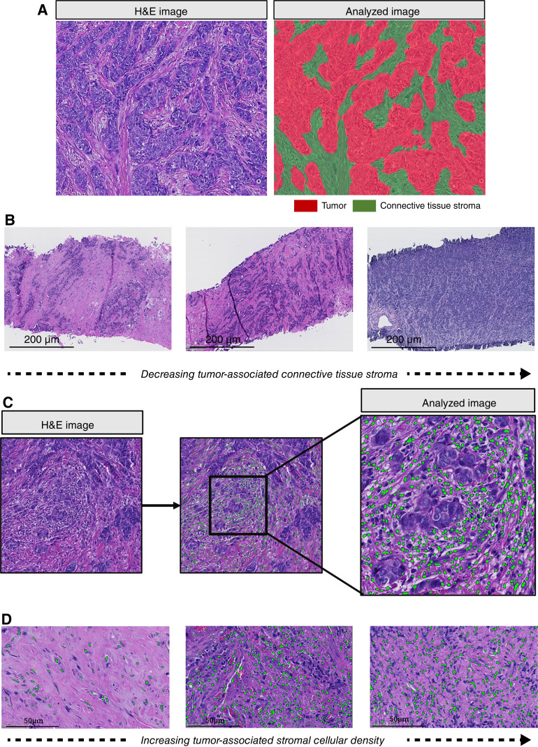
Methods: We conducted a case-only analysis involving 792 patients with breast cancer (17-84 years) from the Ghana Breast Health Study. High-accuracy machine-learning algorithms were applied to standard H&E-stained images to characterize SME phenotypes [including percent tumor-associated connective tissue stroma, Ta-CTS (%); tumor-associated stromal cellular density, Ta-SCD (%)]. Associations between prediagnostic host factors and SME phenotypes were assessed in multivariable linear regression models.

Results: Decreasing Ta-CTS and increasing Ta-SCD were associated with aggressive, mostly high-grade tumors (P-value < 0.001). Several prediagnostic host factors were associated with Ta-SCD independently of tumor characteristics. Compared with nulliparous women, parous women had higher levels of Ta-SCD [mean (standard deviation, SD) = 31.3% (7.6%) vs. 28.9% (7.1%); P-value = 0.01]. Similarly, women with a positive family history of breast cancer had higher levels of Ta-SCD than those without family history [mean (SD) = 33.0% (7.5%)] vs. 30.9% (7.6%); P-value = 0.03]. Conversely, increasing body size was associated with decreasing Ta-SCD [mean (SD) = 31.6% (7.4%), 31.4% (7.3%), and 30.1% (8.0%) for slight, average, and large body sizes, respectively; P-value = 0.005].

Conclusions: Epidemiological risk factors were associated with varying degrees of stromal cellularity in tumors, independently of clinicopathological characteristics.

Impact: The findings raise the possibility that epidemiological risk factors may partly influence tumor biology via the stromal microenvironment. See related In the Spotlight, p. 459.

Abstract Image

诊断前宿主因素对撒哈拉以南非洲妇女乳腺癌基质微环境形成的贡献。
背景:基质微环境(SME)是乳腺癌(BC)生物学不可或缺的组成部分,影响转移倾向和治疗反应。新出现的数据表明,宿主因素可能会对 SME 产生影响,但诊断前宿主因素与 SME 表型之间的关系尚不明确,尤其是在非洲裔女性中:我们对加纳乳腺健康研究(GBHS)中的 792 名 BC 患者(17-84 岁)进行了病例分析。高精度机器学习算法应用于标准 H&E 染色图像,以描述 SME 表型(包括肿瘤相关结缔组织基质百分比,Ta-CTS (%) 和肿瘤相关基质细胞密度,Ta-SCD (%))。在多变量线性回归模型中评估了诊断前宿主因素与SME表型之间的关系:结果:Ta-CTS的降低和Ta-SCD的升高与侵袭性肿瘤(主要是高级别肿瘤)有关(p-value):流行病学风险因素与肿瘤不同程度的基质细胞性相关,与临床病理学特征无关:影响:研究结果提出了一种可能性,即流行病学风险因素可能会通过 SME 对肿瘤生物学产生部分影响。
本文章由计算机程序翻译,如有差异,请以英文原文为准。
求助全文
约1分钟内获得全文 求助全文
来源期刊
Cancer Epidemiology Biomarkers & Prevention
Cancer Epidemiology Biomarkers & Prevention 医学-公共卫生、环境卫生与职业卫生
CiteScore
6.50
自引率
2.60%
发文量
538
审稿时长
1.6 months
期刊介绍: Cancer Epidemiology, Biomarkers & Prevention publishes original peer-reviewed, population-based research on cancer etiology, prevention, surveillance, and survivorship. The following topics are of special interest: descriptive, analytical, and molecular epidemiology; biomarkers including assay development, validation, and application; chemoprevention and other types of prevention research in the context of descriptive and observational studies; the role of behavioral factors in cancer etiology and prevention; survivorship studies; risk factors; implementation science and cancer care delivery; and the science of cancer health disparities. Besides welcoming manuscripts that address individual subjects in any of the relevant disciplines, CEBP editors encourage the submission of manuscripts with a transdisciplinary approach.
×
引用
GB/T 7714-2015
复制
MLA
复制
APA
复制
导出至
BibTeX EndNote RefMan NoteFirst NoteExpress
×
提示
您的信息不完整,为了账户安全,请先补充。
现在去补充
×
提示
您因"违规操作"
具体请查看互助需知
我知道了
×
提示
确定
请完成安全验证×
copy
已复制链接
快去分享给好友吧!
我知道了
右上角分享
点击右上角分享
0
联系我们:info@booksci.cn Book学术提供免费学术资源搜索服务,方便国内外学者检索中英文文献。致力于提供最便捷和优质的服务体验。 Copyright © 2023 布克学术 All rights reserved.
京ICP备2023020795号-1
ghs 京公网安备 11010802042870号
Book学术文献互助
Book学术文献互助群
群 号:604180095
Book学术官方微信