Promising short-term outcomes of free-hand burring technique to implant second-generation metaphyseal cone in Asian knees - a case series.

IF 4.3 4区 医学 Q2 ORTHOPEDICS
Thomas Ka Chun Leung, Ping Keung Chan, Henry Fu, Amy Cheung, Michelle Hilda Luk, Lawrence Chun Man Lau, Kwong Yuen Chiu
{"title":"Promising short-term outcomes of free-hand burring technique to implant second-generation metaphyseal cone in Asian knees - a case series.","authors":"Thomas Ka Chun Leung, Ping Keung Chan, Henry Fu, Amy Cheung, Michelle Hilda Luk, Lawrence Chun Man Lau, Kwong Yuen Chiu","doi":"10.1186/s42836-024-00254-2","DOIUrl":null,"url":null,"abstract":"<p><strong>Background: </strong>The second-generation metaphyseal cone was useful in managing bone defects in revision knee arthroplasty. However, due to the anatomical constraints in Asian osteometry, the authors utilized a novel free-hand burring technique instead of cannulated reaming for bone preparation. We reported the short-term outcomes of our surgical techniques specific to Asian osteometry.</p><p><strong>Methods: </strong>We conducted a case series by consecutively recruiting 13 female and 12 male patients (involving 25 knees), with a mean age of 71 years (range, 54-88 years). The patients underwent revision total knee arthroplasty during the period from April 2017 to June 2022. Twenty-three tibial cones and 4 femoral cones using free-hand burring technique were implanted. The mean follow-up duration was 51 months (range 18-80 months). Due to the relatively small bone size and meta-diaphyseal center mismatch in the Asian knees, the free-hand burring technique instead of the cannulated reaming technique was adopted in preparing for cone implantation. The clinical outcomes were knee ranges of motion, the Knee Society Knee scores (KSS), end-of-stem pain, infection, and the need for revision surgery. The radiological outcomes included osteointegration, fracture, and loosening.</p><p><strong>Results: </strong>Mean knee range of motion improved from 83 degrees (range 0°-120°) preoperatively to 106 degrees (range 60°-125°) postoperatively (P < 0.001). Mean KSS improved significantly from 29 (range 0-70) to 69 (range 5-100) (P < 0.001). All cones were osteointegrated. One case had transient end-of-stem pain, two developed intraoperative minor femoral fractures and one suffered from recurrent infection that did not require cone revision. Cone revision-free survivorship was 100%. There was no aseptic loosening.</p><p><strong>Conclusions: </strong>The second-generation cone implanted with free-hand burring bone preparation yielded promising short-term outcomes in Asian knees.</p>","PeriodicalId":52831,"journal":{"name":"Arthroplasty","volume":"6 1","pages":"35"},"PeriodicalIF":4.3000,"publicationDate":"2024-07-02","publicationTypes":"Journal Article","fieldsOfStudy":null,"isOpenAccess":false,"openAccessPdf":"https://www.ncbi.nlm.nih.gov/pmc/articles/PMC11218123/pdf/","citationCount":"0","resultStr":null,"platform":"Semanticscholar","paperid":null,"PeriodicalName":"Arthroplasty","FirstCategoryId":"3","ListUrlMain":"https://doi.org/10.1186/s42836-024-00254-2","RegionNum":4,"RegionCategory":"医学","ArticlePicture":[],"TitleCN":null,"AbstractTextCN":null,"PMCID":null,"EPubDate":"","PubModel":"","JCR":"Q2","JCRName":"ORTHOPEDICS","Score":null,"Total":0}
引用次数: 0

Abstract

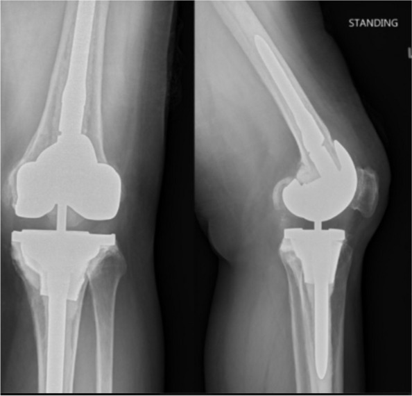
Background: The second-generation metaphyseal cone was useful in managing bone defects in revision knee arthroplasty. However, due to the anatomical constraints in Asian osteometry, the authors utilized a novel free-hand burring technique instead of cannulated reaming for bone preparation. We reported the short-term outcomes of our surgical techniques specific to Asian osteometry.

Methods: We conducted a case series by consecutively recruiting 13 female and 12 male patients (involving 25 knees), with a mean age of 71 years (range, 54-88 years). The patients underwent revision total knee arthroplasty during the period from April 2017 to June 2022. Twenty-three tibial cones and 4 femoral cones using free-hand burring technique were implanted. The mean follow-up duration was 51 months (range 18-80 months). Due to the relatively small bone size and meta-diaphyseal center mismatch in the Asian knees, the free-hand burring technique instead of the cannulated reaming technique was adopted in preparing for cone implantation. The clinical outcomes were knee ranges of motion, the Knee Society Knee scores (KSS), end-of-stem pain, infection, and the need for revision surgery. The radiological outcomes included osteointegration, fracture, and loosening.

Results: Mean knee range of motion improved from 83 degrees (range 0°-120°) preoperatively to 106 degrees (range 60°-125°) postoperatively (P < 0.001). Mean KSS improved significantly from 29 (range 0-70) to 69 (range 5-100) (P < 0.001). All cones were osteointegrated. One case had transient end-of-stem pain, two developed intraoperative minor femoral fractures and one suffered from recurrent infection that did not require cone revision. Cone revision-free survivorship was 100%. There was no aseptic loosening.

Conclusions: The second-generation cone implanted with free-hand burring bone preparation yielded promising short-term outcomes in Asian knees.

Abstract Image

Abstract Image

Abstract Image

在亚洲膝关节植入第二代骺锥体的徒手錾削技术的短期疗效令人期待--病例系列。
背景:第二代骺锥有助于处理翻修膝关节置换术中的骨缺损。然而,由于亚洲人骨量学的解剖限制,作者采用了一种新颖的徒手錾削技术,而不是插管扩孔技术进行骨制备。我们报告了针对亚洲人骨质特点的手术技术的短期效果:我们连续招募了 13 名女性和 12 名男性患者(涉及 25 个膝关节),进行了病例系列研究,患者平均年龄为 71 岁(54-88 岁)。患者在 2017 年 4 月至 2022 年 6 月期间接受了翻修全膝关节置换术。采用徒手钻孔技术植入了 23 个胫骨锥体和 4 个股骨锥体。平均随访时间为 51 个月(18-80 个月)。由于亚洲膝关节的骨量相对较小,且骺端中心不匹配,因此在准备锥体植入时采用了徒手钻孔技术,而非插管扩孔技术。临床结果包括膝关节活动范围、膝关节协会膝关节评分(KSS)、干骺端疼痛、感染和翻修手术需求。放射学结果包括骨整合、骨折和松动:平均膝关节活动范围从术前的 83 度(范围 0°-120°)增加到术后的 106 度(范围 60°-125°)(P < 0.001)。平均 KSS 从 29(范围 0-70)明显改善到 69(范围 5-100)(P < 0.001)。所有锥体均骨结合。一例患者出现一过性骨干末端疼痛,两例出现术中轻微股骨骨折,一例出现复发性感染,但无需进行锥体翻修。锥体翻修后存活率为100%。没有出现无菌性松动:结论:在亚洲膝关节中植入第二代锥体,并进行手工钻孔骨制备,可获得良好的短期疗效。
本文章由计算机程序翻译,如有差异,请以英文原文为准。
求助全文
约1分钟内获得全文 求助全文
来源期刊
Arthroplasty
Arthroplasty ORTHOPEDICS-
CiteScore
2.20
自引率
0.00%
发文量
49
审稿时长
15 weeks
×
引用
GB/T 7714-2015
复制
MLA
复制
APA
复制
导出至
BibTeX EndNote RefMan NoteFirst NoteExpress
×
提示
您的信息不完整,为了账户安全,请先补充。
现在去补充
×
提示
您因"违规操作"
具体请查看互助需知
我知道了
×
提示
确定
请完成安全验证×
copy
已复制链接
快去分享给好友吧!
我知道了
右上角分享
点击右上角分享
0
联系我们:info@booksci.cn Book学术提供免费学术资源搜索服务,方便国内外学者检索中英文文献。致力于提供最便捷和优质的服务体验。 Copyright © 2023 布克学术 All rights reserved.
京ICP备2023020795号-1
ghs 京公网安备 11010802042870号
Book学术文献互助
Book学术文献互助群
群 号:604180095
Book学术官方微信